Skip to main content

Melan-A/MART-1 Antibody (A103) - Azide and BSA Free

Novus Biologicals, part of Bio-Techne | Catalog # NBP2-80846

Novus Biologicals, part of Bio-Techne
Catalog #
Availability
Size / Price
Qty
Loading...
NBP2-80846
Forumulation
Catalog #

Key Product Details

Species Reactivity

Human, Mouse, Rat

Applications

Immunohistochemistry, Immunohistochemistry-Paraffin, Immunohistochemistry-Frozen, Western Blot, ELISA, Flow Cytometry, Immunocytochemistry/ Immunofluorescence, CyTOF-ready

Label

Unconjugated

Antibody Source

Monoclonal Mouse IgG1 kappa Clone # A103

Format

Azide and BSA Free

Concentration

1 mg/ml

Product Specifications

Immunogen

Recombinant human Melan-A/MART-1. [Uniprot# Q16655]

Clonality

Monoclonal

Host

Mouse

Isotype

IgG1 kappa

Description

Novus Biologicals Mouse Melan-A/MART-1 Antibody (A103) - Azide and BSA Free (NBP2-46603) is a monoclonal antibody validated for use in IHC, WB, ELISA, Flow and ICC/IF. All Novus Biologicals antibodies are covered by our 100% guarantee.

Scientific Data Images for Melan-A/MART-1 Antibody (A103) - Azide and BSA Free

Western Blot: Melan-A/MART-1 Antibody (A103)Azide and BSA Free [NBP2-80846]

Western Blot: Melan-A/MART-1 Antibody (A103)Azide and BSA Free [NBP2-80846]

Western Blot: Melan-A/MART-1 Antibody (A103) - Azide and BSA Free [NBP2-80846] - Total protein from human skin, pancreas and kidney and mouse kidney was separated on a 4-20% gel by SDS-PAGE, transferred to PVDF membrane and blocked in 5% non-fat milk in TBST. The membrane was probed with 2.0 ug/ml anti-Melan-A in 1% non-fat milk in TBST and detected with an anti-mouse HRP secondary antibody using chemiluminescence. Image from the standard format of this antibody.
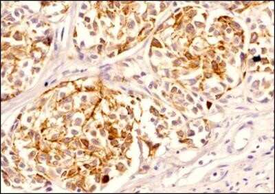
Immunohistochemistry-Paraffin: Melan-A/MART-1 Antibody (A103) - Azide and BSA Free [NBP2-80846]

Immunohistochemistry-Paraffin: Melan-A/MART-1 Antibody (A103) - Azide and BSA Free [NBP2-80846]

Immunohistochemistry-Paraffin: Melan-A/MART-1 Antibody (A103) - Azide and BSA Free [NBP2-80846] - Analysis of FFPE tissue section of Human Skin Cancer/Melanoma using Melan-A/MART-1 antibody (A103) at 1:100 dilution. The antibody depicted very specific staining which was cytoplasmic with strong punctate appearance in peri-nuclear regions (ER and Golgi)
Flow Cytometry: Melan-A/MART-1 Antibody (A103) - Azide and BSA Free [NBP2-80846]

Flow Cytometry: Melan-A/MART-1 Antibody (A103) - Azide and BSA Free [NBP2-80846]

Flow Cytometry: Melan-A/MART-1 Antibody (A103) - Azide and BSA Free [NBP2-80846] - An intracellular stain was performed on SK-MEL-28 cells with Melan-A/MART-1 [A103] Antibody NBP2-46603AF647 (blue) and a matched isotype control (orange). Cells were fixed with 4% PFA and then permeabilized with 0.1% saponin. Cells were incubated in an antibody dilution of 2.5 ug/mL for 30 minutes at room temperature. Both antibodies were directly conjugated to Alexa Fluor 647.

Applications for Melan-A/MART-1 Antibody (A103) - Azide and BSA Free

Application
Recommended Usage

Immunocytochemistry/ Immunofluorescence

reported in scientific literature (PMID 27565163)

Immunohistochemistry

1:100

Immunohistochemistry-Frozen

1:100

Western Blot

2 ug/ml

Formulation, Preparation, and Storage

Purification

Protein G purified

Formulation

PBS

Format

Azide and BSA Free

Preservative

No Preservative

Concentration

1 mg/ml

Shipping

The product is shipped with polar packs. Upon receipt, store it immediately at the temperature recommended below.

Stability & Storage

Store at 4C short term. Aliquot and store at -20C long term. Avoid freeze-thaw cycles.

Background: Melan-A/MART-1

Melan-A/MART-1, also known as MLANA or melanoma antigen recognized by T-cells 1, is expressed exclusively in retina, melanoma, and melanocyte cells. Melan-A interacts with GPR143, ensuring its stability, as well as with PMEL. The interaction between Melan-A and PMEL is crucial to the development of stage II melanosomes, which are organelles that contain and store melanin. Melan-A is found in the membranes of the Golgi apparatus, endoplasmic reticulum, as well as the cell membrane itself. Melan-A's expression on the exterior of melanoma cells are key in the recognition and subsequent lysis of these cells by cytolytic T-Lymphocytes, giving Melan-A a large role in cancer research pertaining to melanomas.

Alternate Names

Antigen LB39-AA, Antigen SK29-AA, MART-1, MelanA, MLANA

Gene Symbol

MLANA

Additional Melan-A/MART-1 Products

Product Documents for Melan-A/MART-1 Antibody (A103) - Azide and BSA Free

Certificate of Analysis

To download a Certificate of Analysis, please enter a lot number in the search box below.

Product Specific Notices for Melan-A/MART-1 Antibody (A103) - Azide and BSA Free

This product is for research use only and is not approved for use in humans or in clinical diagnosis. Primary Antibodies are guaranteed for 1 year from date of receipt.

Loading...
Loading...
Loading...
Loading...
Loading...