Skip to main content

Myosin heavy chain 11 Antibody (ID8) - IHC-Prediluted

Novus Biologicals, part of Bio-Techne | Catalog # NBP2-48447

Novus Biologicals, part of Bio-Techne
Catalog #
Availability
Size / Price
Qty
Loading...
NBP2-48447

Key Product Details

Species Reactivity

Human, Rat, Porcine, Bovine, Canine, Chicken, Feline, Guinea Pig, Rabbit

Applications

Immunohistochemistry, Immunohistochemistry-Paraffin

Label

Unconjugated

Antibody Source

Monoclonal Mouse IgG1 kappa Clone # ID8

Format

IHC-Prediluted

Concentration

Please see the vial label for concentration. If unlisted please contact technical services.

Product Specifications

Immunogen

Human uterus extract (Uniprot: P35749)

Localization

Cytoplasmic

Specificity

Smooth muscle myosin heavy chain (SM-MHC) is a cytoplasmic structural protein, which is a major component of the contractile apparatus in smooth muscle cells. Expression of smooth muscle myosin is developmentally regulated, appearing early in smooth muscle development, and is specific for smooth muscle development. Two isoforms of smooth muscle myosin heavy chain have been identified, designated MHC-1 and MHC-2. The antibody may be useful for the study of breast tumors as the presence of an intact layer of myoepithelial cells is an important feature, which may distinguish benign breast lesions and carcinoma in situ from invasive tumors.

Marker

Leiomyosarcoma & Myoepithelial Cell Marker

Clonality

Monoclonal

Host

Mouse

Isotype

IgG1 kappa

Description

The prediluted antibody does not require any mixing, dilution, reconstitution, or titration; the antibody is ready-to-use and optimized for staining.

Scientific Data Images for Myosin heavy chain 11 Antibody (ID8) - IHC-Prediluted

Immunohistochemistry-Paraffin: Myosin heavy chain 11 Antibody (ID8) - IHC-Prediluted [NBP2-48447]

Immunohistochemistry-Paraffin: Myosin heavy chain 11 Antibody (ID8) - IHC-Prediluted [NBP2-48447]

Immunohistochemistry-Paraffin: Myosin heavy chain 11 Antibody (ID8) - IHC-Prediluted [NBP2-48447] - Formalin-fixed, paraffin-embedded human Leiomyosarcoma stained with Myosin heavy chain 11 Antibody (ID8).
Immunohistochemistry-Paraffin: Myosin heavy chain 11 Antibody (ID8) - IHC-Prediluted [NBP2-48447]

Immunohistochemistry-Paraffin: Myosin heavy chain 11 Antibody (ID8) - IHC-Prediluted [NBP2-48447]

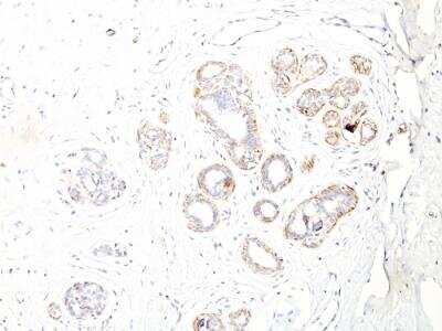
Immunohistochemistry-Paraffin: Myosin heavy chain 11 Antibody (ID8) - IHC-Prediluted [NBP2-48447] - Formalin-fixed, paraffin-embedded human Breast Carcinoma stained with SM-MHC Monoclonal Antibody (ID8).
Immunohistochemistry-Paraffin: Myosin heavy chain 11 Antibody (ID8) - IHC-Prediluted [NBP2-48447]

Immunohistochemistry-Paraffin: Myosin heavy chain 11 Antibody (ID8) - IHC-Prediluted [NBP2-48447]

Immunohistochemistry-Paraffin: Myosin heavy chain 11 Antibody (ID8) - IHC-Prediluted [NBP2-48447] - Formalin-fixed, paraffin-embedded human Leiomyosarcoma stained with SM-MHC Monoclonal Antibody (ID8).

Applications for Myosin heavy chain 11 Antibody (ID8) - IHC-Prediluted

Application
Recommended Usage

Immunohistochemistry

Optimal dilutions of this antibody should be experimentally determined.

Immunohistochemistry-Paraffin

Optimal dilutions of this antibody should be experimentally determined.
Application Notes
Immunohistochemistry (Formalin-fixed): 1-2ug/ml for 30 minutes at RT. Staining of formalin-fixed tissues requires heating tissue sections in 10mM Tris with 1mM EDTA, pH 9.0, for 45 min at 95C followed by cooling at RT for 20 minutes.
Optimal dilution for a specific application should be determined.

Formulation, Preparation, and Storage

Purification

Protein A or G purified

Formulation

10 mM PBS with 0.05% BSA

Format

IHC-Prediluted

Preservative

0.05% Sodium Azide

Concentration

Please see the vial label for concentration. If unlisted please contact technical services.

Shipping

The product is shipped with polar packs. Upon receipt, store it immediately at the temperature recommended below.

Stability & Storage

Store at 4C.

Background: Myosin heavy chain 11

The protein encoded by the MYH11 gene is a smooth muscle myosin belonging to the myosin heavy chain family. The gene product is a subunit of a hexameric protein that consists of two heavy chain subunits and two pairs of non-identical light chain subunits. MYH11 functions as a major contractile protein, converting chemical energy into mechanical energy through the hydrolysis of ATP. The gene encoding a human ortholog of rat NUDE1 is transcribed from the reverse strand of this gene, and its 3' end overlaps with that of the latter. The pericentric inversion of chromosome 16 [inv(16)(p13q22)] produces a chimeric transcript that encodes a protein consisting of the first 165 residues from the N terminus of core-binding factor beta in a fusion with the C-terminal portion of the smooth muscle myosin heavy chain. This chromosomal rearrangement is associated with acute myeloid leukemia of the M4Eo subtype. Alternative splicing generates isoforms that are differentially expressed, with ratios changing during muscle cell maturation. Alternatively spliced transcript variants encoding different isoforms have been identified.

Alternate Names

AAT4, FAA4, MYH11, MYH11 myosin, heavy chain 11, smooth muscle, SMHC, SMMHC, Smooth muscle myosin heavy chain

Gene Symbol

MYH11

Additional Myosin heavy chain 11 Products

Product Documents for Myosin heavy chain 11 Antibody (ID8) - IHC-Prediluted

Certificate of Analysis

To download a Certificate of Analysis, please enter a lot number in the search box below.

Product Specific Notices for Myosin heavy chain 11 Antibody (ID8) - IHC-Prediluted

This product is for research use only and is not approved for use in humans or in clinical diagnosis. Primary Antibodies are guaranteed for 1 year from date of receipt.

Loading...
Loading...
Loading...
Loading...