Skip to main content

Key Product Details

Species Reactivity

Validated:

Mouse

Cited:

Human, Mouse, Transgenic Mouse

Applications

Validated:

Immunohistochemistry, Western Blot

Cited:

Immunohistochemistry, Western Blot

Label

Unconjugated

Antibody Source

Polyclonal Sheep IgG

Product Specifications

Immunogen

Chinese hamster ovary cell line CHO-derived recombinant mouse Thrombospondin-4
Gln27-Asn963 (predicted)
Accession # Q9Z1T2

Specificity

Detects mouse Thrombospondin-4 in direct ELISAs and Western blots. In direct ELISAs, aproximately 10% cross-reactivity with recombinant human Thrombospondin-4 is observed, and less than 1% cross-reactivity with recombinant mouse Thrombospondin-1 is observed.

Clonality

Polyclonal

Host

Sheep

Isotype

IgG

Scientific Data Images for Mouse Thrombospondin-4 Antibody

Detection of Mouse Thrombospondin-4 antibody by Western Blot.

Detection of Mouse Thrombospondin‑4 by Western Blot.

Western blot shows lysates of mouse muscle tissue. PVDF membrane was probed with 1 µg/mL of Sheep Anti-Mouse Thrombospondin-4 Antigen Affinity-purified Polyclonal Antibody (Catalog # AF7860) followed by HRP-conjugated Anti-Sheep IgG Secondary Antibody (Catalog # HAF016). A specific band was detected for Thrombospondin-4 at approximately 120 kDa (as indicated). This experiment was conducted under reducing conditions and using Immunoblot Buffer Group 1.
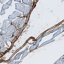
Thrombospondin-4 antibody in Mouse Skeletal Muscle by Immunohistochemistry (IHC-Fr).

Thrombospondin‑4 in Mouse Skeletal Muscle.

Thrombospondin-4 was detected in perfusion fixed frozen sections of mouse skeletal muscle using Sheep Anti-Mouse Thrombospondin-4 Antigen Affinity-purified Polyclonal Antibody (Catalog # AF7860) at 5 µg/mL overnight at 4 °C. Tissue was stained using the Anti-Sheep HRP-DAB Cell & Tissue Staining Kit (brown; Catalog # CTS019) and counterstained with hematoxylin (blue). Specific staining was localized to connective tissue. View our protocol for Chromogenic IHC Staining of Frozen Tissue Sections.

Applications for Mouse Thrombospondin-4 Antibody

Application
Recommended Usage

Immunohistochemistry

5-15 µg/mL
Sample: Perfusion fixed frozen sections of mouse skeletal muscle

Western Blot

1 µg/mL
Sample: Mouse muscle tissue

Reviewed Applications

Read 1 review rated 4 using AF7860 in the following applications:

Formulation, Preparation, and Storage

Purification

Antigen Affinity-purified

Reconstitution

Reconstitute at 0.2 mg/mL in sterile PBS. For liquid material, refer to CoA for concentration.

Reconstitution Buffer Available:
Size / Price
Qty
Loading...

Formulation

Lyophilized from a 0.2 μm filtered solution in PBS with Trehalose. *Small pack size (SP) is supplied either lyophilized or as a 0.2 µm filtered solution in PBS.

Shipping

Lyophilized product is shipped at ambient temperature. Liquid small pack size (-SP) is shipped with polar packs. Upon receipt, store immediately at the temperature recommended below.

Stability & Storage

Use a manual defrost freezer and avoid repeated freeze-thaw cycles.
  • 12 months from date of receipt, -20 to -70 °C as supplied.
  • 1 month, 2 to 8 °C under sterile conditions after reconstitution.
  • 6 months, -20 to -70 °C under sterile conditions after reconstitution.

Background: Thrombospondin-4

Mouse Thrombospondin-4 (TSP-4) is a 120-130 kDa adhesive glycoprotein that belongs to the thrombospondin family of proteins.  It is 963 amino acids (aa) in length and highly modular in structure, containing one Lamnin G-like domain, four EGF-like domains and eight type 3 TSP domains.  It circulates as a disulfide-linked homopentamer, and is up-regulated in the heart in response to ischemic injury and pathology. Mature mouse TSP-4 is 93% aa identical to human TSP4.     

Alternate Names

THBS4, Thrombospondin4, TSP-4

Entrez Gene IDs

7060 (Human); 21828 (Mouse)

Gene Symbol

THBS4

UniProt

Additional Thrombospondin-4 Products

Product Documents for Mouse Thrombospondin-4 Antibody

Certificate of Analysis

To download a Certificate of Analysis, please enter a lot number in the search box below.

Note: Certificate of Analysis not available for kit components.

Product Specific Notices for Mouse Thrombospondin-4 Antibody

For research use only

Loading...
Loading...
Loading...
Loading...