Myosin heavy chain 11 Antibody (CL14617) - BSA Free
Novus Biologicals, part of Bio-Techne | Catalog # NBP3-26874
Conjugate
Catalog #
Forumulation
Catalog #
Key Product Details
Validated by
Orthogonal Validation
Species Reactivity
Validated:
Human
Predicted:
Mouse (90%), Rat (90%). Backed by our 100% Guarantee.
Applications
Immunohistochemistry, Immunohistochemistry-Paraffin, Western Blot
Label
Unconjugated
Antibody Source
Monoclonal Mouse IgG1 Clone # CL14617
Format
BSA Free
Concentration
1 mg/ml
Product Specifications
Immunogen
This antibody was developed using a recombinant protein derived from P35749, with the exact immunogen sequence remaining proprietary.
Clonality
Monoclonal
Host
Mouse
Isotype
IgG1
Description
Novus Biologicals Mouse Myosin heavy chain 11 Antibody (CL14617) - BSA Free (NBP3-26874) is a monoclonal antibody validated for use in IHC and WB. All Novus Biologicals antibodies are covered by our 100% guarantee.
Scientific Data Images for Myosin heavy chain 11 Antibody (CL14617) - BSA Free
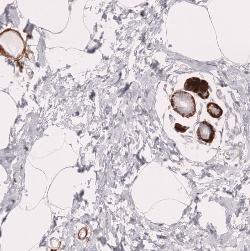
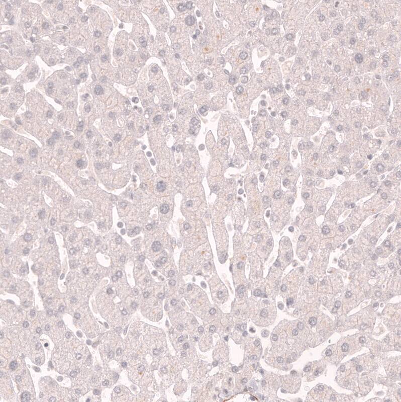
Immunohistochemistry-Paraffin: Myosin heavy chain 11 Antibody (CL14617) [NBP3-26874]
Staining of human liver shows no positivity in hepatocytes as expected.Immunohistochemistry-Paraffin: Myosin heavy chain 11 Antibody (CL14617) [NBP3-26874]
Staining of human smooth muscle shows strong cytoplasmic positivity in smooth muscle cells.Applications for Myosin heavy chain 11 Antibody (CL14617) - BSA Free
Application
Recommended Usage
Immunohistochemistry
1:1000 - 1:2500
Immunohistochemistry-Paraffin
1:1000 - 1:2500
Western Blot
1 ug/ml
Application Notes
For IHC-Paraffin, HIER pH 6 retrieval is recommended.
Formulation, Preparation, and Storage
Purification
Protein A purified
Formulation
PBS, pH 7.2, 40% glycerol
Format
BSA Free
Preservative
0.02% Sodium Azide
Concentration
1 mg/ml
Shipping
The product is shipped with polar packs. Upon receipt, store it immediately at the temperature recommended below.
Stability & Storage
Store at 4C short term. Aliquot and store at -20C long term. Avoid freeze-thaw cycles.
Background: Myosin heavy chain 11
Alternate Names
AAT4, FAA4, MYH11, MYH11 myosin, heavy chain 11, smooth muscle, SMHC, SMMHC, Smooth muscle myosin heavy chain
Gene Symbol
MYH11
Additional Myosin heavy chain 11 Products
Product Documents for Myosin heavy chain 11 Antibody (CL14617) - BSA Free
Product Specific Notices for Myosin heavy chain 11 Antibody (CL14617) - BSA Free
This product is for research use only and is not approved for use in humans or in clinical diagnosis. Primary Antibodies are guaranteed for 1 year from date of receipt.
Loading...
Loading...
Loading...
Loading...