Skip to main content

Key Product Details

Species Reactivity

Mouse

Applications

Multiplex Immunofluorescence, Immunohistochemistry, COMET

Label

Unconjugated

Antibody Source

Recombinant Monoclonal Rabbit IgG Clone # 3319C

Product Specifications

Immunogen

Synthetic Peptide
Accession # P35918

Specificity

Detects a synthetic peptide specific for mouse VEGFR2 around amino acid 1300 in Direct ELISA.

Clonality

Monoclonal

Host

Rabbit

Isotype

IgG

Scientific Data Images for Mouse VEGFR2/KDR/Flk-1 Antibody

Detection of VEGFR2/KDR/Flk-1 in Mouse Spleen via seqIF™ staining on COMET™

VEGFR2/KDR/Flk-1 was detected in immersion fixed paraffin-embedded sections of mouse spleen using Rabbit Anti-Mouse VEGFR2/KDR/Flk-1 , Monoclonal Antibody (Catalog #MAB11749) at 10ug/mL at 37° Celsius for 8 minutes. Before incubation with the primary antibody, tissue underwent an all-in-one dewaxing and antigen retrieval preprocessing using PreTreatment Module (PT Module) and Dewax and HIER Buffer H (pH 9; Epredia Catalog # TA-999-DHBH). Tissue was stained using the Alexa Fluor™ Plus 647 Goat anti-Rabbit IgG Secondary Antibody at 1:200 at 37 ° Celsius for 2 minutes. (Yellow; Lunaphore Catalog # DR647RB) and counterstained with DAPI (blue; Lunaphore Catalog # DR100). Specific staining was localized to the endothelial cells. Protocol available in COMET™ Panel Builder.

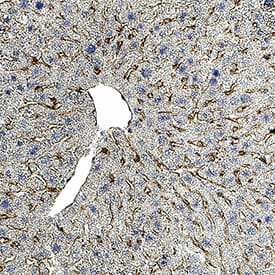
Detection of VEGFR2/KDR/Flk-1 in Mouse Liver.

VEGFR2/KDR/Flk-1 was detected in perfusion fixed paraffin-embedded sections of mouse liver using Rabbit Anti-Mouse VEGFR2/KDR/Flk-1 Monoclonal Antibody (Catalog # MAB11749) at 0.5 µg/ml overnight at 4 °C. Before incubation with the primary antibody, tissue was subjected to heat-induced epitope retrieval using VisUCyte Antigen Retrieval Reagent-Basic (Catalog # VCTS021). Tissue was stained using the HRP-conjugated Anti-Rabbit IgG Secondary Antibody (Catalog # HAF008) and counterstained with hematoxylin (blue). Specific staining was localized to the cell surface of endothelial cells. View our protocol for Chromogenic IHC Staining of Paraffin-embedded Tissue Sections.

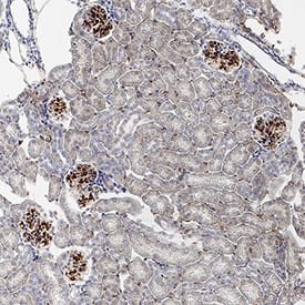
Detection of VEGFR2/KDR/Flk-1 in Mouse Kidney.

VEGFR2/KDR/Flk-1 was detected in perfusion fixed paraffin-embedded sections of mouse kidney using Rabbit Anti-Mouse VEGFR2/KDR/Flk-1 Monoclonal Antibody (Catalog # MAB11749) at 0.5 µg/ml overnight at 4 °C. Before incubation with the primary antibody, tissue was subjected to heat-induced epitope retrieval using VisUCyte Antigen Retrieval Reagent-Basic (Catalog # VCTS021). Tissue was stained using the HRP-conjugated Anti-Rabbit IgG Secondary Antibody (Catalog # HAF008) and counterstained with hematoxylin (blue). Specific staining was localized to the cell surface of endothelial cells. View our protocol for Chromogenic IHC Staining of Paraffin-embedded Tissue Sections.

Applications for Mouse VEGFR2/KDR/Flk-1 Antibody

Application
Recommended Usage

COMET

Immunohistochemistry

0.5-10 µg/mL
Sample: Perfusion fixed paraffin-embedded sections of mouse liver and mouse kidney

Multiplex Immunofluorescence

10 µg/mL
Sample: Immersion fixed paraffin-embedded sections of mouse spleen

Formulation, Preparation, and Storage

Purification

Protein A or G purified from hybridoma culture supernatant

Reconstitution

Reconstitute lyophilized material at 0.2 mg/ml in sterile PBS. For liquid material, refer to CoA for concentration.

Reconstitution Buffer Available:
Size / Price
Qty
Loading...

Formulation

Lyophilized from a 0.2 μm filtered solution in PBS with Trehalose.

Shipping

Lyophilized product is shipped at ambient temperature. Liquid small pack size (-SP) is shipped with polar packs. Upon receipt, store immediately at the temperature recommended below.

Stability & Storage

Use a manual defrost freezer and avoid repeated freeze-thaw cycles.
  • 12 months from date of receipt, -20 to -70 °C as supplied.
  • 1 month, 2 to 8 °C under sterile conditions after reconstitution.
  • 6 months, -20 to -70 °C under sterile conditions after reconstitution.

Background: VEGFR2/KDR/Flk-1

VEGFR2 (KDR/Flk-1), VEGFR1 (Flt-1) and VEGFR3 (Flt-4) belong to the class III subfamily of receptor tyrosine kinases (RTKs). All three receptors contain seven immunoglobulin-like repeats in their extracellular domains and kinase insert domains in their intracellular regions. The expression of VEGFR1, 2, and 3 is almost exclusively restricted to endothelial cells. These receptors are likely to play essential roles in vasculogenesis and angiogenesis. Mature mouse VEGFR2 is composed of a 743 amino acid (aa) extracellular domain, a 22 aa transmembrane domain, and a 583 aa cytoplasmic domain. In contrast to VEGFR1 which binds both PlGF and VEGF with high affinity, VEGFR2 binds VEGF but not PlGF with high affinity.

References

  1. Ferra, N. and R. Davis-Smyth (1997) Endocrine Reviews 18:4.
  2. Achen, M.G. et al. (1998) Proc. Natl. Acad. Sci. USA 95:548.

Long Name

Vascular Endothelial Growth Factor Receptor 2

Alternate Names

CD309, Flk-1, Flk1, KDR, KRD1, Ly73, VEGF R2

Entrez Gene IDs

3791 (Human); 16542 (Mouse)

Gene Symbol

KDR

UniProt

Additional VEGFR2/KDR/Flk-1 Products

Product Documents for Mouse VEGFR2/KDR/Flk-1 Antibody

Certificate of Analysis

To download a Certificate of Analysis, please enter a lot number in the search box below.

Note: Certificate of Analysis not available for kit components.

Product Specific Notices for Mouse VEGFR2/KDR/Flk-1 Antibody

For research use only

Loading...
Loading...
Loading...
Loading...