Mitochondrial ribosomal protein L11 Antibody (OTI1E5)
Novus Biologicals, part of Bio-Techne | Catalog # NBP2-45836
Conjugate
Catalog #
Forumulation
Catalog #
Key Product Details
Species Reactivity
Human, Mouse, Rat, Canine, Monkey
Applications
Immunohistochemistry, Immunohistochemistry-Paraffin, Western Blot
Label
Unconjugated
Antibody Source
Monoclonal Mouse IgG1 Clone # OTI1E5
Concentration
1 mg/ml
Product Specifications
Immunogen
Full length human recombinant protein of human MRPL11(NP_057134) produced in E.coli.
Reactivity Notes
Please note that this antibody is reactive to Mouse and derived from the same host, Mouse. Mouse-On-Mouse blocking reagent may be needed for IHC and ICC experiments to reduce high background signal. You can find these reagents under catalog numbers PK-2200-NB and MP-2400-NB. Please contact Technical Support if you have any questions.
Clonality
Monoclonal
Host
Mouse
Isotype
IgG1
Theoretical MW
20.5 kDa.
Disclaimer note: The observed molecular weight of the protein may vary from the listed predicted molecular weight due to post translational modifications, post translation cleavages, relative charges, and other experimental factors.
Disclaimer note: The observed molecular weight of the protein may vary from the listed predicted molecular weight due to post translational modifications, post translation cleavages, relative charges, and other experimental factors.
Description
Novus Biologicals Mouse Mitochondrial ribosomal protein L11 Antibody (OTI1E5) (NBP2-45836) is a monoclonal antibody validated for use in IHC and WB. All Novus Biologicals antibodies are covered by our 100% guarantee.
Scientific Data Images for Mitochondrial ribosomal protein L11 Antibody (OTI1E5)
Western Blot: Mitochondrial ribosomal protein L11 Antibody (OTI1E5) [NBP2-45836]
Western Blot: Mitochondrial ribosomal protein L11 Antibody (1E5) [NBP2-45836] - Analysis of HEK293T cells were transfected with the pCMV6-ENTRY control (Left lane) or pCMV6-ENTRY Mitochondrial ribosomal protein L11.Immunohistochemistry: Mitochondrial ribosomal protein L11 Antibody (OTI1E5) [NBP2-45836]
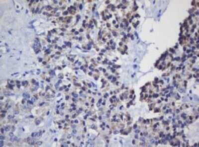
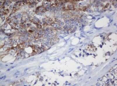
Immunohistochemistry: Mitochondrial ribosomal protein L11 Antibody (1E5) [NBP2-45836] - Analysis of Carcinoma of Human thyroid tissue. (Heat-induced epitope retrieval by 10mM citric buffer, pH6.0, 120C for 3min)Western Blot: Mitochondrial ribosomal protein L11 Antibody (OTI1E5) [NBP2-45836]
Western Blot: Mitochondrial ribosomal protein L11 Antibody (1E5) [NBP2-45836] - Analysis of extracts (35ug) from 9 different cell lines (HepG2: human; HeLa: human; SVT2: mouse; A549: human; COS7: monkey; Jurkat: human; MDCK: canine; PC12: rat; MCF7: human).Applications for Mitochondrial ribosomal protein L11 Antibody (OTI1E5)
Application
Recommended Usage
Immunohistochemistry
1:150
Western Blot
1:2000
Formulation, Preparation, and Storage
Purification
Immunogen affinity purified
Formulation
PBS (pH 7.3), 1.0% BSA and 50% Glycerol
Preservative
0.02% Sodium Azide
Concentration
1 mg/ml
Shipping
The product is shipped with polar packs. Upon receipt, store it immediately at the temperature recommended below.
Stability & Storage
Store at -20C. Avoid freeze-thaw cycles.
Background: Mitochondrial ribosomal protein L11
Alternate Names
L11mt, MGC111024, mitochondrial ribosomal protein L11, MRP-L11,39S ribosomal protein L11, mitochondrial
Gene Symbol
MRPL11
Additional Mitochondrial ribosomal protein L11 Products
Product Documents for Mitochondrial ribosomal protein L11 Antibody (OTI1E5)
Product Specific Notices for Mitochondrial ribosomal protein L11 Antibody (OTI1E5)
This product is for research use only and is not approved for use in humans or in clinical diagnosis. Primary Antibodies are guaranteed for 1 year from date of receipt.
Loading...
Loading...
Loading...
Loading...