Skip to main content

MKS1 Antibody - BSA Free

Novus Biologicals, part of Bio-Techne | Catalog # NBP1-88692

Novus Biologicals, part of Bio-Techne
Catalog #
Availability
Size / Price
Qty
Loading...
NBP1-88692
NBP1-88692-25ul

Key Product Details

Validated by

Independent Antibodies

Species Reactivity

Human, Rat

Applications

Immunohistochemistry, Immunohistochemistry-Paraffin, Western Blot

Label

Unconjugated

Antibody Source

Polyclonal Rabbit IgG

Format

BSA Free

Concentration

Concentrations vary lot to lot. See vial label for concentration. If unlisted please contact technical services.

Product Specifications

Immunogen

This antibody was developed against Recombinant Protein corresponding to amino acids: EVPSFLVERMANVRRRRQDRRGMEGGILKSRIVTWEPSEEFVRNNHVINTPLQTMHIMADLGPYKKLGYKKYEHVLCTLKVDSNGVITVKPDFTGLKGPYRI

Reactivity Notes

Immunogen displays the following percentage of sequence identity for non-tested species: Mouse (86%)

Clonality

Polyclonal

Host

Rabbit

Isotype

IgG

Description

Novus Biologicals Rabbit MKS1 Antibody - BSA Free (NBP1-88692) is a polyclonal antibody validated for use in IHC and WB. All Novus Biologicals antibodies are covered by our 100% guarantee.

Scientific Data Images for MKS1 Antibody - BSA Free

Western Blot: MKS1 Antibody [NBP1-88692]

Western Blot: MKS1 Antibody [NBP1-88692]

Western Blot: MKS1 Antibody [NBP1-88692] - Lane 1: NIH-3T3 cell lysate (Mouse embryonic fibroblast cells), Lane 2: NBT-II cell lysate (Rat Wistar bladder tumour cells)
Western Blot: MKS1 Antibody [NBP1-88692]

Western Blot: MKS1 Antibody [NBP1-88692]

Western Blot: MKS1 Antibody [NBP1-88692] - Lane 1: Marker [kDa] 230, 130, 95, 72, 56, 36, 28, 17, 11. Lane 2: Human cell line RT-345
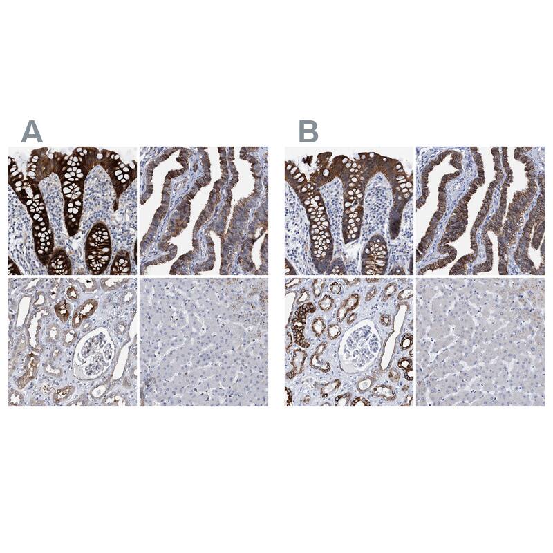
Immunohistochemistry-Paraffin: MKS1 Antibody [NBP1-88692]

Immunohistochemistry-Paraffin: MKS1 Antibody [NBP1-88692]

Immunohistochemistry-Paraffin: MKS1 Antibody [NBP1-88692] - Staining of human colon shows strong cytoplasmic positivity in glandular cells.

Applications for MKS1 Antibody - BSA Free

Application
Recommended Usage

Immunohistochemistry

1:50 - 1:200

Immunohistochemistry-Paraffin

1:50 - 1:200

Western Blot

0.04 - 0.4 ug/ml
Application Notes
For IHC-Paraffin, HIER pH 6 retrieval is recommended.

Formulation, Preparation, and Storage

Purification

Immunogen affinity purified

Formulation

PBS (pH 7.2) and 40% Glycerol

Format

BSA Free

Preservative

0.02% Sodium Azide

Concentration

Concentrations vary lot to lot. See vial label for concentration. If unlisted please contact technical services.

Shipping

The product is shipped with polar packs. Upon receipt, store it immediately at the temperature recommended below.

Stability & Storage

Store at 4C short term. Aliquot and store at -20C long term. Avoid freeze-thaw cycles.

Background: MKS1

MKPX, also known as JSP-1 for Jnk Stimulatory Phosphatase-1, belongs to the LMW-DSP subfamily of phosphatases. MKPX has been shown to have the capacity to activate the c-Jun N-terminal kinase (Jnk) signaling pathway. The activation of Jnk has been implicated in a number of important physiological processes, including embryonic morphogenesis, cell survival and apoptosis. At least two mRNA transcripts have been reported. Jnk signaling has been linked to human disease conditions, such as tumor development, cardiac hypertrophy, ischemia/reperfusion injury, diabetes, hyperglycemia-induced apoptosis, and several neurodegenerative disorders.MKPX has been shown to be widely expressed with highest expression in heart, kidney, liver, lung, pancreas and placenta. ESTs have been isolated from a diverse set of human tissues libraries, especially blood and breast.Caution: The acronym MKPX also has been used to describe Dual Specificity Protein Phosphatase 7.

Alternate Names

BBS13FLJ20345, FABB proteome-like protein, Meckel syndrome type 1 protein, Meckel syndrome, type 1, MES, MKS, POC12, POC12 centriolar protein homolog

Gene Symbol

MKS1

Additional MKS1 Products

Product Documents for MKS1 Antibody - BSA Free

Certificate of Analysis

To download a Certificate of Analysis, please enter a lot number in the search box below.

Product Specific Notices for MKS1 Antibody - BSA Free

This product is for research use only and is not approved for use in humans or in clinical diagnosis. Primary Antibodies are guaranteed for 1 year from date of receipt.

Loading...
Loading...
Loading...
Loading...