Skip to main content

Key Product Details

Species Reactivity

Validated:

Mouse, Rat

Cited:

Mouse, Rat, Transgenic Mouse

Applications

Validated:

Immunohistochemistry, Neutralization

Cited:

Immunohistochemistry, Western Blot, Neutralization

Label

Unconjugated

Antibody Source

Polyclonal Goat IgG

Product Specifications

Immunogen

E. coli-derived recombinant rat CNTF
Ala2-Met200
Accession # P20294.1

Specificity

Detects rat CNTF in direct ELISAs and Western blots. Detects mouse and rat CNTF in immunohistochemistry. In direct ELISAs and Western blots, less than 15% cross-reactivity with recombinant human CNTF is observed.

Clonality

Polyclonal

Host

Goat

Isotype

IgG

Endotoxin Level

<0.10 EU per 1 μg of the antibody by the LAL method.

Scientific Data Images for Mouse/Rat CNTF Antibody

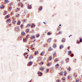
CNTF antibody in Mouse Cerebellum by Immunohistochemistry (IHC-Fr).

CNTF in Mouse Cerebellum.

CNTF was detected in perfusion fixed frozen sections of mouse cerebellum using Goat Anti-Rat CNTF Antigen Affinity-purified Polyclonal Antibody (Catalog # AF-557-NA) at 1.7 µg/mL for 1 hour at room temperature followed by incubation with the Anti-Goat IgG VisUCyte™ HRP Polymer Antibody (Catalog # VC004). Tissue was stained using DAB (brown) and counterstained with hematoxylin (blue). Specific staining was localized to Purkinje neurons. View our protocol for IHC Staining with VisUCyte HRP Polymer Detection Reagents.
CNTF antibody in Rat Cerebellum by Immunohistochemistry (IHC-Fr).

CNTF in Rat Cerebellum.

CNTF was detected in perfusion fixed frozen sections of rat cerebellum using Goat Anti-Rat CNTF Antigen Affinity-purified Polyclonal Antibody (Catalog # AF-557-NA) at 5 µg/mL for 1 hour at room temperature followed by incubation with the Anti-Goat IgG VisUCyte™ HRP Polymer Antibody (Catalog # VC004). Tissue was stained using DAB (brown) and counterstained with hematoxylin (blue). Specific staining was localized to Purkinje neurons. View our protocol for IHC Staining with VisUCyte HRP Polymer Detection Reagents.
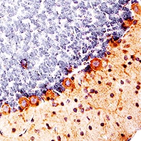
CNTF antibody in Mouse Brain by Immunohistochemistry (IHC-P).

CNTF in Mouse Brain.

CNTF was detected in perfusion fixed paraffin-embedded sections of mouse brain (hippocampus) using Goat Anti-Rat CNTF Antigen Affinity-purified Polyclonal Antibody (Catalog # AF-557-NA) at 5 µg/mL for 1 hour at room temperature followed by incubation with the Anti-Goat IgG VisUCyte™ HRP Polymer Antibody (Catalog # VC004). Before incubation with the primary antibody, tissue was subjected to heat-induced epitope retrieval using Antigen Retrieval Reagent-Basic (Catalog # CTS013). Tissue was stained using DAB (brown) and counterstained with hematoxylin (blue). Specific staining was localized to cell membranes and cytoplasm of Purkinje cells. View our protocol for IHC Staining with VisUCyte HRP Polymer Detection Reagents.

Applications for Mouse/Rat CNTF Antibody

Application
Recommended Usage

Immunohistochemistry

5-15 µg/mL
Sample: Perfusion fixed frozen sections of rat spinal cord, rat cerebellum and mouse cerebellum, and perfusion fixed paraffin-embedded sections of mouse brain (hippocampus)

Neutralization

Measured by its ability to neutralize CNTF-induced proliferation in the TF‑1 human erythroleukemic cell line. The Neutralization Dose (ND50) is typically 0.3-2.4 µg/mL in the presence of 20 ng/mL Recombinant Rat CNTF.

Formulation, Preparation, and Storage

Purification

Antigen Affinity-purified

Reconstitution

Reconstitute at 0.2 mg/mL in sterile PBS. For liquid material, refer to CoA for concentration.

Reconstitution Buffer Available:
Size / Price
Qty
Loading...

Formulation

Lyophilized from a 0.2 μm filtered solution in PBS with Trehalose. *Small pack size (SP) is supplied either lyophilized or as a 0.2 µm filtered solution in PBS.

Shipping

Lyophilized product is shipped at ambient temperature. Liquid small pack size (-SP) is shipped with polar packs. Upon receipt, store immediately at the temperature recommended below.

Stability & Storage

Use a manual defrost freezer and avoid repeated freeze-thaw cycles.
  • 12 months from date of receipt, -20 to -70 °C as supplied.
  • 1 month, 2 to 8 °C under sterile conditions after reconstitution.
  • 6 months, -20 to -70 °C under sterile conditions after reconstitution.

Background: CNTF

Ciliary neurotrophic factor (CNTF) is a polypeptide initially purified from chick embryo ocular tissue and identified as a trophic factor for embryonic chick ciliary parasympathetic neurons in culture. Subsequent studies have demonstrated that CNTF is a survival factor for additional neuronal cell types including: dorsal root ganglion sensory neurons, sympathetic ganglion neurons, embryonic motor neurons, major pelvic ganglion neurons, and hippocampal neurons. CNTF has also been shown to prevent the degeneration of motor axons after axotomy. The cDNA for CNTF encodes a 200 amino acid residue polypeptide that lacks a signal sequence. CNTF is highly conserved across species and exhibits cross-species activities. Human and rat CNTF share approximately 83% homology in their protein sequence. CNTF is structurally related to IL-6, IL-11, LIF, and OSM. All of these four helix bundle cytokines share gp130 as a signal-transducing subunit in their receptor complexes.

Long Name

Ciliary Neurotrophic Factor

Alternate Names

ciliary neurotrophic factor, HCNTF

Entrez Gene IDs

1270 (Human); 12803 (Mouse); 25707 (Rat)

Gene Symbol

CNTF

UniProt

Additional CNTF Products

Product Documents for Mouse/Rat CNTF Antibody

Certificate of Analysis

To download a Certificate of Analysis, please enter a lot number in the search box below.

Note: Certificate of Analysis not available for kit components.

Product Specific Notices for Mouse/Rat CNTF Antibody

For research use only

Loading...
Loading...
Loading...
Loading...