Skip to main content

Mouse CD45 Antibody

R&D Systems, part of Bio-Techne | Catalog # MAB114

Key Product Details

Species Reactivity

Validated:

Mouse

Cited:

Human, Mouse, Porcine, Transgenic Mouse

Applications

Validated:

Multiplex Immunofluorescence, Immunohistochemistry, Flow Cytometry, Immunocytochemistry, Immunoprecipitation, Complement-dependent Cytotoxicity, CyTOF-reported

Cited:

Immunohistochemistry, Immunohistochemistry-Frozen, Western Blot, Flow Cytometry, Immunocytochemistry

Label

Unconjugated

Antibody Source

Monoclonal Rat IgG2B Clone # 30-F11

Product Specifications

Immunogen

Mouse thymus and spleen cells

Specificity

Detects mouse CD45. Recognizes all CD45 isoforms as well as the known mouse CD45 alloantigens (CD45-1/Ly 5a and CD45-2/Ly 5b) (15).

Clonality

Monoclonal

Host

Rat

Isotype

IgG2B

Endotoxin Level

<0.10 EU per 1 μg of the antibody by the LAL method.

Scientific Data Images for Mouse CD45 Antibody

Detection of CD45 in Frozen Mouse Spleen via seqIF™ staining on COMET™​

CD45 was detected in perfusion fixed-frozen sections of mouse Spleen using Rat Anti-Mouse CD45, Monoclonal Antibody (Catalog # MAB114) at 8ug/mL at 37° Celsius for 4 minutes. Before incubation with the primary antibody, tissue underwent preprocessing by incubating tissue with Multi Staining Buffer (Lunaphore Catalog #BU06) for 5 minutes at room temperature followed by a 20-minute incubation in Tris-Buffered Saline + 0.2%Triton at room temperature. Tissue was stained using the Alexa Fluor™ 647 Goat anti-Rat IgG Secondary Antibody at 1:200 at 37 ° Celsius for 2 minutes. (Yellow; Lunaphore Catalog # DR647RT) and counterstained with DAPI (blue; Lunaphore Catalog # DR100). Specific staining was localized to the membrane. Protocol available in COMET™ Panel Builder.

CD45 in Mouse Splenocytes.

CD45 was detected in immersion fixed mouse splenocytes (positive staining) and Neuro-2A mouse neuroblastoma cell line (negative staining) using Rat Anti-Mouse CD45 Monoclonal Antibody (Catalog # MAB114) at 3 µg/mL for 3 hours at room temperature. Cells were stained using the NorthernLights™ 557-conjugated Anti-Rat IgG Secondary Antibody (red; NL013) and counterstained with DAPI (blue). Specific staining was localized to cell surface. Staining was performed using our protocol for Fluorescent ICC Staining of Non-adherent Cells.

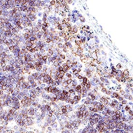
CD45 in Mouse Spleen.

CD45 was detected in immersion fixed paraffin-embedded sections of mouse spleen using Rat Anti-Mouse CD45 Monoclonal Antibody (Catalog # MAB114) at 5 µg/mL for 1 hour at room temperature followed by incubation with the Anti-Rat IgG VisUCyte™ HRP Polymer Antibody (VC005). Before incubation with the primary antibody, tissue was subjected to heat-induced epitope retrieval using Antigen Retrieval Reagent-Basic (CTS013). Tissue was stained using DAB (brown) and counterstained with hematoxylin (blue). Specific staining was localized to cell surface in lymphocytes. Staining was performed using our protocol for IHC Staining with VisUCyte HRP Polymer Detection Reagents.

Applications for Mouse CD45 Antibody

Application
Recommended Usage

Complement-dependent Cytotoxicity

Ledbetter, J.A. and L.A. Herzenberg (1979) Immunol. Rev. 47:63.

CyTOF-reported

Lee, H. et al. (2015) Mucosal Immunol. 8: 1083. Ready to be labeled using established conjugation methods. No BSA or other carrier proteins that could interfere with conjugation.

Flow Cytometry

2.5 µg/106 cells
Sample: Mouse splenocytes

Immunocytochemistry

3-25 µg/mL
Sample: Immersion fixed mouse splenocytes

Immunohistochemistry

5-25 µg/mL
Sample: Immersion fixed paraffin-embedded sections of mouse spleen

Immunoprecipitation

Ledbetter, J.A. and L.A. Herzenberg (1979) Immunol. Rev. 47:63.

Multiplex Immunofluorescence

8 µg/mL
Sample: Immersion fixed paraffin-embedded sections of mouse spleen

Formulation, Preparation, and Storage

Purification

Protein A or G purified from hybridoma culture supernatant

Reconstitution

Reconstitute at 0.5 mg/mL in sterile PBS. For liquid material, refer to CoA for concentration.

Reconstitution Buffer Available:
Size / Price
Qty
Loading...

Formulation

Lyophilized from a 0.2 μm filtered solution in PBS with Trehalose. See Certificate of Analysis for details.
*Small pack size (-SP) is supplied either lyophilized or as a 0.2 µm filtered solution in PBS.

Shipping

Lyophilized product is shipped at ambient temperature. Liquid small pack size (-SP) is shipped with polar packs. Upon receipt, store immediately at the temperature recommended below.

Stability & Storage

Use a manual defrost freezer and avoid repeated freeze-thaw cycles.
  • 12 months from date of receipt, -20 to -70 °C as supplied.
  • 1 month, 2 to 8 °C under sterile conditions after reconstitution.
  • 6 months, -20 to -70 °C under sterile conditions after reconstitution.

Background: CD45

CD45, previously called LCA (leukocyte common antigen), T200, or Ly5 in mouse, is member C of the class 1 (receptor-like) protein tyrosine phosphatase family (PTPRC) (1, 2). It is a variably glycosylated 180‑220 kDa transmembrane protein that is abundantly expressed on all nucleated cells of hematopoietic origin (1‑3). CD45 has several isoforms, expressed according to cell type, developmental stage and antigenic exposure (1‑5). The longest form, CD45RABC (called B220 in mouse), is expressed on B lymphocytes (5). The mouse CD45RABC cDNA encodes 1291 amino acids (aa), including a 23 aa signal sequence, a 541 aa extracellular domain containing the splicing region, a cysteine-rich region and two fibronectin type III domains, a 22 aa transmembrane sequence, and a 705 aa cytoplasmic domain that contains two phosphatase domains, D1 and D2. Only D1 has phosphatase activity. CD45R0 is the shortest form, lacking exons 4, 5 and 6 which encode
aa 30‑169. It is expressed on memory cells, while intermediate sizes are expressed on other T cells (3, 4, 6). CD45 has been best studied in T cells, where it determines T cell receptor signaling thresholds (3, 6‑8). CD45 is moved into or out of the immunological synapse (IS) membrane microdomain depending on the relative influence of interaction with the extracellular galectin lattice or the intracellular actin cytoskeleton (9, 10). Galectin interaction can be fine-tuned by varying usage of the heavily O-glycosylated spliced regions and sialylation of N-linked carbohydrates (4, 9). Within the IS, CD45 dephosphorylates and negatively regulates the src family kinase, LCK (8‑10). In other leukocytes, CD45 influences differentiation and links immunoreceptor signaling with cytokine secretion and cell survival, partially overlapping in function with DEP-1/CD148 (11‑14). CD45 deletion causes in severe immunodeficiency, while point mutations may be associated with autoimmune disorders (6, 7).

References

  1. Anderson, J.N. et al. (2004) FASEB J. 18:8.
  2. Streuli, M. et al. (1987) J. Exp. Med. 166:1548.
  3. Hermiston, M.L. et al. (2003) Annu. Rev. Immunol. 21:107.
  4. Earl, L.A. and L.G. Baum (2008) Immunol. Cell Biol. 86:608.
  5. Ralph, S.J. et al. (1987) EMBO J. 6:1251.
  6. Falahti, R. and D. Leitenberg (2008) J. Immunol. 181:6082.
  7. Tchilian, E.Z. and P.C.L. Beverley (2006) Trends Immunol. 27:146.
  8. McNiell, L. et al. (2007) Immunity 27:425.
  9. Chen, I-J. et al. (2007) J. Biol. Chem. 282:35361.
  10. Freiberg, B.A. et al. (2002) Nat. Immunol. 3:911.
  11. Zhu, J.W. et al. (2008) Immunity 28:183.
  12. Huntington, N.D. et al. (2006) Nat. Immunol. 7:190.
  13. Hesslein, D.G. et al. (2006) Proc. Natl. Acad. Sci. USA 103:7012.
  14. Cross, J.L. et al. (2008) J. Immunol. 180:8020.
  15. Ledbetter, J.A. and L.A. Herzenberg (1979) Immunol. Rev. 47:63.

Long Name

Cluster of Differentiation 45

Alternate Names

CD45, LCA, PTPRC, T200 Glycoprotein

Entrez Gene IDs

5788 (Human); 19264 (Mouse); 490255 (Canine); 100061950 (Equine)

Gene Symbol

PTPRC

Additional CD45 Products

Product Documents for Mouse CD45 Antibody

Certificate of Analysis

To download a Certificate of Analysis, please enter a lot number in the search box below.

Note: Certificate of Analysis not available for kit components.

Product Specific Notices for Mouse CD45 Antibody

For research use only

Loading...
Loading...
Loading...
Loading...
Loading...
Loading...