Skip to main content

NDUFA5 Antibody (4A2) - Azide and BSA Free

Novus Biologicals, part of Bio-Techne | Catalog # H00004698-M02

Novus Biologicals, part of Bio-Techne
Catalog #
Availability
Size / Price
Qty
Loading...
H00004698-M02

Key Product Details

Species Reactivity

Human

Applications

Immunohistochemistry, Immunohistochemistry-Paraffin, Western Blot, ELISA, Sandwich ELISA

Label

Unconjugated

Antibody Source

Monoclonal Mouse IgG1 kappa Clone # 4A2

Format

Azide and BSA Free

Concentration

Concentrations vary lot to lot. See vial label for concentration. If unlisted please contact technical services.

Product Specifications

Immunogen

NDUFA5 (NP_004991.1, 1 a.a. ~ 116 a.a) full-length recombinant protein with GST tag. MW of the GST tag alone is 26 KDa. MAGVLKKTTGLVGLAVCNTPHERLRILYTKILDVLEEIPKNAAYRKYTEQITNEKLAMVKAEPDVKKLEDQLQGGQLEEVILQAEHELNLARKMREWKLWEPLVEEPPADQWKWPI

Clonality

Monoclonal

Host

Mouse

Isotype

IgG1 kappa

Description

Quality control test: Antibody Reactive Against Recombinant Protein.

Scientific Data Images for NDUFA5 Antibody (4A2) - Azide and BSA Free

Western Blot: NDUFA5 Antibody (4A2) [H00004698-M02]

Western Blot: NDUFA5 Antibody (4A2) [H00004698-M02]

Western Blot: NDUFA5 Antibody (4A2) [H00004698-M02] - Analysis of NDUFA5 expression in transfected 293T cell line by NDUFA5 monoclonal antibody (M02), clone 4A2.Lane 1: NDUFA5 transfected lysate(13.5 KDa).Lane 2: Non-transfected lysate.
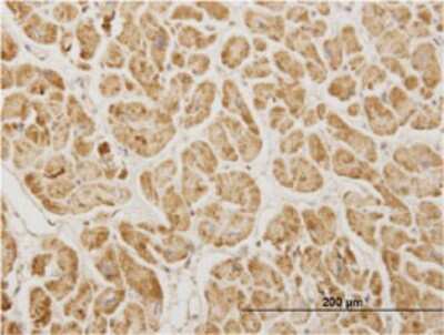
Immunohistochemistry-Paraffin: NDUFA5 Antibody (4A2) [H00004698-M02]

Immunohistochemistry-Paraffin: NDUFA5 Antibody (4A2) [H00004698-M02]

Immunohistochemistry-Paraffin: NDUFA5 Antibody (4A2) [H00004698-M02] - Analysis of monoclonal antibody to NDUFA5 on formalin-fixed paraffin-embedded human heart. Antibody concentration 3 ug/ml.
Western Blot: NDUFA5 Antibody (4A2) [H00004698-M02]

Western Blot: NDUFA5 Antibody (4A2) [H00004698-M02]

Western Blot: NDUFA5 Antibody (4A2) [H00004698-M02] - NDUFA5 monoclonal antibody (M02), clone 4A2. Analysis of NDUFA5 expression in human kidney.

Applications for NDUFA5 Antibody (4A2) - Azide and BSA Free

Application
Recommended Usage

ELISA

Optimal dilutions of this antibody should be experimentally determined.

Immunohistochemistry

Optimal dilutions of this antibody should be experimentally determined.

Immunohistochemistry-Paraffin

Optimal dilutions of this antibody should be experimentally determined.

Sandwich ELISA

Optimal dilutions of this antibody should be experimentally determined.

Western Blot

Optimal dilutions of this antibody should be experimentally determined.
Application Notes
It has been used for ELISA and WB.

Formulation, Preparation, and Storage

Purification

IgG purified

Formulation

In 1x PBS, pH 7.4

Format

Azide and BSA Free

Preservative

No Preservative

Concentration

Concentrations vary lot to lot. See vial label for concentration. If unlisted please contact technical services.

Shipping

The product is shipped with polar packs. Upon receipt, store it immediately at the temperature recommended below.

Stability & Storage

Aliquot and store at -20C or -80C. Avoid freeze-thaw cycles.

Background: NDUFA5

The human NDUFA5 gene codes for the B13 subunit of complex I of the respiratory chain, which transfers electrons from NADH to ubiquinone. The high degree of conservation of NDUFA5 extending to plants and fungi indicates its functional significance in the enzyme complex. The protein localizes to the inner mitochondrial membrane as part of the 7 component-containing, water soluble "iron-sulfur protein" (IP) fraction of complex I, although its specific role is unknown. It is assumed to undergo post-translational removal of the initiator methionine and N-acetylation of the next amino acid. The predicted secondary structure is primarily alpha helix, but the carboxy-terminal half of the protein has high potential to adopt a coiled-coil form. The amino-terminal part contains a putative beta sheet rich in hydrophobic amino acids that may serve as mitochondrial import signal. Related pseudogenes have also been identified on four other chromosomes. [provided by RefSeq]

Alternate Names

B13,5 (13kD, B13), DKFZp781K1356, NADH dehydrogenase (ubiquinone) 1 alpha subcomplex, 5, 13kDa, UQOR13FLJ12147

Gene Symbol

NDUFA5

Additional NDUFA5 Products

Product Documents for NDUFA5 Antibody (4A2) - Azide and BSA Free

Certificate of Analysis

To download a Certificate of Analysis, please enter a lot number in the search box below.

Product Specific Notices for NDUFA5 Antibody (4A2) - Azide and BSA Free

This product is produced by and distributed for Abnova, a company based in Taiwan.

This product is for research use only and is not approved for use in humans or in clinical diagnosis. Primary Antibodies are guaranteed for 1 year from date of receipt.

Loading...
Loading...
Loading...
Loading...