Skip to main content

Key Product Details

Species Reactivity

Mouse

Applications

Immunohistochemistry, Western Blot, Simple Western

Label

Unconjugated

Antibody Source

Recombinant Monoclonal Rabbit IgG Clone # 1243A

Product Specifications

Immunogen

E. coli-derived recombinant mouse NAC1
Val457-Gln514
Accession # Q7TS78

Specificity

Detects mouse NAC1 in direct ELISAs.

Clonality

Monoclonal

Host

Rabbit

Isotype

IgG

Scientific Data Images for Mouse NAC1 Antibody

Detection of Mouse NAC1 antibody by Western Blot.

Detection of Mouse NAC1 by Western Blot.

Western blot shows lysates of D3 mouse embryonic stem cell line, F9 mouse teratocarcinoma stem cells, and M1 mouse myeloid leukemia cell line. PVDF membrane was probed with 0.05 µg/mL of Rabbit Anti-Mouse NAC1 Monoclonal Antibody (Catalog # MAB8375) followed by HRP-conjugated Anti-Rabbit IgG Secondary Antibody (Catalog # HAF008). A specific band was detected for NAC1 at approximately 65-70 kDa (as indicated). This experiment was conducted under reducing conditions and using Immunoblot Buffer Group 1.
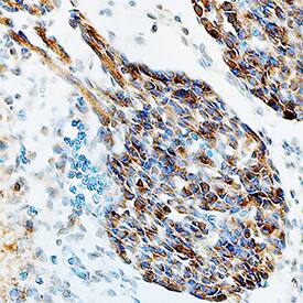
NAC1 antibody in Mouse Embryo by Immunohistochemistry (IHC-Fr).

NAC1 in Mouse Embryo.

NAC1 was detected in immersion fixed frozen sections of mouse embryo (13 d.p.c.) using Rabbit Anti-Mouse NAC1 Monoclonal Antibody (Catalog # MAB8375) at 5 µg/mL overnight at 4 °C. Tissue was stained using the Anti-Rabbit HRP-DAB Cell & Tissue Staining Kit (brown; Catalog # CTS005) and counterstained with hematoxylin (blue). Specific staining was localized to developing primary sensory neurons in dorsal root ganglia. View our protocol for Chromogenic IHC Staining of Frozen Tissue Sections.
Detection of Mouse NAC1 antibody by Simple WesternTM.

Detection of Mouse NAC1 by Simple WesternTM.

Simple Western lane view shows lysate of D3 mouse embryonic stem cell line, loaded at 0.2 mg/mL. A specific band was detected for NAC1 at approximately 69 kDa (as indicated) using 1 µg/mL of Rabbit Anti-Mouse NAC1 Monoclonal Antibody (Catalog # MAB8375). This experiment was conducted under reducing conditions and using the 12-230 kDa separation system.

Applications for Mouse NAC1 Antibody

Application
Recommended Usage

Immunohistochemistry

5-25 µg/mL
Sample: Immersion fixed frozen sections of mouse embryo (13 d.p.c.)

Simple Western

1 µg/mL
Sample: D3 mouse embryonic stem cell line

Western Blot

0.05 µg/mL
Sample: D3 mouse embryonic stem cell line, F9 mouse teratocarcinoma stem cells, and M1 mouse myeloid leukemia cell line

Formulation, Preparation, and Storage

Purification

Protein A or G purified from cell culture supernatant

Reconstitution

Reconstitute at 0.5 mg/mL in sterile PBS. For liquid material, refer to CoA for concentration.

Reconstitution Buffer Available:
Size / Price
Qty
Loading...

Formulation

Lyophilized from a 0.2 μm filtered solution in PBS with Trehalose. *Small pack size (SP) is supplied either lyophilized or as a 0.2 µm filtered solution in PBS.

Shipping

Lyophilized product is shipped at ambient temperature. Liquid small pack size (-SP) is shipped with polar packs. Upon receipt, store immediately at the temperature recommended below.

Stability & Storage

Use a manual defrost freezer and avoid repeated freeze-thaw cycles.
  • 12 months from date of receipt, -20 to -70 °C as supplied.
  • 1 month, 2 to 8 °C under sterile conditions after reconstitution.
  • 6 months, -20 to -70 °C under sterile conditions after reconstitution.

Background: NAC1

NAC1 (Nucleus Accumbens-associated Protein 1) also known as NACC1, is a 527 amino acid (aa) BTB/POZ domain containing protein. Human NAC1 shares 86% and 85% aa sequence identity with mouse and rat NAC1, respectively.  It has been shown to have a role in transcriptional regulation in both pluripotent stem cells and in the brain.  Additionally, NAC1 expression is upregulated in many cancers and this expression has been suggested to correlate with increased aggressiveness in some cancers.

Long Name

Nucleus Accumbens Associated 1

Alternate Names

BEND8, BTBD14B, BTBD30, NACC1

Entrez Gene IDs

112939 (Human); 66830 (Mouse); 171454 (Rat)

Gene Symbol

NACC1

UniProt

Additional NAC1 Products

Product Documents for Mouse NAC1 Antibody

Certificate of Analysis

To download a Certificate of Analysis, please enter a lot number in the search box below.

Note: Certificate of Analysis not available for kit components.

Product Specific Notices for Mouse NAC1 Antibody

For research use only

Loading...
Loading...
Loading...
Loading...