Skip to main content

MYH7 Antibody (MYH7/13050R) - Azide and BSA Free

Novus Biologicals, part of Bio-Techne | Catalog # NBP3-45088

Recombinant Monoclonal Antibody
Novus Biologicals, part of Bio-Techne
Catalog #
Availability
Size / Price
Qty
Loading...
NBP3-45088

Key Product Details

Species Reactivity

Human

Applications

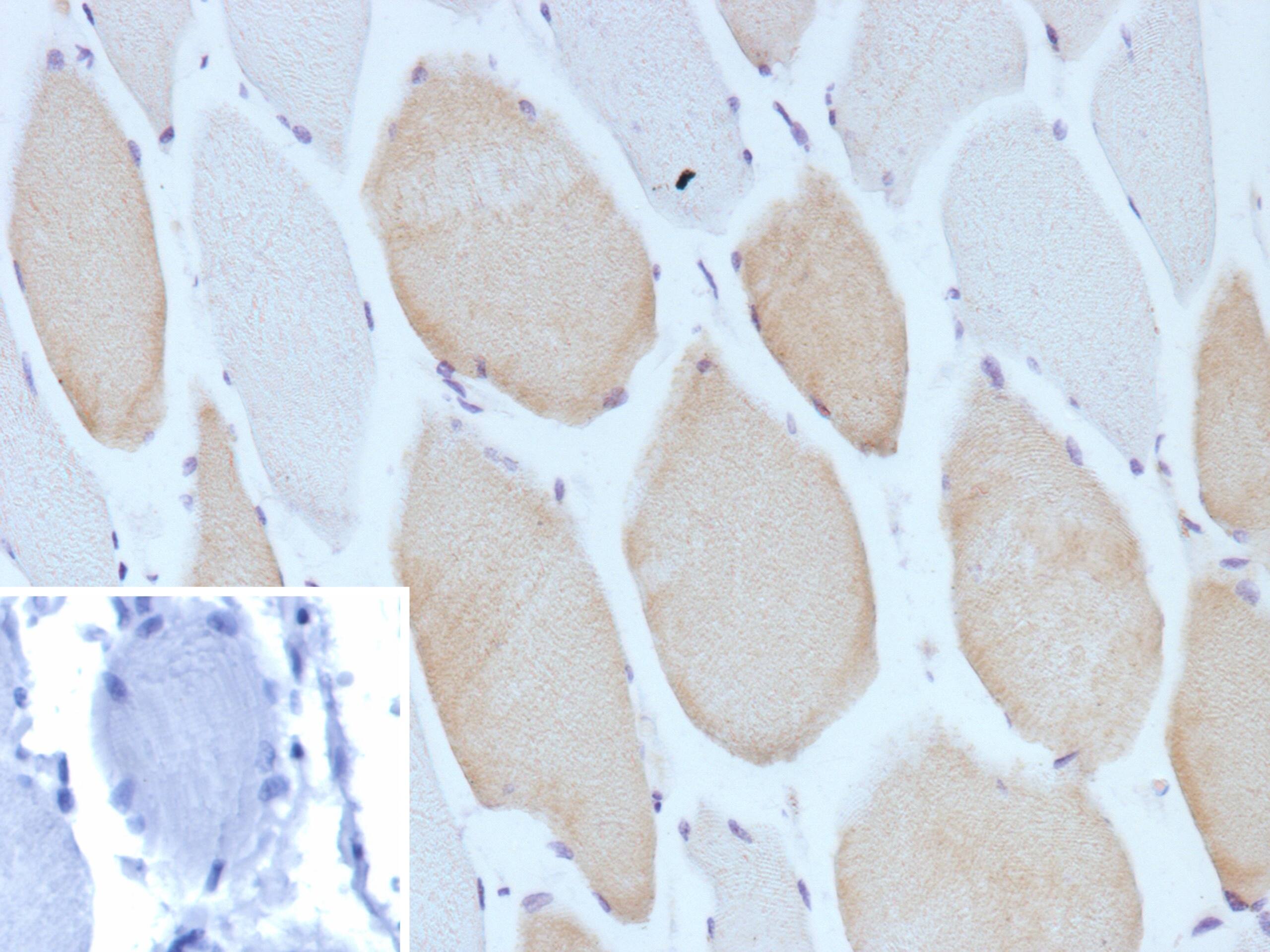
Immunohistochemistry

Label

Unconjugated

Antibody Source

Recombinant Monoclonal Rabbit IgG Kappa Clone # MYH7/13050R

Format

Azide and BSA Free

Concentration

1 mg/ml

Product Specifications

Immunogen

Recombinant fragment (around aa1150-1350) of human MYH7 protein (Uniprot: P12883). Exact sequence is proprietary.

Localization

Cytoplasm, cytoplasm myofibril. Thick filaments of the myofibrils.

Clonality

Monoclonal

Host

Rabbit

Isotype

IgG Kappa

Theoretical MW

223 kDa.
Disclaimer note: The observed molecular weight of the protein may vary from the listed predicted molecular weight due to post translational modifications, post translation cleavages, relative charges, and other experimental factors.

Description

1.0 mg/ml of Ab produced in CHO cell mammalian-based expression system.. Prepared in 10 mM PBS WITHOUT BSA & azide. Also availabl at 200 ug/ml with BSA & azide.

Antibody with azide - store at 2 to 8C. Antibody without azide - store at -20 to -80C. Non-hazardous. No MSDS required.

Applications for MYH7 Antibody (MYH7/13050R) - Azide and BSA Free

Application
Recommended Usage

Immunohistochemistry

: 1-2ug/ml
Application Notes
Immunohistochemistry: 30 min at RT. Staining of formalin-fixed tissues requires heating tissue sections in 10mM Tris with 1mM EDTA, pH 9.0, for 45 min at 95C followed by cooling at RT for 20 minutes.

Formulation, Preparation, and Storage

Purification

Protein A or G purified

Formulation

10 mM PBS

Format

Azide and BSA Free

Preservative

No Preservative

Concentration

1 mg/ml

Shipping

The product is shipped with polar packs. Upon receipt, store it immediately at the temperature recommended below.

Stability & Storage

Store at -20 to -80C. Avoid freeze-thaw cycles.

Background: MYH7

MYH7, also known as Myosin-7, is a 1,935 amino acid protein that is 223 kDa, found predominantly in myocytes and mediates plus-ended movement along microfilaments, it is involved in muscle contraction through cyclic interactions with actin-rich thin filaments, creating a contractile force. It is regulated by phosphorylation via myosin light chain kinase (MLCK) and by intracellular Ca2+ concentrations. Disease research is currently being studied with relation to this protein and myopathy, hypertrophic cardiomyopathy, familial hypertrophic cardiomyopathy, dilated cardiomyopathy, wolff-parkinson-white syndrome, left ventricular noncompaction, left ventricular noncompaction 5, long qt syndrome, endocardial fibroelastosis, scapuloperoneal syndrome, laing distal myopathy, rhabdomyosarcoma oculopharyngeal muscular dystrophy, ebstein anomaly, acute myocardial infarction, muscular dystrophy, myotonic dystrophy, and myocardial infarction. Its involvement has been observed with relation to YWHAQ, MYH13, MYL3, YWHAZ, MYH9, ACTB, NTHL1, and over 100 other proteins in cell adhesion integrin-mediated cell adhesion and migration, cell adhesion tight junctions, cytoskeleton remodeling regulation of actin cytoskeleton by Rho GTPases, immune response CCR3 signaling in eosinophils, development MAG-dependent inhibition of neurite outgrowth, RhoA pathway, factors promoting cardiogenesis in vertebrates, antioxidant action of vitamin-C, transendothelial migration of leukocytes, actin nucleation by ARP-WASP complex, cardiac muscle contraction, hypertrophic cardiomyopathy (HCM), dilated cardiomyopathy, and viral myocarditis pathways.

Long Name

Myosin Heavy Chain 7, Cardiac Muscle, Beta

Alternate Names

CMD1S, CMH1, MPD1, MYHCB, Myosin-7, SPMD, SPMM

Gene Symbol

MYH7

Additional MYH7 Products

Product Documents for MYH7 Antibody (MYH7/13050R) - Azide and BSA Free

Certificate of Analysis

To download a Certificate of Analysis, please enter a lot number in the search box below.

Product Specific Notices for MYH7 Antibody (MYH7/13050R) - Azide and BSA Free

This product is for research use only and is not approved for use in humans or in clinical diagnosis. Primary Antibodies are guaranteed for 1 year from date of receipt.

Loading...
Loading...
Loading...
Loading...