Skip to main content

Mouse CD133 Antibody

R&D Systems, part of Bio-Techne | Catalog # MAB11332

R&D Systems, part of Bio-Techne

Key Product Details

Species Reactivity

Mouse

Applications

Immunohistochemistry, Flow Cytometry, CyTOF-ready

Label

Unconjugated

Antibody Source

Monoclonal Rat IgG2B Clone # 217106

Product Specifications

Immunogen

Chinese hamster ovary cell line CHO-derived recombinant mouse CD133
Accession # O54990

Specificity

Detects mouse CD133 in direct ELISAs.

Clonality

Monoclonal

Host

Rat

Isotype

IgG2B

Scientific Data Images for Mouse CD133 Antibody

Detection of CD133 antibody in D3 Mouse Cells antibody by Flow Cytometry.

Detection of CD133 in D3 Mouse Cells by Flow Cytometry.

D3 mouse cells were stained with Rat Anti-Mouse CD133 Monoclonal Antibody (Catalog # MAB11332, filled histogram) or isotype control antibody (Catalog # MAB0061, open histogram), followed by Phycoerythrin-conjugated Anti-Rat IgG Secondary Antibody (Catalog # F0105B). View our protocol for Staining Membrane-associated Proteins.
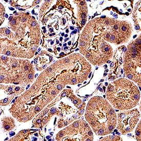
CD133 antibody in Mouse Kidney by Immunohistochemistry (IHC-Fr).

CD133 in Mouse Kidney.

CD133 was detected in perfusion fixed frozen sections of mouse kidney using Rat Anti-Mouse CD133 Monoclonal Antibody (Catalog # MAB11332) at 15 µg/mL for 1 hour at room temperature followed by incubation with the Anti-Rat IgG VisUCyte™ HRP Polymer Antibody (Catalog # VC005). Before incubation with the primary antibody, tissue was subjected to heat-induced epitope retrieval using Antigen Retrieval Reagent-Basic (Catalog # CTS013). Tissue was stained using DAB (brown) and counterstained with hematoxylin (blue). Specific staining was localized to cell surface in epithelial cells in convoluted tubules. View our protocol for IHC Staining with VisUCyte HRP Polymer Detection Reagents.

Applications for Mouse CD133 Antibody

Application
Recommended Usage

CyTOF-ready

Ready to be labeled using established conjugation methods. No BSA or other carrier proteins that could interfere with conjugation.

Flow Cytometry

0.25 µg/106 cells
Sample: D3 Mouse Cell Line

Immunohistochemistry

5-25 µg/mL
Sample: Perfusion fixed frozen sections of mouse kidney

Formulation, Preparation, and Storage

Purification

Protein A or G purified from hybridoma culture supernatant

Reconstitution

Reconstitute at 0.5 mg/mL in sterile PBS. For liquid material, refer to CoA for concentration.

Reconstitution Buffer Available:
Size / Price
Qty
Loading...

Formulation

Lyophilized from a 0.2 μm filtered solution in PBS with Trehalose. *Small pack size (SP) is supplied either lyophilized or as a 0.2 µm filtered solution in PBS.

Shipping

Lyophilized product is shipped at ambient temperature. Liquid small pack size (-SP) is shipped with polar packs. Upon receipt, store immediately at the temperature recommended below.

Stability & Storage

Use a manual defrost freezer and avoid repeated freeze-thaw cycles.
  • 12 months from date of receipt, -20 to -70 °C as supplied.
  • 1 month, 2 to 8 °C under sterile conditions after reconstitution.
  • 6 months, -20 to -70 °C under sterile conditions after reconstitution.

Background: CD133

Mouse Prominin-1 (also known as CD133) is a 867 aminoacids glycoprotein encoded by the PROM1 gene. Prominin-1 is a member of pentaspan transmembrane glycoproteins (5-transmembrane, 5-TM. In human, Prom-1 is expressed on primitive hematopoietic stem and progenitor cells, retinoblastoma, hemangioblasts, and neural stem cells as well as on developing epithelium. In Mouse, at least 7 different isoforms have been proposed. Human and mouse PROM-1 share only 61% aminoacid sequence identity.

Alternate Names

AC133, CD133, PROM1, Prominin 1, PROML1

Entrez Gene IDs

8842 (Human); 19126 (Mouse)

Gene Symbol

PROM1

UniProt

Additional CD133 Products

Product Documents for Mouse CD133 Antibody

Certificate of Analysis

To download a Certificate of Analysis, please enter a lot number in the search box below.

Note: Certificate of Analysis not available for kit components.

Product Specific Notices for Mouse CD133 Antibody

For research use only

Loading...
Loading...
Loading...
Loading...
Loading...