Skip to main content

Key Product Details

Species Reactivity

Validated:

Mouse

Cited:

Human, Mouse, Rat, Transgenic Mouse

Applications

Validated:

Immunohistochemistry, Western Blot, Intracellular Staining by Flow Cytometry, Immunocytochemistry, CyTOF-ready

Cited:

Immunohistochemistry, Immunohistochemistry-Paraffin, Immunohistochemistry-Frozen, Western Blot, Flow Cytometry, Immunocytochemistry, Western Blo

Label

Unconjugated

Antibody Source

Polyclonal Goat IgG

Product Specifications

Immunogen

Mouse myeloma cell line NS0-derived recombinant mouse SPARC/Osteonectin
Ala18-Ile302
Accession # P07214

Specificity

Detects mouse SPARC in direct ELISAs and Western blots.

Clonality

Polyclonal

Host

Goat

Isotype

IgG

Scientific Data Images for Mouse SPARC Antibody

Detection of Mouse SPARC antibody by Western Blot.

Detection of Mouse SPARC by Western Blot.

Western blot shows lysates of C2C12 mouse myoblast cell line and mouse placenta tissue. PVDF membrane was probed with 0.2 µg/mL of Goat Anti-Mouse SPARC Antigen Affinity-purified Polyclonal Antibody (Catalog # AF942) followed by HRP-conjugated Anti-Goat IgG Secondary Antibody (Catalog # HAF017). A specific band was detected for SPARC at approximately 35-37 kDa (as indicated). This experiment was conducted under reducing conditions and using Immunoblot Buffer Group 1.
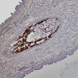
SPARC/Osteonectin antibody in Mouse Embryo by Immunohistochemistry (IHC-Fr).

SPARC/Osteonectin in Mouse Embryo.

SPARC/Osteonectin was detected in immersion fixed frozen sections of mouse embryo (E15) using Mouse SPARC/ Osteonectin Antigen Affinity-purified Polyclonal Antibody (Catalog # AF942) at 1.7 µg/mL overnight at 4 °C. Tissue was stained using the Anti-Goat HRP-DAB Cell & Tissue Staining Kit (brown; Catalog # CTS008) and counterstained with hematoxylin (blue). Specific staining was localized to developing cartilage. View our protocol for Chromogenic IHC Staining of Frozen Tissue Sections.
SPARC antibody in C2C12 Mouse Cell Line by Immunocytochemistry (ICC).

SPARC in C2C12 Mouse Cell Line.

SPARC was detected in immersion fixed C2C12 mouse myoblast cell line using Goat Anti-Mouse SPARC Antigen Affinity-purified Polyclonal Antibody (Catalog # AF942) at 5 µg/mL for 3 hours at room temperature. Cells were stained using the NorthernLights™ 557-conjugated Anti-Goat IgG Secondary Antibody (red; Catalog # NL001) and counterstained with DAPI (blue). Specific staining was localized to endoplasmic reticuli. View our protocol for Fluorescent ICC Staining of Cells on Coverslips.

Applications for Mouse SPARC Antibody

Application
Recommended Usage

CyTOF-ready

Ready to be labeled using established conjugation methods. No BSA or other carrier proteins that could interfere with conjugation.

Immunocytochemistry

5-15 µg/mL
Sample: Immersion fixed C2C12 mouse myoblast cell line

Immunohistochemistry

1-15 µg/mL
Sample: Immersion fixed frozen sections of mouse embryo (E15)

Intracellular Staining by Flow Cytometry

0.25 µg/106 cells
Sample: Balb/C-3T3 mouse embryonic fibroblast cell line fixed with paraformaldehyde and permeabilized with saponin

Western Blot

0.2 µg/mL
Sample: C2C12 mouse myoblast cell line and mouse placenta tissue

Reviewed Applications

Read 3 reviews rated 4.7 using AF942 in the following applications:

Formulation, Preparation, and Storage

Purification

Antigen Affinity-purified

Reconstitution

Reconstitute at 0.2 mg/mL in sterile PBS. For liquid material, refer to CoA for concentration.

Reconstitution Buffer Available:
Size / Price
Qty
Loading...

Formulation

Lyophilized from a 0.2 μm filtered solution in PBS with Trehalose. *Small pack size (SP) is supplied either lyophilized or as a 0.2 µm filtered solution in PBS.

Shipping

Lyophilized product is shipped at ambient temperature. Liquid small pack size (-SP) is shipped with polar packs. Upon receipt, store immediately at the temperature recommended below.

Stability & Storage

Use a manual defrost freezer and avoid repeated freeze-thaw cycles.
  • 12 months from date of receipt, -20 to -70 °C as supplied.
  • 1 month, 2 to 8 °C under sterile conditions after reconstitution.
  • 6 months, -20 to -70 °C under sterile conditions after reconstitution.

Background: SPARC

SPARC, an acronym for “secreted protein, acidic and rich in cysteine”, is also known as osteonectin or BM-40 (1-5). It is the founding member of a family of secreted matricellular proteins with similar domain structure. The 302 amino acid (aa), 43 kDa protein contains a 17 aa signal sequence, an N-terminal acidic region that binds calcium, a follistatin domain containing Kazal-like sequences, and a C-terminal extracellular calcium (EC) binding domain with two EF-hand motifs (1-5). Crystal structure shows that residues implicated in cell binding, inhibition of cell spreading and disassembly of focal adhesions cluster on one face of SPARC, while a collagen binding epitope and an N-glycosylation site are opposite this face (6). SPARC is produced by fibroblasts, capillary endothelial cells, platelets, and macrophages, especially in areas of tissue morphogenesis and remodeling (3, 7). SPARC shows context-specific effects, but generally inhibits adhesion, spreading and proliferation, and promotes collagen matrix formation (3-5). For endothelial cells, SPARC disrupts focal adhesions and binds and sequesters PDGF and VEGF (3-5). SPARC is abundantly expressed in bone, where it promotes osteoblast differentiation and inhibits adipogenesis (5, 8). SPARC is potentially cleaved by metalloproteinases, producing an angiogenic peptide that includes the copper-binding sequence KGHK (7). Paradoxically, SPARC is highly expressed in many tumor types, yet expression mainly decreases the likelihood of metastasis and confers sensitivity to chemotherapy and radiation (4, 9, 10). Stabilin-1, which is expressed on alternately activated macrophages, is the first SPARC receptor to be identified. It binds the SPARC EC domain and mediates endocytosis for degradation (11). Mature mouse SPARC shows 97%, 92%, 92%, 92%, and 83% aa identity with rat, human, dog, cow, and chick SPARC, respectively.

References

  1. Lankat-Buttgereit, B. et al. (1988) FEBS Lett. 236:352.
  2. McVey, J.H. et al. (1988) J. Biol. Chem. 263:11111.
  3. Sage, H. et al. (1989) J. Cell Biol. 109:341.
  4. Framson, P.E. and E.H. Sage (2004) J. Cell. Biochem. 92:679.
  5. Alford, A.I. and K.D. Hankenson (2006) Bone 38:749.
  6. Hohenester, E. et al. (1997) EMBO J. 16:3778.
  7. Sage, E.H. et al. (2003) J. Biol. Chem. 278:37849.
  8. Delany, A.M. et al. (2003) Endocrinology 144:2588.
  9. Koblinski, J.E. et al. (2005) Cancer Res. 65:7370.
  10. Tai, I.T. et al. (2005) J. Clin. Invest. 115:1492.
  11. Kzhyshkowska, J. et al. (2006) J. Immunol. 176:5825.

Long Name

Secreted Protein Acidic and Rich in Cysteine

Alternate Names

BM-40, Osteonectin

Entrez Gene IDs

6678 (Human); 20692 (Mouse)

Gene Symbol

SPARC

UniProt

Additional SPARC Products

Product Documents for Mouse SPARC Antibody

Certificate of Analysis

To download a Certificate of Analysis, please enter a lot number in the search box below.

Note: Certificate of Analysis not available for kit components.

Product Specific Notices for Mouse SPARC Antibody

For research use only

Loading...
Loading...
Loading...
Loading...
Loading...