Skip to main content

MSP/MST1 Antibody (5R7X2)

Novus Biologicals, part of Bio-Techne | Catalog # NBP3-15250

Recombinant Monoclonal Antibody
Novus Biologicals, part of Bio-Techne
Catalog #
Availability
Size / Price
Qty
Loading...
NBP3-15250-100ul
NBP3-15250-20ul

Key Product Details

Species Reactivity

Human, Mouse, Rat

Applications

Immunohistochemistry, Immunohistochemistry-Paraffin, Western Blot, ELISA, Immunocytochemistry/ Immunofluorescence

Label

Unconjugated

Antibody Source

Recombinant Monoclonal Rabbit IgG Clone # 5R7X2 expressed in HEK293

Concentration

Please see the vial label for concentration. If unlisted please contact technical services.

Product Specifications

Immunogen

A synthetic peptide corresponding to a sequence within amino acids 1-100 of human MSP/MST1 (NP_066278.3). MGWLPLLLLLTQCLGVPGQRSPLNDFQVLRGTELQHLLHAVVPGPWQEDVADAEECAGRCGPLMDCRAFHYNVSSHGCQLLPWTQHSPHTRLRRSGRCDL

Clonality

Monoclonal

Host

Rabbit

Isotype

IgG

Theoretical MW

80 kDa.
Disclaimer note: The observed molecular weight of the protein may vary from the listed predicted molecular weight due to post translational modifications, post translation cleavages, relative charges, and other experimental factors.

Description

Novus Biologicals Rabbit MSP/MST1 Antibody (5R7X2) (NBP3-15250) is a recombinant monoclonal antibody validated for use in IHC, WB, ELISA and ICC/IF. All Novus Biologicals antibodies are covered by our 100% guarantee.

Scientific Data Images for MSP/MST1 Antibody (5R7X2)

Western Blot: MSP/MST1 Antibody (5R7X2) [NBP3-15250]

Western Blot: MSP/MST1 Antibody (5R7X2) [NBP3-15250]

Western Blot: MSP/MST1 Antibody (5R7X2) [NBP3-15250] - Western blot analysis of extracts of various cell lines, using MSP/MST1 Rabbit mAb (NBP3-15250) at 1:1000 dilution. Secondary antibody: HRP Goat Anti-Rabbit IgG (H+L) at 1:10000 dilution. Lysates/proteins: 25ug per lane. Blocking buffer: 3% nonfat dry milk in TBST. Detection: ECL Basic Kit. Exposure time: 3s.
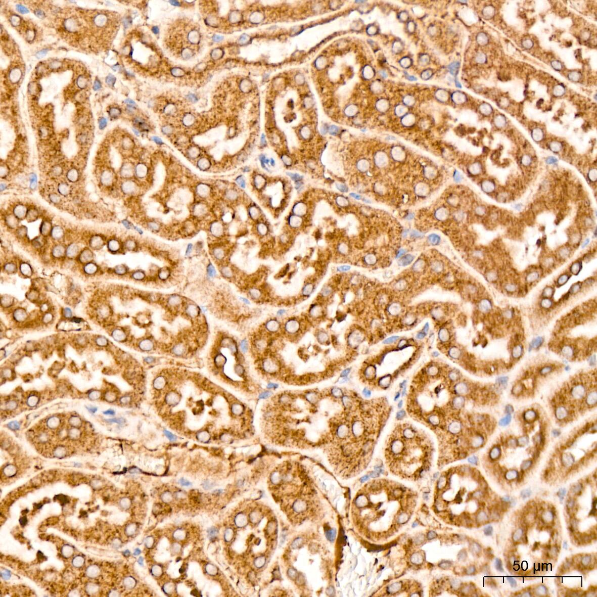
Immunohistochemistry-Paraffin: MSP/MST1 Antibody (5R7X2) [NBP3-15250]

Immunohistochemistry-Paraffin: MSP/MST1 Antibody (5R7X2) [NBP3-15250]

Immunohistochemistry-Paraffin: MSP/MST1 Antibody (5R7X2) [NBP3-15250] - Immunohistochemistry of paraffin-embedded mouse kidney using MSP/MST1 Rabbit mAb (NBP3-15250) at dilution of 1:100 (40x lens).Perform microwave antigen retrieval with 10 mM Tris/EDTA buffer pH 9.0 before commencing with IHC staining protocol.
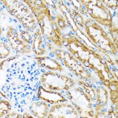
Immunohistochemistry: MSP/MST1 Antibody (5R7X2) [NBP3-15250]

Immunohistochemistry: MSP/MST1 Antibody (5R7X2) [NBP3-15250]

Immunohistochemistry: MSP/MST1 Antibody (5R7X2) [NBP3-15250] - Immunofluorescence analysis of rat liver using MSP/MST1 Rabbit mAb (NBP3-15250) at dilution of 1:100 (40x lens). Blue: DAPI for nuclear staining.

Applications for MSP/MST1 Antibody (5R7X2)

Application
Recommended Usage

Immunocytochemistry/ Immunofluorescence

1:50 - 1:200

Immunohistochemistry

1:50 - 1:200

Western Blot

1:500 - 1:2000

Formulation, Preparation, and Storage

Purification

Affinity purified

Formulation

PBS (pH 7.3), 50% glycerol, 0.05% BSA

Preservative

0.02% Sodium Azide

Concentration

Please see the vial label for concentration. If unlisted please contact technical services.

Shipping

The product is shipped with polar packs. Upon receipt, store it immediately at the temperature recommended below.

Stability & Storage

Store at -20C. Avoid freeze-thaw cycles.

Background: MSP/MST1

Mammalian STE20-like kinase 1, or MST-1, is a serine/threonine kinase that, upon cleavage, has been implicated in the promotion of chromatin condensation. MST-1 is also known as KRS2 and STK4. The C-terminus of MST-1 contains two functional NESs (nuclear export signals), which are released upon caspase-mediated cleavage. The N-terminus portion of the protein then translocates to the nucleus and will promote chromatin condensation at sufficiently high levels. Full-length MST-1 is localized to the cytoplasm.

Long Name

Macrophage Stimulating Protein/Macrophage Stimulating 1 [Hepatocyte Growth Factor-like]

Alternate Names

HGFL, MST1, SF2

Gene Symbol

MST1

Additional MSP/MST1 Products

Product Documents for MSP/MST1 Antibody (5R7X2)

Certificate of Analysis

To download a Certificate of Analysis, please enter a lot number in the search box below.

Product Specific Notices for MSP/MST1 Antibody (5R7X2)

This product is for research use only and is not approved for use in humans or in clinical diagnosis. Primary Antibodies are guaranteed for 1 year from date of receipt.

Loading...
Loading...
Loading...
Loading...