Skip to main content

Mesothelin Antibody (CL13956) - Azide and BSA Free

Novus Biologicals, part of Bio-Techne | Catalog # NBP3-43845

Novus Biologicals, part of Bio-Techne

Key Product Details

Validated by

Orthogonal Validation

Species Reactivity

Human

Applications

Immunohistochemistry-Paraffin, Western Blot

Label

Unconjugated

Antibody Source

Monoclonal Mouse IgG1 Clone # CL13956

Format

Azide and BSA Free

Concentration

LYOPH mg/ml

Product Specifications

Immunogen

This antibody was generated using a recombinant protein sequence of Q13421, with the exact immunogen sequence remaining proprietary.

Clonality

Monoclonal

Host

Mouse

Isotype

IgG1

Description

Novus Biologicals Mouse Mesothelin Antibody (CL13956) - Azide and BSA Free (NBP3-24589) is a monoclonal antibody validated for use in IHC and WB. All Novus Biologicals antibodies are covered by our 100% guarantee.

Scientific Data Images for Mesothelin Antibody (CL13956) - Azide and BSA Free

Mesothelin Antibody (CL13956) - Azide and BSA Free Immunohistochemistry-Paraffin: Mesothelin Antibody [NBP3-43845]

Immunohistochemistry-Paraffin: Mesothelin Antibody [NBP3-43845]

Analysis in human fallopian tube and skeletal muscle tissues using NBP3-43845 antibody. Corresponding Mesothelin RNA-seq data are presented for the same tissues.
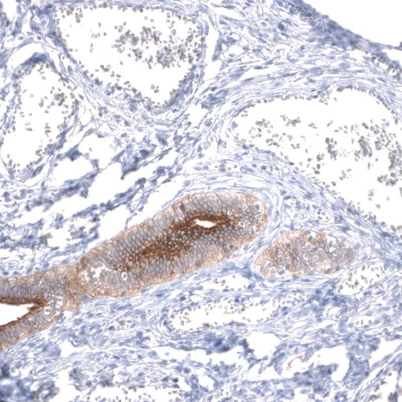
Mesothelin Antibody (CL13956) - Azide and BSA Free Immunohistochemistry-Paraffin: Mesothelin Antibody [NBP3-43845]

Immunohistochemistry-Paraffin: Mesothelin Antibody [NBP3-43845]

Staining of human fallopian tube shows strong membranous positivity in glandular cells.
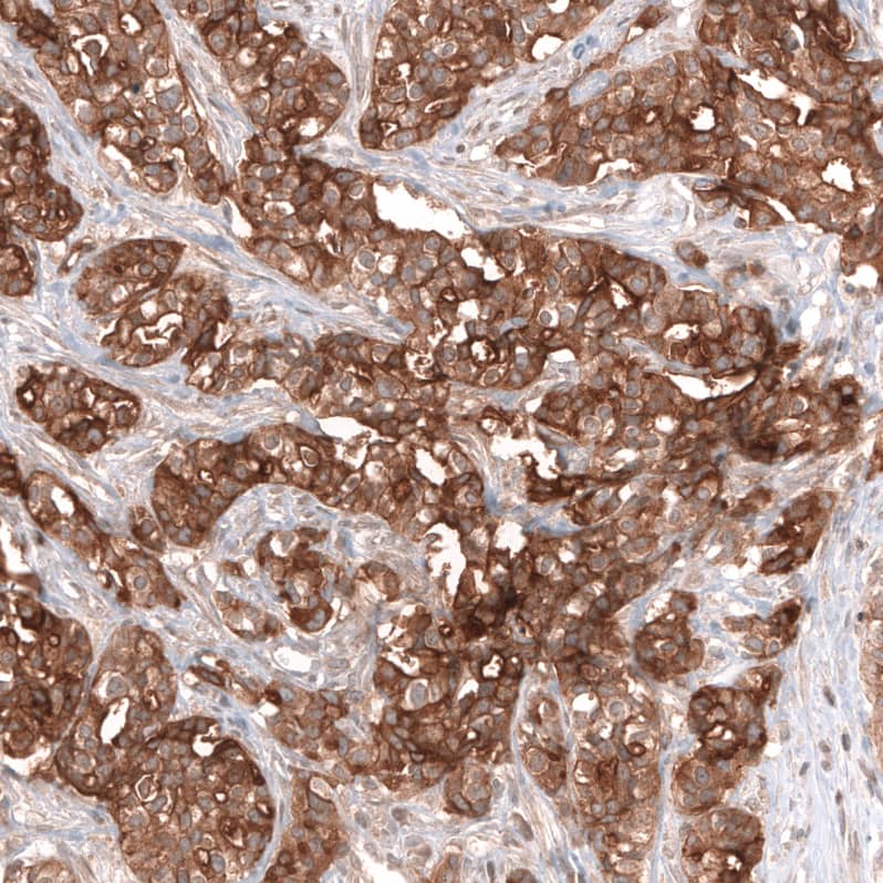
Mesothelin Antibody (CL13956) - Azide and BSA Free Immunohistochemistry-Paraffin: Mesothelin Antibody [NBP3-43845]

Immunohistochemistry-Paraffin: Mesothelin Antibody [NBP3-43845]

Staining of human skeletal muscle shows no positivity in myocytes as expected.

Applications for Mesothelin Antibody (CL13956) - Azide and BSA Free

Application
Recommended Usage

Immunohistochemistry-Paraffin

1:500 - 1:1000

Western Blot

1 ug/ml
Application Notes
For IHC-Paraffin, we recommend using Heat-Induced Epitope Retrieval (HIER) with a pH level of 6. This optimized retrieval method ensures the best results for your experiments.

Formulation, Preparation, and Storage

Purification

Protein A purified

Reconstitution

Centrifuge the vial of lyophilized antibody at 12,000 x g for 20 seconds. Reconstitute by adding sterile, distilled water to achieve a final antibody concentration of 1mg/ml.

Formulation

Lyophilized from a 0.2 um filtered solution in PBS with Trehalose

Format

Azide and BSA Free

Preservative

No Preservative

Concentration

LYOPH mg/ml

Shipping

The product is shipped at ambient temperature. Upon receipt, store it immediately at the temperature recommended below.

Stability & Storage

Store at 4C short term. Aliquot and store at -20C long term. Avoid freeze-thaw cycles.

Background: Mesothelin

MSLN, also known as Mesothelin, has 4 isoforms, a 630 amino acid isoform that is 69 kDa, a 622 amino acid isoform that is 68 kDa, a 656 amino acid isoform that is 71 kDa, and a 621 amino acid isoform that is 68 kDa, expressed in lung, heart, placenta kidney, and overexpressed in mesotheliomas, ovarian cancers, and some squamous cell carcinomas. Membrane-anchored forms may play a role in cellular adhesion and megakaryocyte-potentiating factor (MPF) potentiates megakaryocyte colony formation in vitro. Current research is being performed on several diseases and disorders including squamous cell carcinoma, ovarian cancer, carcinoma, malignant biphasic mesothelioma, bile duct adenoma, malignant mesothelioma, malignant pleural mesothelioma, gastrointestinal stromal tumor, renal clear cell carcinoma, epithelioid sarcoma, benign mesothelioma, pancreatic ductal adenocarcinoma, asbestosis, pancreatic ductal carcinoma, thymic carcinoma, acute myeloid leukemia, epithelial ovarian cancer, myeloid leukemia, thoracic cancer, and pancreatitis. This protein has also shown an interaction with MUC16 and RSG1 in cell adhesion and pancreas development processes and pathways.

Alternate Names

CAK1, MPF, MSLN, SMR

Gene Symbol

MSLN

Additional Mesothelin Products

Product Documents for Mesothelin Antibody (CL13956) - Azide and BSA Free

Certificate of Analysis

To download a Certificate of Analysis, please enter a lot number in the search box below.

Product Specific Notices for Mesothelin Antibody (CL13956) - Azide and BSA Free

This product is for research use only and is not approved for use in humans or in clinical diagnosis. Primary Antibodies are guaranteed for 1 year from date of receipt.

Loading...
Loading...
Loading...
Loading...
Loading...