Skip to main content

Myosin heavy chain 11 Antibody (CL14617) - Azide and BSA Free

Novus Biologicals, part of Bio-Techne | Catalog # NBP3-44140

Novus Biologicals, part of Bio-Techne

Key Product Details

Validated by

Orthogonal Validation

Species Reactivity

Human

Applications

Immunohistochemistry-Paraffin, Western Blot

Label

Unconjugated

Antibody Source

Monoclonal Mouse IgG1 Clone # CL14617

Format

Azide and BSA Free

Concentration

LYOPH mg/ml

Product Specifications

Immunogen

This antibody was generated using a recombinant protein sequence of P35749, with the exact immunogen sequence remaining proprietary.

Clonality

Monoclonal

Host

Mouse

Isotype

IgG1

Description

Novus Biologicals Mouse Myosin heavy chain 11 Antibody (CL14617) - Azide and BSA Free (NBP3-26874) is a monoclonal antibody validated for use in IHC and WB. All Novus Biologicals antibodies are covered by our 100% guarantee.

Scientific Data Images for Myosin heavy chain 11 Antibody (CL14617) - Azide and BSA Free

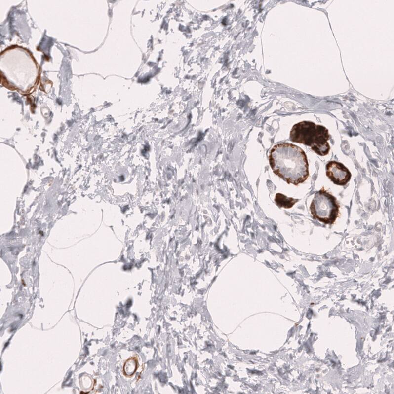
Myosin heavy chain 11 Antibody (CL14617) - Azide and BSA Free Immunohistochemistry-Paraffin: Myosin heavy chain 11 Antibody [NBP3-44140]

Immunohistochemistry-Paraffin: Myosin heavy chain 11 Antibody [NBP3-44140]

Analysis in human smooth muscle and liver tissues using NBP3-44140 antibody. Corresponding Myosin heavy chain 11 RNA-seq data are presented for the same tissues.
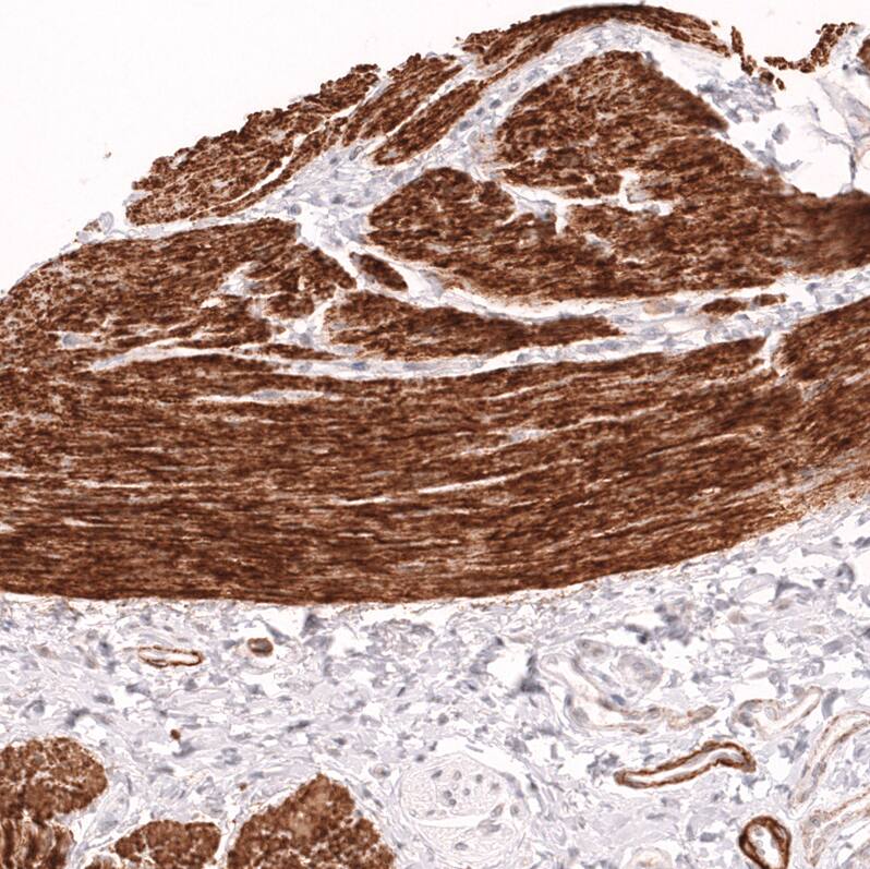
Myosin heavy chain 11 Antibody (CL14617) - Azide and BSA Free Immunohistochemistry-Paraffin: Myosin heavy chain 11 Antibody [NBP3-44140]

Immunohistochemistry-Paraffin: Myosin heavy chain 11 Antibody [NBP3-44140]

Staining of human breast shows strong cytoplasmic positivity in myoepithelial cells.
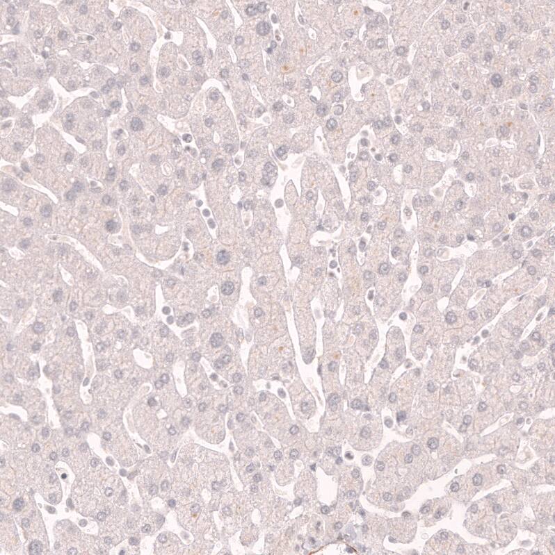
Myosin heavy chain 11 Antibody (CL14617) - Azide and BSA Free Immunohistochemistry-Paraffin: Myosin heavy chain 11 Antibody [NBP3-44140]

Immunohistochemistry-Paraffin: Myosin heavy chain 11 Antibody [NBP3-44140]

Staining of human liver shows no positivity in hepatocytes as expected.

Applications for Myosin heavy chain 11 Antibody (CL14617) - Azide and BSA Free

Application
Recommended Usage

Immunohistochemistry-Paraffin

1:1000 - 1:2500

Western Blot

1 ug/ml
Application Notes
For IHC-Paraffin, HIER pH 6 retrieval is recommended.

Formulation, Preparation, and Storage

Purification

Protein A purified

Reconstitution

Centrifuge the vial of lyophilized antibody at 12,000 x g for 20 seconds. Reconstitute by adding sterile, distilled water to achieve a final antibody concentration of 1mg/ml.

Formulation

Lyophilized from a 0.2 um filtered solution in PBS with Trehalose

Format

Azide and BSA Free

Preservative

No Preservative

Concentration

LYOPH mg/ml

Shipping

The product is shipped at ambient temperature. Upon receipt, store it immediately at the temperature recommended below.

Stability & Storage

Store at 4C short term. Aliquot and store at -20C long term. Avoid freeze-thaw cycles.

Background: Myosin heavy chain 11

The protein encoded by the MYH11 gene is a smooth muscle myosin belonging to the myosin heavy chain family. The gene product is a subunit of a hexameric protein that consists of two heavy chain subunits and two pairs of non-identical light chain subunits. MYH11 functions as a major contractile protein, converting chemical energy into mechanical energy through the hydrolysis of ATP. The gene encoding a human ortholog of rat NUDE1 is transcribed from the reverse strand of this gene, and its 3' end overlaps with that of the latter. The pericentric inversion of chromosome 16 [inv(16)(p13q22)] produces a chimeric transcript that encodes a protein consisting of the first 165 residues from the N terminus of core-binding factor beta in a fusion with the C-terminal portion of the smooth muscle myosin heavy chain. This chromosomal rearrangement is associated with acute myeloid leukemia of the M4Eo subtype. Alternative splicing generates isoforms that are differentially expressed, with ratios changing during muscle cell maturation. Alternatively spliced transcript variants encoding different isoforms have been identified.

Alternate Names

AAT4, FAA4, MYH11, MYH11 myosin, heavy chain 11, smooth muscle, SMHC, SMMHC, Smooth muscle myosin heavy chain

Gene Symbol

MYH11

Additional Myosin heavy chain 11 Products

Product Documents for Myosin heavy chain 11 Antibody (CL14617) - Azide and BSA Free

Certificate of Analysis

To download a Certificate of Analysis, please enter a lot number in the search box below.

Product Specific Notices for Myosin heavy chain 11 Antibody (CL14617) - Azide and BSA Free

This product is for research use only and is not approved for use in humans or in clinical diagnosis. Primary Antibodies are guaranteed for 1 year from date of receipt.

Loading...
Loading...
Loading...
Loading...
Loading...