Skip to main content

Mouse CD11c Antibody

R&D Systems, part of Bio-Techne | Catalog # MAB69501

R&D Systems, part of Bio-Techne

Key Product Details

Species Reactivity

Validated:

Mouse

Cited:

Mouse

Applications

Validated:

Immunohistochemistry, Flow Cytometry, CyTOF-reported

Cited:

Immunohistochemistry, Flow Cytometry, FACS

Label

Unconjugated

Antibody Source

Monoclonal Hamster IgG Clone # N418

Product Specifications

Immunogen

Mouse spleen dendritic cells

Specificity

Detects mouse CD11c.

Clonality

Monoclonal

Host

Hamster

Isotype

IgG

Scientific Data Images for Mouse CD11c Antibody

Detection of CD11c antibody in Mouse Splenocytes antibody by Flow Cytometry.

Detection of CD11c in Mouse Splenocytes by Flow Cytometry.

Mouse splenocytes were stained with Hamster Anti-Mouse CD11c Monoclonal Antibody (Catalog # MAB69501) followed by Phycoerythrin-conjugated Anti-Hamster IgG Secondary Antibody (F0120) and Rat Anti-Mouse MHC class II (I-A/I-E) APC-conjugated Monoclonal Antibody (FAB6118A). Quadrant markers were set based on normal hamster IgG control antibody staining.

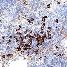
Detection of CD11c in Mouse Spleen.

CD11c was detected in immersion fixed paraffin-embedded sections of mouse spleen using Hamster Anti-Mouse CD11c Monoclonal Antibody (Catalog # MAB69501) at 25 µg/ml overnight at 4 °C. Before incubation with the primary antibody, tissue was subjected to heat-induced epitope retrieval using VisUCyte Antigen Retrieval Reagent-Basic (Catalog # VCTS021). Tissue was stained using the Mouse Anti-Hamster IgG Antibody (Catalog #MAB011) followed by the HRP-conjugated Anti-Mouse IgG Secondary Antibody (Catalog # HAF007) and counterstained with hematoxylin (blue). Specific staining was localized to the membrane. View our protocol for Chromogenic IHC Staining of Paraffin-embedded Tissue Sections.

Applications for Mouse CD11c Antibody

Application
Recommended Usage

CyTOF-reported

Lee, H. et al. (2015) Mucosal Immunol. 8: 1083. Ready to be labeled using established conjugation methods. No BSA or other carrier proteins that could interfere with conjugation.

Flow Cytometry

2.5 µg/106 cells
Sample: Mouse splenocytes

Immunohistochemistry

3-25 µg/mL
Sample: Immersion fixed paraffin-embedded sections of mouse spleen

Formulation, Preparation, and Storage

Purification

Protein A or G purified from hybridoma culture supernatant

Reconstitution

Sterile PBS to a final concentration of 0.5 mg/mL. For liquid material, refer to CoA for concentration.

Reconstitution Buffer Available:
Size / Price
Qty
Loading...

Formulation

Lyophilized from a 0.2 μm filtered solution in PBS with Trehalose. See Certificate of Analysis for details.
*Small pack size (-SP) is supplied either lyophilized or as a 0.2 µm filtered solution in PBS.

Shipping

Lyophilized product is shipped at ambient temperature. Liquid small pack size (-SP) is shipped with polar packs. Upon receipt, store immediately at the temperature recommended below.

Stability & Storage

Use a manual defrost freezer and avoid repeated freeze-thaw cycles.
  • 12 months from date of receipt, -20 to -70 °C as supplied.
  • 1 month, 2 to 8 °C under sterile conditions after reconstitution.
  • 6 months, -20 to -70 °C under sterile conditions after reconstitution.

Background: CD11c

CD11c, also known as the Integrin alphaX subunit, is a 150 kDa type I transmembrane protein that noncovalently heterodimerizes with the beta2 subunit (CD18) to form alphaX/ beta2, also known as p150/p95 and complement receptor type 4 (CR4). Integrin alphaX beta2 is expressed on macrophages, dendritic cells, hairy cell leukemias and some other leukocyte subsets. The 1097 aa mouse CD11c extracellular domain shares 71% and 87% amino acid (aa) identity with human and rat CD11c, respectively. One potential alphaX isoform is truncated at aa 828. Some adhesion partners of alphaX beta2 are shared with alphaM beta2/CD11b/CD18 (Complement iC3b, ICAMs, vWF and Fibrinogen) while others (Osteopontin, Thy-1, Plasminogen, Heparin) are unique. Unlike alphaM beta2, it is not constitutively active. alphaX beta2 adhesion mediates proliferation, degranulation, chemotactic migration, and phagocytosis of complement-opsonized particles.

References

  1. Metlay, J.P. et al. (1990) J. Exp. Med. 171:1753.

Alternate Names

CD11c, Integrin alpha X, ITGAX, p150,95 alpha

Entrez Gene IDs

3687 (Human); 16411 (Mouse); 64350 (Rat)

Gene Symbol

ITGAX

Additional CD11c Products

Product Documents for Mouse CD11c Antibody

Certificate of Analysis

To download a Certificate of Analysis, please enter a lot number in the search box below.

Note: Certificate of Analysis not available for kit components.

Product Specific Notices for Mouse CD11c Antibody

For research use only

Loading...
Loading...
Loading...
Loading...
Loading...