Skip to main content

Myeloid leukemia factor 1 Antibody (OTI3A3)

Novus Biologicals, part of Bio-Techne | Catalog # NBP2-02052

Novus Biologicals, part of Bio-Techne
Catalog #
Availability
Size / Price
Qty
Loading...
NBP2-02052
Conjugate
Catalog #

Key Product Details

Species Reactivity

Human

Applications

Immunohistochemistry, Immunohistochemistry-Paraffin, Western Blot, Flow Cytometry, Immunocytochemistry/ Immunofluorescence

Label

Unconjugated

Antibody Source

Monoclonal Mouse IgG1 Clone # OTI3A3

Concentration

1 mg/ml

Product Specifications

Immunogen

Full length human recombinant protein of human MLF1(NP_071888) produced in E.coli.

Clonality

Monoclonal

Host

Mouse

Isotype

IgG1

Theoretical MW

30.4 kDa.
Disclaimer note: The observed molecular weight of the protein may vary from the listed predicted molecular weight due to post translational modifications, post translation cleavages, relative charges, and other experimental factors.

Scientific Data Images for Myeloid leukemia factor 1 Antibody (OTI3A3)

Western Blot: Myeloid leukemia factor 1 Antibody (OTI3A3) [NBP2-02052]

Western Blot: Myeloid leukemia factor 1 Antibody (OTI3A3) [NBP2-02052]

Western Blot: Myeloid leukemia factor 1 Antibody (OTI3A3) [NBP2-02052] - HEK293T cells were transfected with the pCMV6-ENTRY control (Left lane) or pCMV6-ENTRY Myeloid leukemia factor 1 (Right lane) cDNA for 48 hrs and lysed. Equivalent amounts of cell lysates (5 ug per lane) were separated by SDS-PAGE and immunoblotted with anti-Myeloid leukemia factor 1.
Immunocytochemistry/ Immunofluorescence: Myeloid leukemia factor 1 Antibody (OTI3A3) [NBP2-02052]

Immunocytochemistry/ Immunofluorescence: Myeloid leukemia factor 1 Antibody (OTI3A3) [NBP2-02052]

Immunocytochemistry/Immunofluorescence: Myeloid leukemia factor 1 Antibody (OTI3A3) [NBP2-02052] - Staining of COS7 cells transiently transfected by pCMV6-ENTRY Myeloid leukemia factor 1.
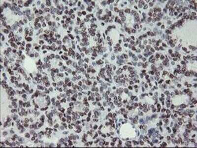
Immunohistochemistry-Paraffin: Myeloid leukemia factor 1 Antibody (OTI3A3) [NBP2-02052]

Immunohistochemistry-Paraffin: Myeloid leukemia factor 1 Antibody (OTI3A3) [NBP2-02052]

Immunohistochemistry-Paraffin: Myeloid leukemia factor 1 Antibody (OTI3A3) [NBP2-02052] - Staining of paraffin-embedded Human tonsil using anti-Myeloid leukemia factor 1 mouse monoclonal antibody.

Applications for Myeloid leukemia factor 1 Antibody (OTI3A3)

Application
Recommended Usage

Flow Cytometry

1:100

Immunocytochemistry/ Immunofluorescence

1:100

Immunohistochemistry

1:150

Immunohistochemistry-Paraffin

1:150

Western Blot

1:2000

Formulation, Preparation, and Storage

Purification

Immunogen affinity purified

Formulation

PBS (pH 7.3), 1.0% BSA and 50% Glycerol

Preservative

0.02% Sodium Azide

Concentration

1 mg/ml

Shipping

The product is shipped with polar packs. Upon receipt, store it immediately at the temperature recommended below.

Stability & Storage

Store at -20C. Avoid freeze-thaw cycles.

Background: Myeloid leukemia factor 1

This gene encodes an oncoprotein which is thought to play a role in the phenotypic determination of hemopoetic cells. Translocations between this gene and nucleophosmin have been associated with myelodysplastic syndrome and acute myeloid leukemia. Multiple transcript variants encoding different isoforms have been found for this gene. [provided by RefSeq].

Alternate Names

Myelodysplasia-myeloid leukemia factor 1, myeloid leukemia factor 1

Entrez Gene IDs

4291 (Human)

Gene Symbol

MLF1

Additional Myeloid leukemia factor 1 Products

Product Documents for Myeloid leukemia factor 1 Antibody (OTI3A3)

Certificate of Analysis

To download a Certificate of Analysis, please enter a lot number in the search box below.

Product Specific Notices for Myeloid leukemia factor 1 Antibody (OTI3A3)

This product is for research use only and is not approved for use in humans or in clinical diagnosis. Primary Antibodies are guaranteed for 1 year from date of receipt.

Loading...
Loading...
Loading...
Loading...
Loading...