Skip to main content

Key Product Details

Species Reactivity

Mouse

Applications

Immunohistochemistry, Western Blot

Label

Unconjugated

Antibody Source

Polyclonal Sheep IgG

Product Specifications

Immunogen

Mouse myeloma cell line NS0-derived recombinant mouse Semaphorin 4G
Val18-Met673
Accession # Q9WUH7

Specificity

Detects mouse Semaphorin 4G in direct ELISAs and Western blots. In direct ELISAs, approximately 20% cross-reactivity with recombinant human Semaphorin 4G is observed, and less than 1% cross-reactivity with recombinant mouse (rm) Semaphorin 4B, rmSemaphorin 4C, and rmSemaphorin 4F is observed.

Clonality

Polyclonal

Host

Sheep

Isotype

IgG

Scientific Data Images for Mouse Semaphorin 4G Antibody

Detection of Mouse Semaphorin 4G antibody by Western Blot.

Detection of Mouse Semaphorin 4G by Western Blot.

Western blot shows lysates of mouse brain (cortex) tissue. PVDF Membrane was probed with 1 µg/mL of Sheep Anti-Mouse Semaphorin 4G Antigen Affinity-purified Polyclonal Antibody (Catalog # AF6504) followed by HRP-conjugated Anti-Sheep IgG Secondary Antibody (Catalog # HAF016). A specific band was detected for Semaphorin 4G at approximately 110 kDa (as indicated). This experiment was conducted under reducing conditions and using Immunoblot Buffer Group 1
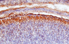
Semaphorin 4G antibody in Mouse Embryo by Immunohistochemistry (IHC-Fr).

Semaphorin 4G in Mouse Embryo.

Semaphorin 4G was detected in immersion fixed frozen sections of mouse embryo (15 d.p.c.) using Sheep Anti-Mouse Semaphorin 4G Antigen Affinity-purified Polyclonal Antibody (Catalog # AF6504) at 15 µg/mL overnight at 4 °C. Tissue was stained using the Anti-Sheep HRP-DAB Cell & Tissue Staining Kit (brown; Catalog # CTS019) and counter-stained with hematoxylin (blue). Specific staining was localized to developing brain (cortex) and connective tissue. View our protocol for Chromogenic IHC Staining of Frozen Tissue Sections.

Applications for Mouse Semaphorin 4G Antibody

Application
Recommended Usage

Immunohistochemistry

5-15 µg/mL
Sample: Immersion fixed frozen sections of mouse embryo (15 d.p.c.)

Western Blot

1 µg/mL
Sample: Mouse brain (cortex) tissue

Formulation, Preparation, and Storage

Purification

Antigen Affinity-purified

Reconstitution

Sterile PBS to a final concentration of 0.2 mg/mL. For liquid material, refer to CoA for concentration.

Reconstitution Buffer Available:
Size / Price
Qty
Loading...

Formulation

Lyophilized from a 0.2 μm filtered solution in PBS with Trehalose. *Small pack size (SP) is supplied either lyophilized or as a 0.2 µm filtered solution in PBS.

Shipping

Lyophilized product is shipped at ambient temperature. Liquid small pack size (-SP) is shipped with polar packs. Upon receipt, store immediately at the temperature recommended below.

Stability & Storage

Use a manual defrost freezer and avoid repeated freeze-thaw cycles.
  • 12 months from date of receipt, -20 to -70 °C as supplied.
  • 1 month, 2 to 8 °C under sterile conditions after reconstitution.
  • 6 months, -20 to -70 °C under sterile conditions after reconstitution.

Background: Semaphorin 4G

Semaphorin 4G (Sema4G) is a 92 kDa (predicted), class IV member of the semaphorin family of proteins. It is expressed by select cell types, including oligodendroglia and Purkinje neurons, and likely acts as a chemorepellent by binding to B-type plexins. Mature mouse Sema4G is a type I transmembrane protein that is 820 amino acids (aa) in length. It contains a 656 aa extracellular region (aa 18-673) that is characterized by one Sema domain (aa 35-503), a PSI region (aa 505‑556), and an Ig-like C2-type domain (aa 565-648). The 143 aa cytoplasmic region contains a poly-proline segment and a Ser phosphorylation site. Over aa 18‑673, mouse Sema4G shares 91% and 97% aa identity with human and rat Sema4G, respectively.

Alternate Names

SEMA4G

Entrez Gene IDs

57715 (Human); 26456 (Mouse); 361764 (Rat)

Gene Symbol

SEMA4G

UniProt

Additional Semaphorin 4G Products

Product Documents for Mouse Semaphorin 4G Antibody

Certificate of Analysis

To download a Certificate of Analysis, please enter a lot number in the search box below.

Note: Certificate of Analysis not available for kit components.

Product Specific Notices for Mouse Semaphorin 4G Antibody

For research use only

Loading...
Loading...
Loading...
Loading...