Skip to main content

MMP-9 Antibody (CL0539) - Azide and BSA Free

Novus Biologicals, part of Bio-Techne | Catalog # NBP3-44016

Novus Biologicals, part of Bio-Techne
Catalog #
Availability
Size / Price
Qty
Loading...
NBP3-44016

Key Product Details

Validated by

Orthogonal Validation

Species Reactivity

Human

Applications

Immunohistochemistry-Paraffin, Western Blot

Label

Unconjugated

Antibody Source

Monoclonal Mouse IgG1 Clone # CL0539

Format

Azide and BSA Free

Concentration

LYOPH mg/ml

Product Specifications

Immunogen

This antibody was generated using a recombinant protein sequence of P14780, with the exact immunogen sequence remaining proprietary.

Clonality

Monoclonal

Host

Mouse

Isotype

IgG1

Description

Novus Biologicals Mouse MMP-9 Antibody (CL0539) - Azide and BSA Free (NBP2-52949) is a monoclonal antibody validated for use in IHC and WB. All Novus Biologicals antibodies are covered by our 100% guarantee.

Scientific Data Images for MMP-9 Antibody (CL0539) - Azide and BSA Free

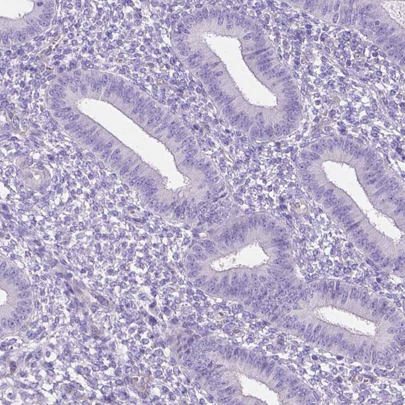
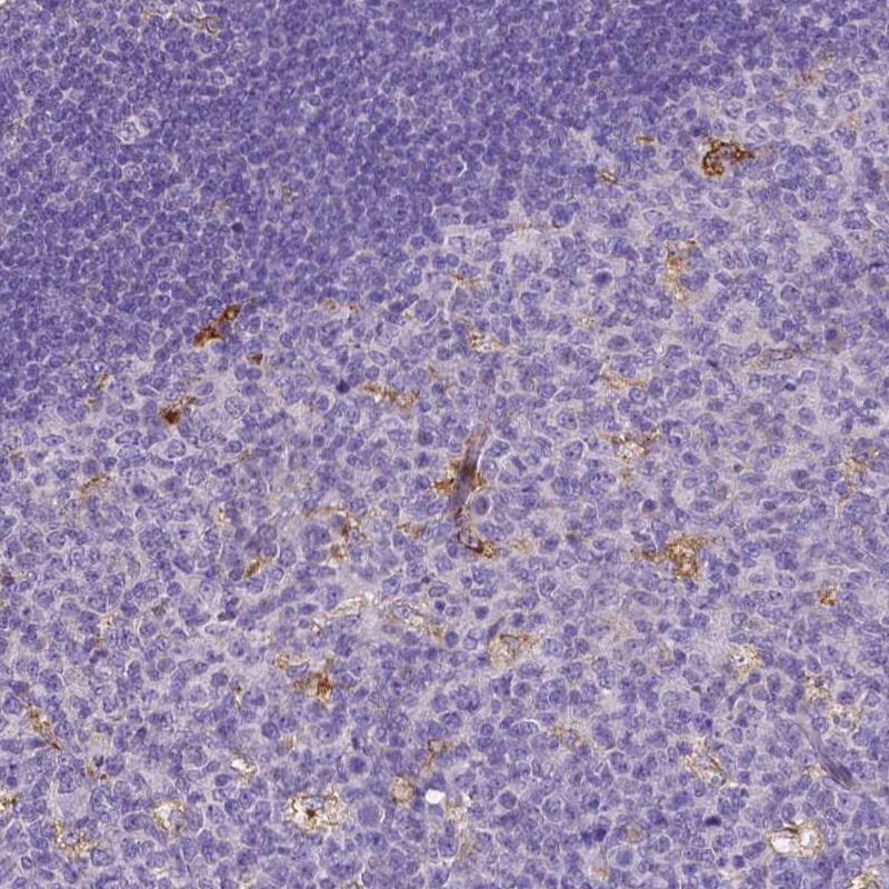
MMP-9 Antibody (CL0539) - Azide and BSA Free Immunohistochemistry-Paraffin: MMP-9 Antibody [NBP3-44016]

Immunohistochemistry-Paraffin: MMP-9 Antibody [NBP3-44016]

Analysis in human bone marrow and endometrium tissues using NBP3-44016 antibody. Corresponding MMP-9 RNA-seq data are presented for the same tissues.
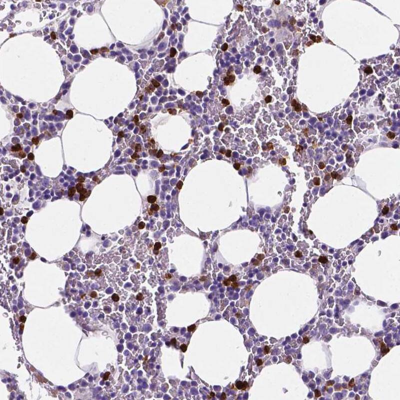
MMP-9 Antibody (CL0539) - Azide and BSA Free Immunohistochemistry-Paraffin: MMP-9 Antibody [NBP3-44016]

Immunohistochemistry-Paraffin: MMP-9 Antibody [NBP3-44016]

Staining of human bone marrow shows strong cytoplasmic positivity in a subset of hematopoietic cells.
MMP-9 Antibody (CL0539) - Azide and BSA Free Western Blot: MMP-9 Antibody [NBP3-44016]

Western Blot: MMP-9 Antibody [NBP3-44016]

Lane 1: Marker [kDa]
Lane 2: Negative control (vector only transfected HEK293T lysate) 
Lane 3: MMP-9 Over-expression Lysate (Co-expressed with a C-terminal myc-DDK tag (~3.1 kDa) in mammalian HEK293T cells)

Applications for MMP-9 Antibody (CL0539) - Azide and BSA Free

Application
Recommended Usage

Immunohistochemistry-Paraffin

1:500 - 1:1000

Western Blot

1 ug/ml
Application Notes
For IHC-Paraffin, HIER pH 6 retrieval is recommended.

Formulation, Preparation, and Storage

Purification

Protein A purified

Reconstitution

Centrifuge the vial of lyophilized antibody at 12,000 x g for 20 seconds. Reconstitute by adding sterile, distilled water to achieve a final antibody concentration of 1mg/ml.

Formulation

Lyophilized from a 0.2 um filtered solution in PBS with Trehalose

Format

Azide and BSA Free

Preservative

No Preservative

Concentration

LYOPH mg/ml

Shipping

The product is shipped at ambient temperature. Upon receipt, store it immediately at the temperature recommended below.

Stability & Storage

Store at 4C short term. Aliquot and store at -20C long term. Avoid freeze-thaw cycles.

Background: MMP-9

Matrix metalloproteinases (MMPs) are zinc-dependent endopeptidases that degrade substances within the extracellular matrix. The MMP family includes six different groups of enzymes: collagenases, gelatinases, stromelysins, transmembrane MMPs, matrilysins and others. MMPs are secreted as proenzymes that have to be cleaved in order to be activated. Other MMPs, plasmins as well as other factors activate MMPs. MMPs are thought to play an important role in tissue remodeling associated with various physiological and pathological processes. MMP9 degrades of proteins in the extracellular matrix and activates growth factors like proTGF beta and proTNF alpha. MMP9 contributes to the invasion and metastasis of various human malignancies.

Long Name

Matrix Metalloproteinase 9

Alternate Names

CLG4B, Gelatinase B, GELB, MANDP2, MMP9

Gene Symbol

MMP9

Additional MMP-9 Products

Product Documents for MMP-9 Antibody (CL0539) - Azide and BSA Free

Certificate of Analysis

To download a Certificate of Analysis, please enter a lot number in the search box below.

Product Specific Notices for MMP-9 Antibody (CL0539) - Azide and BSA Free

This product is for research use only and is not approved for use in humans or in clinical diagnosis. Primary Antibodies are guaranteed for 1 year from date of receipt.

Loading...
Loading...
Loading...
Loading...
Loading...
Loading...