Skip to main content

Key Product Details

Species Reactivity

Validated:

Mouse

Cited:

Human

Applications

Validated:

Immunohistochemistry, Western Blot, Simple Western

Cited:

Immunohistochemistry-Paraffin

Label

Unconjugated

Antibody Source

Monoclonal Rat IgG2B Clone # 201002

Product Specifications

Immunogen

E. coli-derived recombinant mouse Galectin-1
Ala2-Glu135
Accession # P16045

Specificity

Detects mouse Galectin-1 in direct ELISAs and Western blots. In direct ELISAs, approximately 50% cross-reactivity with recombinant human (rh) Galectin-1 is observed, and no cross-reactivity with rhGalectin-2, recombinant mouse (rm) Galectin-3, rmGalectin‑4, rmGalectin‑7, or rhGalectin‑8 is observed.

Clonality

Monoclonal

Host

Rat

Isotype

IgG2B

Scientific Data Images for Mouse Galectin-1 Antibody

Detection of Mouse Galectin-1 by Simple WesternTM.

Simple Western lane view shows lysates of C2C12 mouse myoblast cell line, loaded at 0.2 mg/mL. A specific band was detected for Galectin-1 at approximately 18 kDa (as indicated) using 50 µg/mL of Rat Anti-Mouse Galectin-1 Monoclonal Antibody (Catalog # MAB12451) followed by 1:50 dilution of HRP-conjugated Anti-Rat IgG Secondary Antibody (Catalog # HAF005). This experiment was conducted under reducing conditions and using the 12-230kDa separation system.

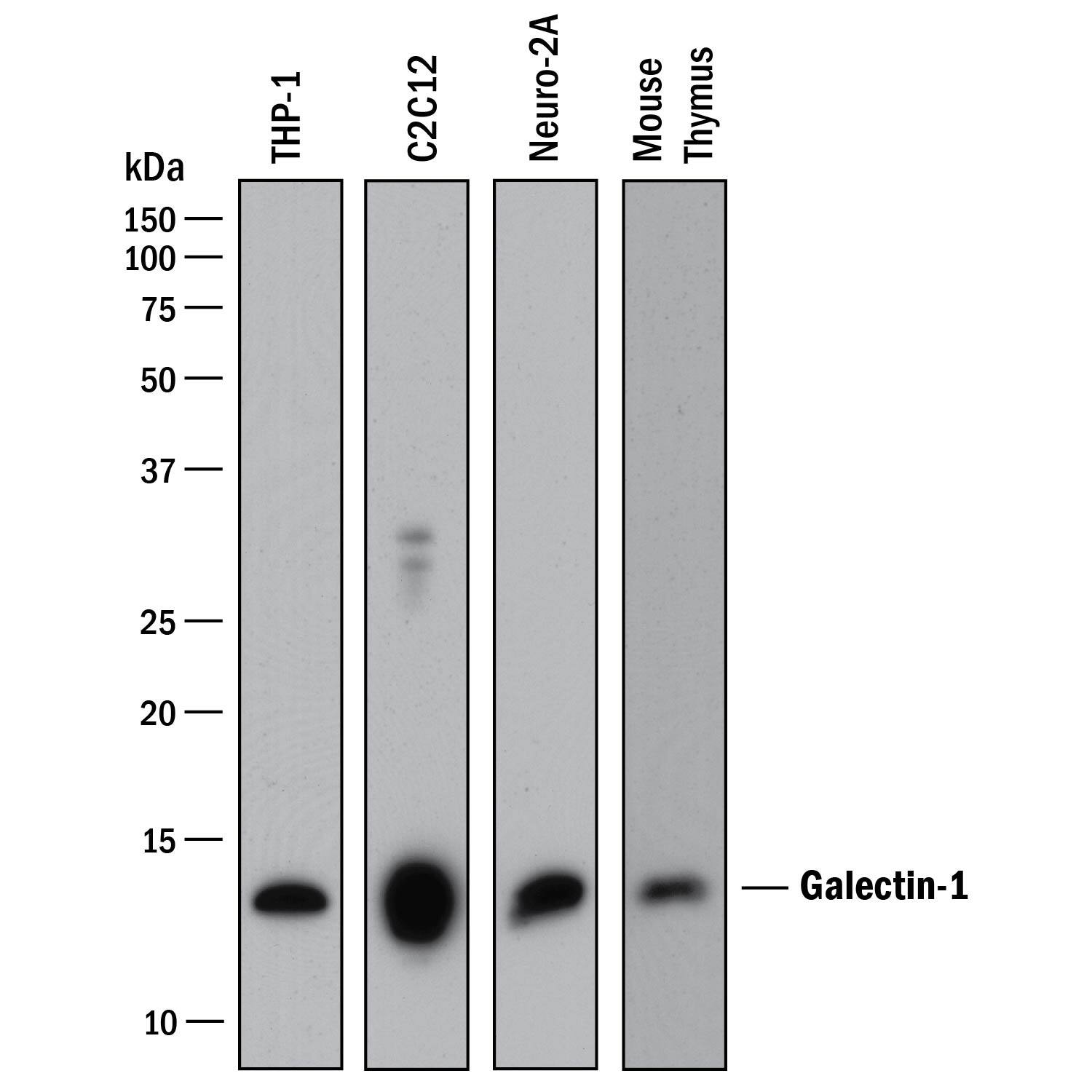
Detection of Mouse Galectin-1 by Western Blot.

Western blot shows lysates of THP-1 human acute monocytic leukemia cells, C2C12 mouse myoblast cells, Neuro-2A mouse neuroblastoma cells and Mouse Thymus. PVDF membrane was probed with 0.1 µg/mL of Rat Anti-Mouse Galectin-1 Monoclonal Antibody (Catalog # MAB12451) followed by HRP-conjugated Anti-Rat IgG Secondary Antibody (Catalog # HAF005). A specific band was detected for Galectin-1 at approximately 14 kDa (as indicated). This experiment was conducted under reducing conditions and using Western Blot Buffer Group 1.

Applications for Mouse Galectin-1 Antibody

Application
Recommended Usage

Immunohistochemistry

8-25 µg/mL
Sample: Perfusion fixed frozen sections of mouse thymus

Simple Western

50 µg/mL
Sample: C2C12 mouse myoblast cell line

Western Blot

0.1 µg/mL
Sample: THP-1 human acute monocytic leukemia cells, C2C12 mouse myoblast cells, Neuro-2A mouse neuroblastoma cells and Mouse Thymus

Formulation, Preparation, and Storage

Purification

Protein A or G purified from hybridoma culture supernatant

Reconstitution

Reconstitute at 0.5 mg/mL in sterile PBS. For liquid material, refer to CoA for concentration.

Reconstitution Buffer Available:
Size / Price
Qty
Loading...

Formulation

Lyophilized from a 0.2 μm filtered solution in PBS with Trehalose. *Small pack size (SP) is supplied either lyophilized or as a 0.2 µm filtered solution in PBS.

Shipping

Lyophilized product is shipped at ambient temperature. Liquid small pack size (-SP) is shipped with polar packs. Upon receipt, store immediately at the temperature recommended below.

Stability & Storage

Use a manual defrost freezer and avoid repeated freeze-thaw cycles.
  • 12 months from date of receipt, -20 to -70 °C as supplied.
  • 1 month, 2 to 8 °C under sterile conditions after reconstitution.
  • 6 months, -20 to -70 °C under sterile conditions after reconstitution.

Background: Galectin-1

The galectins constitute a large family of carbohydrate-binding proteins with specificity for N-acetyl-lactosamine-containing glycoproteins. At least 14 mammalian galectins, which share structural similarities in their carbohydrate recognition domains (CRD), have been identified to date. The galectins have been classified into the prototype galectins (-1, -2, -5, -7, -10, -11, -13, -14), which contain one CRD and exist either as a monomer or a noncovalent homodimer; the chimera galectins (Galectin-3) containing one CRD linked to a nonlectin domain; and the tandem-repeat galectins (-4, -6, -8, -9, -12) consisting of two CRDs joined by a linker peptide. Galectins lack a classical signal peptide and can be localized to the cytosolic compartments where they have intracellular functions. However, via one or more as yet unidentified non-classical secretory pathways, galectins can also be secreted to function extracellularly. Individual members of the galectin family have different tissue distribution profiles and exhibit subtle differences in their carbohydrate-binding specificities. Each family member may preferentially bind to a unique subset of cell-surface glycoproteins (1-4). Mouse Galectin-1, also known as beta-galactoside-binding lectin L-14-I, lactose-binding lectin 1, S-Lac lectin 1, galaptin and 14 kDa lectin, is a monomeric or homodimeric prototype galectin that is expressed in a variety of cells and tissues including muscle, heart, lymph nodes, spleen, thymus, macrophages, B cells, T cells, dendritic cells, and tumor cells. It preferentially binds laminin, fibronectin, 90K/Mac-2BP, CD45, CD43, CD7, CD2, CD3, and ganglioside GM1. Galectin-1 modulates cell growth, proliferation and differentiation, either positively or negatively, depending on the cell type and activation status. It controls cell survival by inducing apoptosis of activated T cells and immature thymocytes. It modulates cytokine secretion by inducing Th2 type cytokines and inhibiting pro-inflammatory cytokine production. Galectin-1 can also modulate cell-cell as well as cell-matrix interactions and depending on the cell type and developmental stage, promote cell attachment or detachment. Galectin-1 has immunosuppressive and anti-inflammatory properties and has been shown to suppress acute and chronic inflammation and autoimmunity. Mouse and human Galectin-1 share about 88% amino acid sequence similarity (1-5).

References

  1. Rabinovich, A. et al. (2002) Trends in Immunol. 23:313.
  2. Rabinovich, A. et al. (2002) J. Leukocyte Biology 71:741.
  3. Hughes, R.C. (2001) Biochimie 83:667.
  4. R&D Systems’ Cytokine Bulletin; Summer 2002.
  5. Goldring, K. et al. (2002) J. Cell Science 115:355.

Alternate Names

BHL, Galaptin, Galectin1, GBP, L-14, LGALS1

Entrez Gene IDs

3956 (Human); 16852 (Mouse)

Gene Symbol

LGALS1

UniProt

Additional Galectin-1 Products

Product Documents for Mouse Galectin-1 Antibody

Certificate of Analysis

To download a Certificate of Analysis, please enter a lot number in the search box below.

Note: Certificate of Analysis not available for kit components.

Product Specific Notices for Mouse Galectin-1 Antibody

For research use only

Loading...
Loading...
Loading...
Loading...