Skip to main content

Key Product Details

Species Reactivity

Mouse

Applications

Immunohistochemistry, Immunocytochemistry

Label

Unconjugated

Antibody Source

Monoclonal Rat IgG2A Clone # 413218

Product Specifications

Immunogen

E. coli-derived recombinant mouse Patched 1/PTCH
Glu108-Asp422
Accession # Q61115

Specificity

Detects mouse Patched 1/PTCH in direct ELISAs

Clonality

Monoclonal

Host

Rat

Isotype

IgG2A

Scientific Data Images for Mouse Patched 1/PTCH Antibody

Detection of Patched 1/PTCH in Neuro2a.

Patched 1/PTCH was detected in fixed Neuro2A cells using Rat Anti-Mouse Patched 1/PTCH Monoclonal Antibody (Catalog # MAB11487) at 8 µg/ml for 3 hours at room temperature. Cells were stained using the NorthernLights™ 557-conjugated Anti-Rat IgG Secondary Antibody (red; Catalog # NL013) and counterstained with DAPI (blue). Specific staining was localized to the membrame. View our protocol for Fluorescent ICC Staining of Cells on Coverslips.

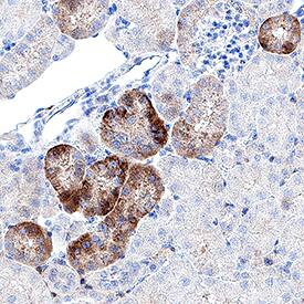
Detection of Patched 1/PTCH in Mouse Kidney.

Patched 1/PTCH was detected in immersion fixed paraffin-embedded sections of mouse kidney using Rat Anti-Mouse Patched 1/PTCH Monoclonal Antibody (Catalog # MAB11487) at 5 µg/ml for 1 hour at room temperature followed by incubation with the Anti-Rat IgG VisUCyte™ HRP Polymer Antibody (Catalog # VC005). Before incubation with the primary antibody, tissue was subjected to heat-induced epitope retrieval using VisUCyte Antigen Retrieval Reagent-Basic (Catalog # VCTS021). Tissue was stained using DAB (brown) and counterstained with hematoxylin (blue). Specific staining was localized to the membrane of cells in convoluted tubules. View our protocol for Chromogenic IHC Staining of Paraffin-embedded Tissue Sections.

Applications for Mouse Patched 1/PTCH Antibody

Application
Recommended Usage

Immunocytochemistry

3-25 µg/mL
Sample:  fixed Neuro2A cells

Immunohistochemistry

3-25 µg/mL
Sample: Immersion fixed paraffin-embedded sections of mouse kidney

Formulation, Preparation, and Storage

Purification

Protein A or G purified from hybridoma culture supernatant

Reconstitution

Reconstitute at 0.5 mg/mL in sterile PBS. For liquid material, refer to CoA for concentration.

Reconstitution Buffer Available:
Size / Price
Qty
Loading...

Formulation

Lyophilized from a 0.2 μm filtered solution in PBS with Trehalose. See Certificate of Analysis for details.
*Small pack size (-SP) is supplied either lyophilized or as a 0.2 µm filtered solution in PBS.

Shipping

Lyophilized product is shipped at ambient temperature. Liquid small pack size (-SP) is shipped with polar packs. Upon receipt, store immediately at the temperature recommended below.

Stability & Storage

Use a manual defrost freezer and avoid repeated freeze-thaw cycles.
  • 12 months from date of receipt, -20 to -70 °C as supplied.
  • 1 month, 2 to 8 °C under sterile conditions after reconstitution.
  • 6 months, -20 to -70 °C under sterile conditions after reconstitution.

Background: Patched 1/PTCH

Patched is a 170‑175 kDa member of the patched family of proteins. It is found on multiple cells types and forms a constitutive, inactivating complex with Smoothened. Upon SHH binding to Patched, Smoothened is released and initiates downstream signaling. Mouse Patched is a 12 transmembrane, 1434 amino acid (aa) glycoprotein that contains two terminal cytoplasmic domains. Only one mRNA species for Patched has been reported in mice. However, it would appear likely that two or more splice forms exist, with variation occurring over the first 150 aa of the N-terminus. Over aa 108‑422, mouse Patched shares 97% and 99% aa sequence identity with human and rat Patched, respectively.

Alternate Names

BCNS, HPE7, mes, NBCCS, ptc1, PTCH1

Entrez Gene IDs

5727 (Human); 19206 (Mouse); 89830 (Rat)

Gene Symbol

PTCH1

UniProt

Additional Patched 1/PTCH Products

Product Documents for Mouse Patched 1/PTCH Antibody

Certificate of Analysis

To download a Certificate of Analysis, please enter a lot number in the search box below.

Note: Certificate of Analysis not available for kit components.

Product Specific Notices for Mouse Patched 1/PTCH Antibody

For research use only

Loading...
Loading...
Loading...
Loading...