Skip to main content

Methionine Aminopeptidase 1/METAP1 Antibody - BSA Free

Novus Biologicals, part of Bio-Techne | Catalog # NBP2-38375

Novus Biologicals, part of Bio-Techne
Catalog #
Availability
Size / Price
Qty
Loading...
NBP2-38375
NBP2-38375-25ul

Key Product Details

Species Reactivity

Validated:

Human

Predicted:

Mouse (100%), Rat (100%). Backed by our 100% Guarantee.

Applications

Immunohistochemistry, Immunohistochemistry-Paraffin

Label

Unconjugated

Antibody Source

Polyclonal Rabbit IgG

Format

BSA Free

Concentration

Concentrations vary lot to lot. See vial label for concentration. If unlisted please contact technical services.

Product Specifications

Immunogen

This antibody was developed against a recombinant protein corresponding to amino acids: SVVRSYCGHGIHKLFHTAPNVPHYAKNKAVGVMKSGHVFTIEPMICEGGWQDETWPDGWTAVTRDGKRSAQFEH

Clonality

Polyclonal

Host

Rabbit

Isotype

IgG

Description

Novus Biologicals Rabbit Methionine Aminopeptidase 1/METAP1 Antibody - BSA Free (NBP2-38375) is a polyclonal antibody validated for use in IHC. All Novus Biologicals antibodies are covered by our 100% guarantee.

Scientific Data Images for Methionine Aminopeptidase 1/METAP1 Antibody - BSA Free

Immunohistochemistry-Paraffin: Methionine Aminopeptidase 1/METAP1 Antibody [NBP2-38375]

Immunohistochemistry-Paraffin: Methionine Aminopeptidase 1/METAP1 Antibody [NBP2-38375]

Immunohistochemistry-Paraffin: Methionine Aminopeptidase 1/METAP1 Antibody [NBP2-38375] - Staining of human testis shows strong cytoplasmic positivity in cells in seminiferous ducts and leydig cells.
Immunohistochemistry-Paraffin: Methionine Aminopeptidase 1/METAP1 Antibody [NBP2-38375]

Immunohistochemistry-Paraffin: Methionine Aminopeptidase 1/METAP1 Antibody [NBP2-38375]

Immunohistochemistry-Paraffin: Methionine Aminopeptidase 1/METAP1 Antibody [NBP2-38375] - Staining of human stomach shows moderate cytoplasmic positivity in glandular cells.
Immunohistochemistry-Paraffin: Methionine Aminopeptidase 1/METAP1 Antibody [NBP2-38375]

Immunohistochemistry-Paraffin: Methionine Aminopeptidase 1/METAP1 Antibody [NBP2-38375]

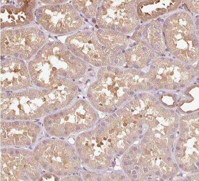
Immunohistochemistry-Paraffin: Methionine Aminopeptidase 1/METAP1 Antibody [NBP2-38375] - Staining of human kidney shows moderate cytoplsmic positivity in cells in tubules.

Applications for Methionine Aminopeptidase 1/METAP1 Antibody - BSA Free

Application
Recommended Usage

Immunohistochemistry

1:200 - 1:500

Immunohistochemistry-Paraffin

1:200 - 1:500
Application Notes
For IHC-Paraffin, HIER pH 6 retrieval is recommended.

Formulation, Preparation, and Storage

Purification

Affinity purified

Formulation

PBS (pH 7.2) and 40% Glycerol

Format

BSA Free

Preservative

0.02% Sodium Azide

Concentration

Concentrations vary lot to lot. See vial label for concentration. If unlisted please contact technical services.

Shipping

The product is shipped with polar packs. Upon receipt, store it immediately at the temperature recommended below.

Stability & Storage

Store at 4C short term. Aliquot and store at -20C long term. Avoid freeze-thaw cycles.

Background: Methionine Aminopeptidase 1/METAP1

Removes the amino-terminal methionine from nascent proteins. Required for normal progression through the cell cycle

Alternate Names

MAP1, MetAP1

Gene Symbol

METAP1

UniProt

Additional Methionine Aminopeptidase 1/METAP1 Products

Product Documents for Methionine Aminopeptidase 1/METAP1 Antibody - BSA Free

Certificate of Analysis

To download a Certificate of Analysis, please enter a lot number in the search box below.

Product Specific Notices for Methionine Aminopeptidase 1/METAP1 Antibody - BSA Free

This product is for research use only and is not approved for use in humans or in clinical diagnosis. Primary Antibodies are guaranteed for 1 year from date of receipt.

Loading...
Loading...
Loading...
Loading...