Myosin heavy chain 11 Antibody (ID8)
Novus Biologicals, part of Bio-Techne | Catalog # NBP2-44532
Conjugate
Catalog #
Forumulation
Catalog #
Key Product Details
Species Reactivity
Human, Rat, Porcine, Bovine, Canine, Chicken, Feline, Guinea Pig, Rabbit
Applications
Immunohistochemistry, Immunohistochemistry-Paraffin, Flow Cytometry, Immunofluorescence, Immunocytochemistry/ Immunofluorescence
Label
Unconjugated
Antibody Source
Monoclonal Mouse IgG1 kappa Clone # ID8
Concentration
0.2 mg/ml
Product Specifications
Immunogen
Human uterus extract (Uniprot: P35749)
Localization
Cytoplasmic
Specificity
Smooth muscle myosin heavy chain (SM-MHC) is a cytoplasmic structural protein, which is a major component of the contractile apparatus in smooth muscle cells. Expression of smooth muscle myosin is developmentally regulated, appearing early in smooth muscle development, and is specific for smooth muscle development. Two isoforms of smooth muscle myosin heavy chain have been identified, designated MHC-1 and MHC-2. The antibody may be useful for the study of breast tumors as the presence of an intact layer of myoepithelial cells is an important feature, which may distinguish benign breast lesions and carcinoma in situ from invasive tumors.
Marker
Leiomyosarcoma & Myoepithelial Cell Marker
Clonality
Monoclonal
Host
Mouse
Isotype
IgG1 kappa
Description
200ug/ml of antibody purified from Bioreactor Concentrate by Protein A or G. Prepared in 10 mM PBS with 0.05% BSA & 0.05% azide. Also available WITHOUT BSA & azide at 1.0 mg/ml. (NBP2-47899)
Antibody with azide - store at 2 to 8C. Antibody without azide - store at -20 to -80C.
Antibody with azide - store at 2 to 8C. Antibody without azide - store at -20 to -80C.
Scientific Data Images for Myosin heavy chain 11 Antibody (ID8)
Immunohistochemistry-Paraffin: Myosin heavy chain 11 Antibody (ID8) [NBP2-44532]
Immunohistochemistry-Paraffin: Myosin heavy chain 11 Antibody (ID8) [NBP2-44532] - Human Leiomyosarcoma stained with SM-MHC Monoclonal Antibody (ID8).Immunohistochemistry-Paraffin: Myosin heavy chain 11 Antibody (ID8) [NBP2-44532]
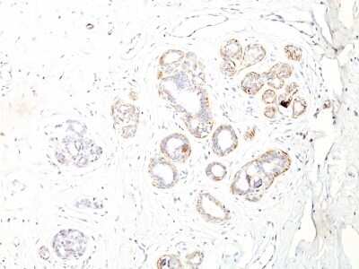
Immunohistochemistry-Paraffin: Myosin heavy chain 11 Antibody (ID8) [NBP2-44532] - Human Breast Carcinoma stained with SM-MHC Monoclonal Antibody (ID8).Immunohistochemistry-Paraffin: Myosin heavy chain 11 Antibody (ID8) [NBP2-44532] -
Immunohistochemistry-Paraffin: Myosin heavy chain 11 Antibody (ID8) [NBP2-44532] - Formalin-fixed, paraffin-embedded human Leiomyosarcoma stained with Myosin heavy chain 11 Antibody (ID8).Applications for Myosin heavy chain 11 Antibody (ID8)
Application
Recommended Usage
Flow Cytometry
1-2 ug/million cells
Immunocytochemistry/ Immunofluorescence
1-2 ug/ml
Immunofluorescence
0.5 - 1.0 ug/ml
Immunohistochemistry-Paraffin
1-2 ug/ml
Application Notes
Immunohistochemistry (Formalin-fixed): 1-2ug/ml for 30 minutes at RT. Staining of formalin-fixed tissues requires heating tissue sections in 10mM Tris with 1mM EDTA, pH 9.0, for 45 min at 95C followed by cooling at RT for 20 minutes.
Optimal dilution for a specific application should be determined.
Optimal dilution for a specific application should be determined.
Formulation, Preparation, and Storage
Purification
Protein A or G purified
Formulation
10 mM PBS with 0.05% BSA
Preservative
0.05% Sodium Azide
Concentration
0.2 mg/ml
Shipping
The product is shipped with polar packs. Upon receipt, store it immediately at the temperature recommended below.
Stability & Storage
Store at 4C.
Background: Myosin heavy chain 11
Alternate Names
AAT4, FAA4, MYH11, MYH11 myosin, heavy chain 11, smooth muscle, SMHC, SMMHC, Smooth muscle myosin heavy chain
Gene Symbol
MYH11
UniProt
Additional Myosin heavy chain 11 Products
Product Documents for Myosin heavy chain 11 Antibody (ID8)
Product Specific Notices for Myosin heavy chain 11 Antibody (ID8)
This product is for research use only and is not approved for use in humans or in clinical diagnosis. Primary Antibodies are guaranteed for 1 year from date of receipt.
Loading...
Loading...
Loading...
Loading...
Loading...