Skip to main content

Mouse CD45 Biotinylated Antibody

R&D Systems, part of Bio-Techne | Catalog # BAM114

Key Product Details

Species Reactivity

Mouse

Applications

Immunohistochemistry, Flow Cytometry, Immunoprecipitation, Complement-dependent Cytotoxicity

Label

Biotin

Antibody Source

Monoclonal Rat IgG2B Clone # 30-F11

Product Specifications

Immunogen

Mouse thymus or spleen

Specificity

Detects mouse CD45. Detects both alloantigens and all isoforms of CD45.

Clonality

Monoclonal

Host

Rat

Isotype

IgG2B

Endotoxin Level

<0.10 EU per 1 μg of the antibody by the LAL method.

Scientific Data Images for Mouse CD45 Biotinylated Antibody

Detection of CD45 antibody in Mouse Splenocytes antibody by Flow Cytometry.

Detection of CD45 in Mouse Splenocytes by Flow Cytometry.

Mouse splenocytes were stained with Rat Anti-Mouse CD45 Biotinylated Monoclonal Antibody (Catalog # BAM114, filled histogram) or isotype control antibody (Catalog # IC013B, open histogram), followed by Streptavidin-Allophycocyanin (Catalog # F0050). View our protocol for Staining Membrane-associated Proteins.
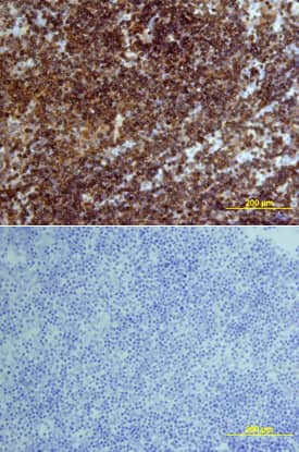
CD45 antibody in Mouse Thymus by Immunohistochemistry (IHC-Fr).

CD45 in Mouse Thymus.

CD45 was detected in perfusion fixed frozen sections of mouse thymus using Rat Anti-Mouse CD45 Biotinylated Monoclonal Antibody (Catalog # BAM114) at 25 µg/mL overnight at 4 °C. Tissue was stained using the Anti-Rat HRP-DAB Cell & Tissue Staining Kit (brown; Catalog # CTS017) and counterstained with hematoxylin (blue). Lower panel shows a lack of labeling if primary antibodies are omitted and tissue is stained only with secondary antibody followed by incubation with detection reagents. View our protocol for Chromogenic IHC Staining of Frozen Tissue Sections.

Applications for Mouse CD45 Biotinylated Antibody

Application
Recommended Usage

Complement-dependent Cytotoxicity

Ledbetter, J.A. and L.A. Herzenberg (1979) Immunol. Rev. 47:63.

Flow Cytometry

0.25 µg/106 cells
Sample: Mouse splenocytes

Immunohistochemistry

8-25 µg/mL
Sample: Perfusion fixed frozen sections of mouse thymus

Immunoprecipitation

Ledbetter, J.A. and L.A. Herzenberg (1979) Immunol. Rev. 47:63.

Formulation, Preparation, and Storage

Purification

Protein A or G purified from hybridoma culture supernatant

Reconstitution

Reconstitute at 0.5 mg/mL in sterile PBS.

Reconstitution Buffer Available:
Size / Price
Qty
Loading...

Formulation

Lyophilized from a 0.2 μm filtered solution in PBS with BSA as a carrier protein.

Shipping

The product is shipped at ambient temperature. Upon receipt, store it immediately at the temperature recommended below.

Stability & Storage

Use a manual defrost freezer and avoid repeated freeze-thaw cycles.
  • 12 months from date of receipt, -20 to -70 °C as supplied.
  • 1 month, 2 to 8 °C under sterile conditions after reconstitution.
  • 6 months, -20 to -70 °C under sterile conditions after reconstitution.

Background: CD45

CD45, previously called LCA (leukocyte common antigen), T200, or Ly5 in mouse, is member C of the class 1 (receptor-like) protein tyrosine phosphatase family (PTPRC) (1, 2). It is a variably glycosylated 180‑220 kDa transmembrane protein that is abundantly expressed on all nucleated cells of hematopoietic origin (1‑3). CD45 has several isoforms, expressed according to cell type, developmental stage and antigenic exposure (1‑5). The longest form, CD45RABC (called B220 in mouse), is expressed on B lymphocytes (5). The mouse CD45RABC cDNA encodes 1291 amino acids (aa), including a 23 aa signal sequence, a 541 aa extracellular domain containing the splicing region, a cysteine-rich region and two fibronectin type III domains, a 22 aa transmembrane sequence, and a 705 aa cytoplasmic domain that contains two phosphatase domains, D1 and D2. Only D1 has phosphatase activity. CD45R0 is the shortest form, lacking exons 4, 5 and 6 which encode aa 30‑169. It is expressed on memory cells, while intermediate sizes are expressed on other T cells (3, 4, 6). CD45 has been best studied in T cells, where it determines T cell receptor signaling thresholds (3, 6‑8). CD45 is moved into or out of the immunological synapse (IS) membrane microdomain depending on the relative influence of interaction with the extracellular galectin lattice or the intracellular actin cytoskeleton (9, 10). Galectin interaction can be fine-tuned by varying usage of the heavily O-glycosylated spliced regions and sialylation of N-linked carbohydrates (4, 9). Within the IS, CD45 dephosphorylates and negatively regulates the src family kinase, LCK (8‑10). In other leukocytes, CD45 influences differentiation and links immunoreceptor signaling with cytokine secretion and cell survival, partially overlapping in function with DEP-1/CD148 (11‑14). CD45 deletion causes in severe immunodeficiency, while point mutations may be associated with autoimmune disorders (6, 7).

References

  1. Anderson, J.N. et al. (2004) FASEB J. 18:8.
  2. Streuli, M. et al. (1987) J. Exp. Med. 166:1548.
  3. Hermiston, M.L. et al. (2003) Annu. Rev. Immunol. 21:107.
  4. Earl, L.A. and L.G. Baum (2008) Immunol. Cell Biol. 86:608.
  5. Ralph, S.J. et al. (1987) EMBO J. 6:1251.
  6. Falahti, R. and D. Leitenberg (2008) J. Immunol. 181:6082.
  7. Tchilian, E.Z. and P.C.L. Beverley (2006) Trends Immunol. 27:146.
  8. McNiell, L. et al. (2007) Immunity 27:425.
  9. Chen, I-J. et al. (2007) J. Biol. Chem. 282:35361.
  10. Freiberg, B.A. et al. (2002) Nat. Immunol. 3:911.
  11. Zhu, J.W. et al. (2008) Immunity 28:183.
  12. Huntington, N.D. et al. (2006) Nat. Immunol. 7:190.
  13. Hesslein, D.G. et al. (2006) Proc. Natl. Acad. Sci. USA 103:7012.
  14. Cross, J.L. et al. (2008) J. Immunol. 180:8020.

Long Name

Cluster of Differentiation 45

Alternate Names

CD45, LCA, PTPRC, T200 Glycoprotein

Entrez Gene IDs

5788 (Human); 19264 (Mouse); 490255 (Canine); 100061950 (Equine)

Gene Symbol

PTPRC

Additional CD45 Products

Product Documents for Mouse CD45 Biotinylated Antibody

Certificate of Analysis

To download a Certificate of Analysis, please enter a lot number in the search box below.

Note: Certificate of Analysis not available for kit components.

Product Specific Notices for Mouse CD45 Biotinylated Antibody

For research use only

Loading...
Loading...
Loading...
Loading...
Loading...
Loading...