Skip to main content

MMP-9 Antibody (4A3) - Azide and BSA Free

Novus Biologicals, part of Bio-Techne | Catalog # NBP2-80855

Novus Biologicals, part of Bio-Techne

Key Product Details

Validated by

Biological Validation

Species Reactivity

Validated:

Human, Mouse, Rat

Cited:

Human, Rat

Applications

Validated:

Immunohistochemistry, Immunohistochemistry-Paraffin, Western Blot, ELISA, CyTOF-ready

Cited:

IF/IHC, CyTOF-ready

Label

Unconjugated

Antibody Source

Monoclonal Mouse IgG1 kappa Clone # 4A3

Format

Azide and BSA Free

Concentration

1 mg/ml

Product Specifications

Immunogen

Synthetic peptide from the N-terminus of human MMP9 [Swiss-Prot# P14780]

Reactivity Notes

Mouse reactivity reported in scientific literature (PMID: 30772382).

Localization

Secreted > extracellular space > extracellular matrix

Clonality

Monoclonal

Host

Mouse

Isotype

IgG1 kappa

Description

Novus Biologicals Mouse MMP-9 Antibody (4A3) - Azide and BSA Free (NBP2-13173) is a monoclonal antibody validated for use in IHC, WB and ELISA. Anti-MMP-9 Antibody: Cited in 2 publications. All Novus Biologicals antibodies are covered by our 100% guarantee.

Scientific Data Images for MMP-9 Antibody (4A3) - Azide and BSA Free

Western Blot: MMP-9 Antibody (4A3)Azide and BSA Free [NBP2-80855]

Western Blot: MMP-9 Antibody (4A3)Azide and BSA Free [NBP2-80855]

Western Blot: MMP-9 Antibody (4A3) - Azide and BSA Free [NBP2-80855] - Identification of gelatinases by Western blot analysis. A pool of sera from 10 patients with inactive RR-MS was used. For 2-DZ, pooled sera were concentrated 10-fold and 40 ug of total proteins were applied (left panels). For Western blot analysis pooled sera were concentrated 40-fold and 160 ug of total proteins were subjected to 2-DE (right panels). 2-DE gels were cut and the corresponding nitrocellulose membranes were treated with anti-NGAL Ab (A'), anti-MMP-2 Ab (B') and Anti-MMP-9 (4A3) Ab, recognizing the 65 kD and the 82 kD activated forms (C'); Gel C show the region with isoelectric point between pH 4-5.5 and molecular mass between 85 and 55 kD, analysed by Western blot in C', respectively. Image collected and cropped by CiteAb from the following publication (null), licensed under a CC-BY license. Image from the standard format of this antibody.
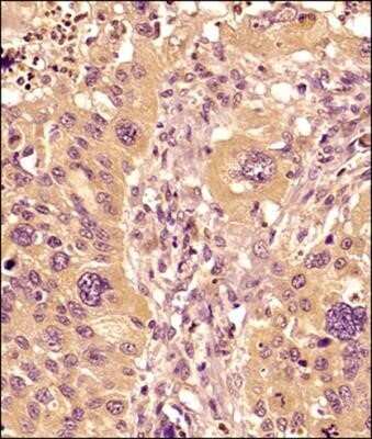
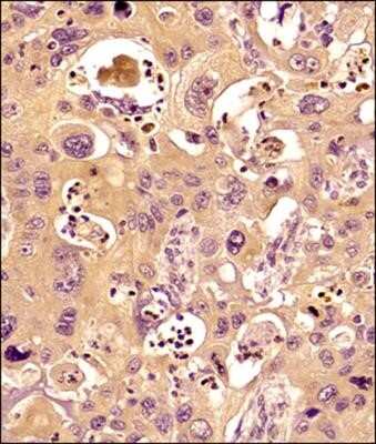
Immunohistochemistry-Paraffin: MMP-9 Antibody (4A3) - Azide and BSA Free [NBP2-80855]

Immunohistochemistry-Paraffin: MMP-9 Antibody (4A3) - Azide and BSA Free [NBP2-80855]

Immunohistochemistry-Paraffin: MMP-9 Antibody (4A3) - Azide and BSA Free [NBP2-80855] - Analysis of a FFPE section of human esophageal cancer using MMP9 antibody (clone 4A3) at 1:200. The staining was developed with HRP-labelled secondary antibody and DAB reagent followed by hematoxylin counterstaining. This antibody clone generated an extra
Western Blot: MMP-9 Antibody (4A3)Azide and BSA Free [NBP2-80855]

Western Blot: MMP-9 Antibody (4A3)Azide and BSA Free [NBP2-80855]

Western Blot: MMP-9 Antibody (4A3) - Azide and BSA Free [NBP2-80855] - 1.5 ul of serum from healthy control (HC) or from a patient with inactive RR-MS loaded on a 7.5% polyacrylamide gel copolymerized with 0.1% (w/v) gelatin (1-DZ). 2 ul of fivefold concentrated (Vivaspin 500, MWCO 50,000; GE Healthcare) serum samples (the same as in 1-DZ) separated on a 7.5% polyacrylamide gel without gelatin (1-DE), transferred on nitrocellulose membranes & incubated with the following primary antibodies: Anti-NGAL (5G5) at 2.0 ug/ml; Anti-MMP-9 (Ab-8) (IA5) at 2.66 ug/ml; Anti-MMP-2 (Ab-4) (75-7F7) at 1.0 ug/ml & Anti-MMP-9 Ab (4A3) at 2.0 ug/ml. Image collected & cropped by CiteAb from the following publication (null), licensed under a CC-BY license. Image from the st&ard format of this antibody.

Applications for MMP-9 Antibody (4A3) - Azide and BSA Free

Application
Recommended Usage

CyTOF-ready

reported by customer review

ELISA

1:100 - 1:2000

Immunohistochemistry

1:100-1:200

Immunohistochemistry-Paraffin

1:100-1:200

Western Blot

1:500-1:1000
Application Notes
In Western blot a band can be seen at 82 or 63 kDa, representing the active forms of MMP9. In IHC, cytoplasmic and extracellular staining was observed in HeLa cells. Prior to immunostaining paraffin tissues, antigen retrieval with sodium citrate buffer (pH 6.0) is recommended.

Reviewed Applications

Read 1 review rated 4 using NBP2-80855 in the following applications:

Formulation, Preparation, and Storage

Purification

Protein G purified

Formulation

Tris-Glycine (pH 7.5), 0.15 M NaCl

Format

Azide and BSA Free

Preservative

No Preservative

Concentration

1 mg/ml

Shipping

The product is shipped with polar packs. Upon receipt, store it immediately at the temperature recommended below.

Stability & Storage

Store at 4C short term. Aliquot and store at -20C long term. Avoid freeze-thaw cycles.

Background: MMP-9

MMP9, also known as Matrix metallopeptidase 9 or gelatinase B is a member of the matrix metalloproteinase (MMP) family. The MMPs are zinc-containing enzymes involved in the degradation of the extracellular matrix in normal physiological processes including embryonic development, reproduction and tissue remodeling. Most MMP family members are secreted as inactive proproteins that become activated when cleaved by extracellular proteinases. The proenzyme MMP9 is thought to be a 92 kDa protein. Processing of the precursor MMP9 yields different active forms, two of which were identified in Duncan et al 1998 (PMID: 9851689) to be 82 kDa and 63 kDa proteins. The 82 kDa protein results from cleavage at the Arg87-Phe88 bond. And the 63 kDa protein is caused by a further cleavage to the 82 kDa protein within the C-terminus domain between Arg527-Gly528. The main 63 kDa protein produced thus has the N-terminus of activated MMP9 and has a cleaved C-terminus. Antibodies specific to the active forms of MMP9 can be useful tools for studying important pathological processes such as tumor invasion, metastasis and arthritis.

Long Name

Matrix Metalloproteinase 9

Alternate Names

CLG4B, Gelatinase B, GELB, MANDP2, MMP9

Gene Symbol

MMP9

Additional MMP-9 Products

Product Documents for MMP-9 Antibody (4A3) - Azide and BSA Free

Certificate of Analysis

To download a Certificate of Analysis, please enter a lot number in the search box below.

Product Specific Notices for MMP-9 Antibody (4A3) - Azide and BSA Free

This product is for research use only and is not approved for use in humans or in clinical diagnosis. Primary Antibodies are guaranteed for 1 year from date of receipt.

Loading...
Loading...
Loading...
Loading...
Loading...