Mouse KLF4 Antibody
R&D Systems, part of Bio-Techne | Catalog # AF3158

Conjugate
Catalog #
Key Product Details
Validated by
Biological Validation
Species Reactivity
Validated:
Mouse
Cited:
Human, Mouse, Transgenic Mouse
Applications
Validated:
Immunohistochemistry, Western Blot, Immunocytochemistry, Chromatin Immunoprecipitation (ChIP)
Cited:
Immunohistochemistry, Immunohistochemistry-Paraffin, Western Blot, Flow Cytometry, Immunocytochemistry, Immunocytochemistry/ Immunofluorescence, Immunoprecipitation, Chromatin Immunoprecipitation (ChIP), ChIP (chromatin immunoprecipit, Co-Immunoprecipitation
Label
Unconjugated
Antibody Source
Polyclonal Goat IgG
Product Specifications
Immunogen
E. coli-derived recombinant mouse KLF4
Ala11-Phe483
Accession # Q60793
Ala11-Phe483
Accession # Q60793
Specificity
Detects mouse KLF4 in direct ELISAs and Western blots.
Clonality
Polyclonal
Host
Goat
Isotype
IgG
Scientific Data Images for Mouse KLF4 Antibody
Detection of KLF4-regulated Genes by Chromatin Immunoprecipitation.
D3 mouse embryonic stem cell line was fixed using formaldehyde, resuspended in lysis buffer, and sonicated to shear chromatin. KLF4/DNA complexes were immunoprecipitated using 5 µg Goat Anti-Mouse KLF4 Antigen Affinity-purified Polyclonal Antibody (Catalog # AF3158) or control antibody (AB-108-C) for 15 minutes in an ultrasonic bath, followed by Biotinylated Anti-Goat IgG Secondary Antibody (BAF109). Immunocomplexes were captured using 50 µL of MagCellect Streptavidin Ferrofluid (MAG999) and DNA was purified using chelating resin solution. TheB2Rpromoter was detected by standard PCR.KLF4 in D3 Mouse Cell Line.
KLF4 was detected in immersion fixed D3 mouse embryonic stem cell line using Mouse KLF4 Antigen Affinity-purified Polyclonal Antibody (Catalog # AF3158) at 10 µg/mL for 3 hours at room temperature. Cells were stained using the NorthernLights™ 557-conjugated Anti-Goat IgG Secondary Antibody (red; NL001) and counterstained with DAPI (blue). View our protocol for Fluorescent ICC Staining of Cells on Coverslips.KLF4 in Mouse Colon Tissue.
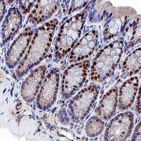
KLF4 was detected in perfusion fixed frozen sections of mouse colon tissue using Goat Anti-Mouse KLF4 Antigen Affinity-purified Polyclonal Antibody (Catalog # AF3158) at 1 µg/mL overnight at 4 °C. Before incubation with the primary antibody, tissue was subjected to heat-induced epitope retrieval using Antigen Retrieval Reagent-Basic (CTS013). Tissue was stained using the Anti-Goat IgG VisUCyte™ HRP Polymer Antibody (brown; VC004) and counterstained with hematoxylin (blue). Specific staining was localized to cell nuclei. View our protocol for IHC Staining with VisUCyte HRP Polymer Detection Reagents.Applications for Mouse KLF4 Antibody
Application
Recommended Usage
Chromatin Immunoprecipitation (ChIP)
5 µg/5 x 106 cells
Sample: D3 mouse embryonic stem cell line chromatin, B2R promoter detected by standard PCR.
Sample: D3 mouse embryonic stem cell line chromatin, B2R promoter detected by standard PCR.
Immunocytochemistry
5-15 µg/mL
Sample: Immersion fixed D3 mouse embryonic stem cell line
Sample: Immersion fixed D3 mouse embryonic stem cell line
Immunohistochemistry
1-25 µg/mL
Sample: Perfusion fixed frozen sections of mouse colon tissue
Sample: Perfusion fixed frozen sections of mouse colon tissue
Western Blot
0.1 µg/mL
Sample: Recombinant Mouse KLF4
Sample: Recombinant Mouse KLF4
Reviewed Applications
Read 4 reviews rated 4.5 using AF3158 in the following applications:
Formulation, Preparation, and Storage
Purification
Antigen Affinity-purified
Reconstitution
Reconstitute at 0.2 mg/mL in sterile PBS. For liquid material, refer to CoA for concentration.
Formulation
Lyophilized from a 0.2 μm filtered solution in PBS with Trehalose. *Small pack size (SP) is supplied either lyophilized or as a 0.2 µm filtered solution in PBS.
Shipping
Lyophilized product is shipped at ambient temperature. Liquid small pack size (-SP) is shipped with polar packs. Upon receipt, store immediately at the temperature recommended below.
Stability & Storage
Use a manual defrost freezer and avoid repeated freeze-thaw cycles.
- 12 months from date of receipt, -20 to -70 °C as supplied.
- 1 month, 2 to 8 °C under sterile conditions after reconstitution.
- 6 months, -20 to -70 °C under sterile conditions after reconstitution.
Background: KLF4
Long Name
Kruppel-Like Factor 4
Alternate Names
EZF
Entrez Gene IDs
9314 (Human)
Gene Symbol
KLF4
UniProt
Additional KLF4 Products
Product Documents for Mouse KLF4 Antibody
Product Specific Notices for Mouse KLF4 Antibody
For research use only
Loading...
Loading...
Loading...
Loading...
Loading...