Mouse/Rat Testisin/Prss21 Antibody
R&D Systems, part of Bio-Techne | Catalog # AF6820
Conjugate
Catalog #
Key Product Details
Species Reactivity
Mouse, Rat
Applications
Immunohistochemistry, Western Blot
Label
Unconjugated
Antibody Source
Polyclonal Goat IgG
Product Specifications
Immunogen
Mouse myeloma cell line NS0-derived recombinant mouse Testisin/Prss21
Gln28-Asn298
Accession # Q9JHJ7
Gln28-Asn298
Accession # Q9JHJ7
Specificity
Detects recombinant mouse Testisin/Prss21 in direct ELISAs and Western blots. Detects mouse and rat Testisin/Prss21 in Western blots. In direct ELISAs, less than 1% cross-reactivity with recombinant mouse (rm) Prss8 and rmPrss27 is observed.
Clonality
Polyclonal
Host
Goat
Isotype
IgG
Scientific Data Images for Mouse/Rat Testisin/Prss21 Antibody
Detection of Mouse and Rat Testisin/Prss21 by Western Blot.
Western blot shows lysates of mouse testis tissue and rat testis tissue. PVDF membrane was probed with 0.5 µg/mL of Goat Anti-Mouse Testisin/Prss21 Antigen Affinity-purified Polyclonal Antibody (Catalog # AF6820) followed by HRP-conjugated Anti-Goat IgG Secondary Antibody (Catalog # HAF017). A specific band was detected for Testisin/Prss21 at approximately 40 kDa (as indicated). This experiment was conducted under reducing conditions and using Immunoblot Buffer Group 1.Testisin/Prss21 in Mouse Testis.
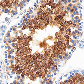
Testisin/Prss21 was detected in perfusion fixed frozen sections of mouse testis using Goat Anti-Mouse Testisin/Prss21 Antigen Affinity-purified Polyclonal Antibody (Catalog # AF6820) at 1.7 µg/mL overnight at 4 °C. Tissue was stained using the Anti-Goat HRP-DAB Cell & Tissue Staining Kit (brown; Catalog # CTS008) and counterstained with hematoxylin (blue). Specific staining was localized to the plasma membranes of spermatocytes. View our protocol for Chromogenic IHC Staining of Frozen Tissue Sections. This application has not been tested in rat samples.Applications for Mouse/Rat Testisin/Prss21 Antibody
Application
Recommended Usage
Immunohistochemistry
5-15 µg/mL
Sample: Perfusion fixed frozen sections of mouse testis
Sample: Perfusion fixed frozen sections of mouse testis
Western Blot
0.5 µg/mL
Sample: Mouse testis tissue and rat testis tissue
Sample: Mouse testis tissue and rat testis tissue
Formulation, Preparation, and Storage
Purification
Antigen Affinity-purified
Reconstitution
Sterile PBS to a final concentration of 0.2 mg/mL. For liquid material, refer to CoA for concentration.
Formulation
Lyophilized from a 0.2 μm filtered solution in PBS with Trehalose. *Small pack size (SP) is supplied either lyophilized or as a 0.2 µm filtered solution in PBS.
Shipping
Lyophilized product is shipped at ambient temperature. Liquid small pack size (-SP) is shipped with polar packs. Upon receipt, store immediately at the temperature recommended below.
Stability & Storage
Use a manual defrost freezer and avoid repeated freeze-thaw cycles.
- 12 months from date of receipt, -20 to -70 °C as supplied.
- 1 month, 2 to 8 °C under sterile conditions after reconstitution.
- 6 months, -20 to -70 °C under sterile conditions after reconstitution.
Background: Testisin/Prss21
References
- Wong, G.W. et al. (2001) J. Biol. Chem. 276:20648.
- Hooper, J.D. et al. (2000) Biochim. Biophys. Acta 1492:63.
- Inoue, M. et al. (1998) Biochem. Biophys. Res. Comm. 252:307.
- Netzel-Arnett, S. et al. (2009) Biol. Reprod. 81:921.
- Kawano, N. et al. (2010) Biol. Reprod. 83:359.
- Honda, A. et al. (2002) J. Biol. Chem. 277:16976.
Alternate Names
Prss21, TEST1
Gene Symbol
PRSS21
UniProt
Additional Testisin/Prss21 Products
Product Documents for Mouse/Rat Testisin/Prss21 Antibody
Product Specific Notices for Mouse/Rat Testisin/Prss21 Antibody
For research use only
Loading...
Loading...
Loading...
Loading...