Mouse CD39L3/ENTPD3 Antibody
R&D Systems, part of Bio-Techne | Catalog # AF4464
Conjugate
Catalog #
Key Product Details
Species Reactivity
Validated:
Mouse
Cited:
Mouse
Applications
Validated:
Western Blot, Simple Western, Immunoprecipitation
Cited:
Western Blot
Label
Unconjugated
Antibody Source
Polyclonal Sheep IgG
Product Specifications
Immunogen
Chinese hamster ovary cell line CHO-derived recombinant mouse CD39L3/ENTPD3
Gln44-Pro485
Accession # AAH79871
Gln44-Pro485
Accession # AAH79871
Specificity
Detects mouse CD39L3/ENTPD3 in direct ELISAs and Western blots. In direct ELISAs, approximately 30% cross‑reactivity with recombinant human CD39L3 is observed.
Clonality
Polyclonal
Host
Sheep
Isotype
IgG
Scientific Data Images for Mouse CD39L3/ENTPD3 Antibody
Detection of Mouse CD39L3/ENTPD3 by Simple WesternTM.
Simple Western lane view shows lysates of Neuro-2A mouse neuroblastoma cell line, loaded at 0.2 mg/mL. A specific band was detected for CD39L3/ENTPD3 at approximately 127 kDa (as indicated) using 20 µg/mL of Sheep Anti-Mouse CD39L3/ENTPD3 Antigen Affinity-purified Polyclonal Antibody (Catalog # AF4464) . This experiment was conducted under reducing conditions and using the 12-230kDa separation system.Detection of Mouse CD39L3/ENTPD3 by Western Blot.
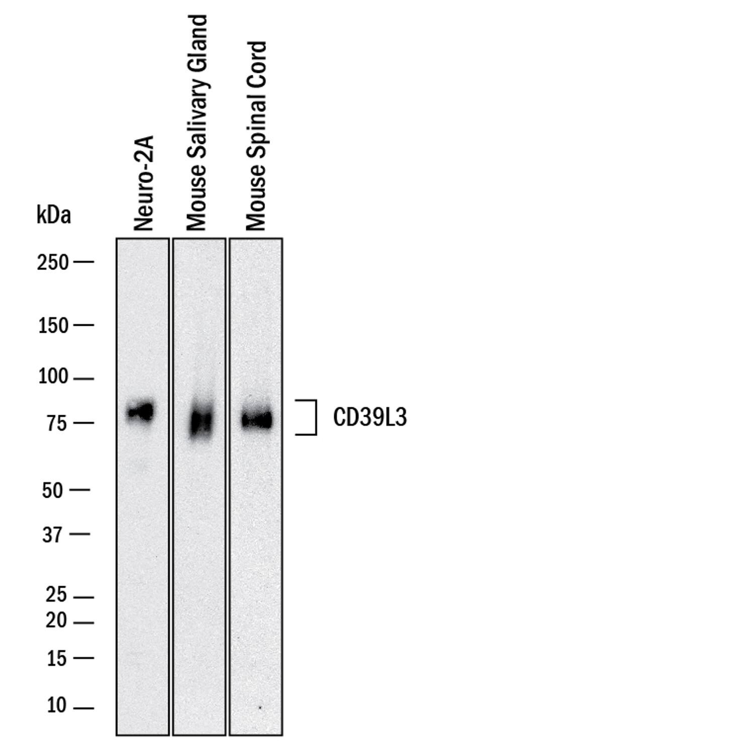
Western blot shows lysates of Neuro-2A mouse neuroblastoma cell line, mouse salivary gland, and mouse spinal cord. PVDF membrane was probed with 0.5 µg/mL of Sheep Anti-Mouse CD39L3/ENTPD3 Antigen Affinity-purified Polyclonal Antibody (Catalog # AF4464) followed by HRP-conjugated Anti-Sheep IgG Secondary Antibody (Catalog # HAF016). A specific band was detected for CD39L3/ENTPD3 at approximately 75-80 kDa (as indicated). This experiment was conducted under reducing conditions and using Western Blot Buffer Group 1.Applications for Mouse CD39L3/ENTPD3 Antibody
Application
Recommended Usage
Immunoprecipitation
25 µg/mL
Sample: Conditioned cell culture medium spiked with Recombinant Mouse CD39L3/ENTPD3 (Catalog # 4464-EN), see our available Western blot detection antibodies
Sample: Conditioned cell culture medium spiked with Recombinant Mouse CD39L3/ENTPD3 (Catalog # 4464-EN), see our available Western blot detection antibodies
Simple Western
20 µg/mL
Sample: Neuro-2A mouse neuroblastoma cell line
Sample: Neuro-2A mouse neuroblastoma cell line
Western Blot
0.5 µg/mL
Sample: Neuro-2A mouse neuroblastoma cell line, mouse salivary gland, and mouse spinal cord.
Sample: Neuro-2A mouse neuroblastoma cell line, mouse salivary gland, and mouse spinal cord.
Formulation, Preparation, and Storage
Purification
Antigen Affinity-purified
Reconstitution
Reconstitute at 0.2 mg/mL in sterile PBS. For liquid material, refer to CoA for concentration.
Formulation
Lyophilized from a 0.2 μm filtered solution in PBS with Trehalose. *Small pack size (SP) is supplied either lyophilized or as a 0.2 µm filtered solution in PBS.
Shipping
Lyophilized product is shipped at ambient temperature. Liquid small pack size (-SP) is shipped with polar packs. Upon receipt, store immediately at the temperature recommended below.
Stability & Storage
Use a manual defrost freezer and avoid repeated freeze-thaw cycles.
- 12 months from date of receipt, -20 to -70 °C as supplied.
- 1 month, 2 to 8 °C under sterile conditions after reconstitution.
- 6 months, -20 to -70 °C under sterile conditions after reconstitution.
Background: CD39L3/ENTPD3
CD39L3 (CD39-like 3; also HB6 and ectonucleoside triphosphate diphosphohydrolase-3/eNTPDase 3) is an 80 kDa, class I member of the GDA1/CD39 NTPase family of transmembrane (TM) enzymes. It is a cell surface glycoprotein that hydrolyses both extracellular ATP and ADP. Thus, it controls ATP activation of P2X ion channel purinoreceptors. Mouse CD39L3 is 529 amino acids (aa) in length. It contains two TM segments plus an N- and C-terminal cytoplasmic region. Based on human CD39L3, the mouse extracellular domain (ECD) will contain aa 44-485. Within the ECD, mouse CD39L3 shares 82% and 94% aa identity with human and rat CD39L3 ECD, respectively.
Long Name
Ecto-Nucleoside Triphosphate Diphosphohydrolase 3
Alternate Names
ATPDase, CD39L3, ENTPD3, HB6, NTPDase-3
Gene Symbol
ENTPD3
UniProt
Additional CD39L3/ENTPD3 Products
Product Documents for Mouse CD39L3/ENTPD3 Antibody
Product Specific Notices for Mouse CD39L3/ENTPD3 Antibody
For research use only
Loading...
Loading...
Loading...
Loading...