Skip to main content

Myeloid leukemia factor 1 Antibody (OTI3A3) - Azide and BSA Free

Novus Biologicals, part of Bio-Techne | Catalog # NBP2-72846

Novus Biologicals, part of Bio-Techne
Catalog #
Availability
Size / Price
Qty
Loading...
NBP2-72846

Key Product Details

Species Reactivity

Human

Applications

Immunohistochemistry, Immunohistochemistry-Paraffin, Western Blot, Flow Cytometry, Immunocytochemistry/ Immunofluorescence, CyTOF-ready

Label

Unconjugated

Antibody Source

Monoclonal Mouse IgG1 Clone # OTI3A3

Format

Azide and BSA Free

Concentration

LYOPH mg/ml

Product Specifications

Immunogen

Full length human recombinant protein of human MLF1(NP_071888) produced in E.coli.

Clonality

Monoclonal

Host

Mouse

Isotype

IgG1

Theoretical MW

30.4 kDa.
Disclaimer note: The observed molecular weight of the protein may vary from the listed predicted molecular weight due to post translational modifications, post translation cleavages, relative charges, and other experimental factors.

Description

Novus Biologicals Mouse Myeloid leukemia factor 1 Antibody (OTI3A3) - Azide and BSA Free (NBP2-02052) is a monoclonal antibody validated for use in IHC, WB, Flow and ICC/IF. All Novus Biologicals antibodies are covered by our 100% guarantee.

Scientific Data Images for Myeloid leukemia factor 1 Antibody (OTI3A3) - Azide and BSA Free

Western Blot: Myeloid leukemia factor 1 Antibody (OTI3A3)Azide and BSA Free [NBP2-72846]

Western Blot: Myeloid leukemia factor 1 Antibody (OTI3A3)Azide and BSA Free [NBP2-72846]

Western Blot: Myeloid leukemia factor 1 Antibody (OTI3A3) - Azide and BSA Free [NBP2-72846] - HEK293T cells were transfected with the pCMV6-ENTRY control (Left lane) or pCMV6-ENTRY Myeloid leukemia factor 1 (Right lane) cDNA for 48 hrs and lysed. Equivalent amounts of cell lysates (5 ug per lane) were separated by SDS-PAGE and immunoblotted with a
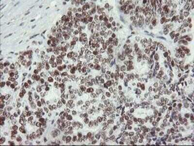
Immunohistochemistry: Myeloid leukemia factor 1 Antibody (OTI3A3) - Azide and BSA Free [NBP2-72846]

Immunohistochemistry: Myeloid leukemia factor 1 Antibody (OTI3A3) - Azide and BSA Free [NBP2-72846]

Immunohistochemistry: Myeloid leukemia factor 1 Antibody (OTI3A3) - Azide and BSA Free [NBP2-72846] - Staining of paraffin-embedded Human pancreas tissue using anti-Myeloid leukemia factor 1 mouse monoclonal antibody.
Flow Cytometry: Myeloid leukemia factor 1 Antibody (OTI3A3) - Azide and BSA Free [NBP2-72846]

Flow Cytometry: Myeloid leukemia factor 1 Antibody (OTI3A3) - Azide and BSA Free [NBP2-72846]

Flow Cytometry: Myeloid leukemia factor 1 Antibody (OTI3A3) - Azide and BSA Free [NBP2-72846] - Staining of COS7 cells transiently transfected by pCMV6-ENTRY Myeloid leukemia factor 1.

Applications for Myeloid leukemia factor 1 Antibody (OTI3A3) - Azide and BSA Free

Application
Recommended Usage

Flow Cytometry

1:100

Immunocytochemistry/ Immunofluorescence

1:100

Immunohistochemistry

1:150

Western Blot

1:2000

Formulation, Preparation, and Storage

Purification

Immunogen affinity purified

Reconstitution

we recommend adding 100uL distilled water to a final antibody concentration of about 1 mg/mL. To use this carrier-free antibody for conjugation experiment, we strongly recommend performing another round of desalting process.

Formulation

Lyophilized from PBS (pH 7.3) with 8% Trehalose

Format

Azide and BSA Free

Preservative

No Preservative

Concentration

LYOPH mg/ml

Shipping

The product is shipped with polar packs. Upon receipt, store it immediately at the temperature recommended below.

Stability & Storage

Store at -20C. Avoid freeze-thaw cycles.

Background: Myeloid leukemia factor 1

MLF1 (Myeloid Leukemia Factor 1) is involved in normal hemopoietic differentiation as well as in erythroid/myeloid lineage switching.

Alternate Names

Myelodysplasia-myeloid leukemia factor 1, myeloid leukemia factor 1

Gene Symbol

MLF1

Additional Myeloid leukemia factor 1 Products

Product Documents for Myeloid leukemia factor 1 Antibody (OTI3A3) - Azide and BSA Free

Certificate of Analysis

To download a Certificate of Analysis, please enter a lot number in the search box below.

Product Specific Notices for Myeloid leukemia factor 1 Antibody (OTI3A3) - Azide and BSA Free

This product is for research use only and is not approved for use in humans or in clinical diagnosis. Primary Antibodies are guaranteed for 1 year from date of receipt.

Loading...
Loading...
Loading...
Loading...
Loading...
Loading...