Skip to main content

Key Product Details

Species Reactivity

Human, Mouse, Rat, Canine, Monkey

Applications

Immunocytochemistry/ Immunofluorescence, Immunohistochemistry, Immunohistochemistry-Paraffin, Western Blot

Label

Unconjugated

Antibody Source

Monoclonal Mouse IgG2A Clone # OTI1A2

Format

Azide and BSA Free

Concentration

LYOPH mg/ml

Product Specifications

Immunogen

Full length human recombinant protein of human MAP2K2(NP_109587) produced in HEK293T cell.

Reactivity Notes

Please note that this antibody is reactive to Mouse and derived from the same host, Mouse. Mouse-On-Mouse blocking reagent may be needed for IHC and ICC experiments to reduce high background signal. You can find these reagents under catalog numbers PK-2200-NB and MP-2400-NB. Please contact Technical Support if you have any questions.

Clonality

Monoclonal

Host

Mouse

Isotype

IgG2A

Theoretical MW

44.2 kDa.
Disclaimer note: The observed molecular weight of the protein may vary from the listed predicted molecular weight due to post translational modifications, post translation cleavages, relative charges, and other experimental factors.

Description

Novus Biologicals Mouse MEK2 Antibody (OTI1A2) - Azide and BSA Free (NBP2-45802) is a monoclonal antibody validated for use in IHC, WB and ICC/IF. All Novus Biologicals antibodies are covered by our 100% guarantee.

Scientific Data Images for MEK2 Antibody (OTI1A2) - Azide and BSA Free

Western Blot: MEK2 Antibody (OTI1A2)Azide and BSA Free [NBP2-72647]

Western Blot: MEK2 Antibody (OTI1A2)Azide and BSA Free [NBP2-72647]

Western Blot: MEK2 Antibody (OTI1A2) - Azide and BSA Free [NBP2-72647] - Analysis of HEK293T cells were transfected with the pCMV6-ENTRY control (Left lane) or pCMV6-ENTRY MEK2.
Immunocytochemistry/ Immunofluorescence: MEK2 Antibody (OTI1A2) - Azide and BSA Free [NBP2-72647]

Immunocytochemistry/ Immunofluorescence: MEK2 Antibody (OTI1A2) - Azide and BSA Free [NBP2-72647]

Immunocytochemistry/Immunofluorescence: MEK2 Antibody (OTI1A2) - Azide and BSA Free [NBP2-72647] - Analysis of COS7 cells transiently transfected by pCMV6-ENTRY MEK2.
Western Blot: MEK2 Antibody (OTI1A2)Azide and BSA Free [NBP2-72647]

Western Blot: MEK2 Antibody (OTI1A2)Azide and BSA Free [NBP2-72647]

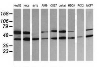
Western Blot: MEK2 Antibody (OTI1A2) - Azide and BSA Free [NBP2-72647] - Analysis of extracts (35ug) from 9 different cell lines (HepG2: human; HeLa: human; SVT2: mouse; A549: human; COS7: monkey; Jurkat: human; MDCK: canine; PC12: rat; MCF7: human).

Applications for MEK2 Antibody (OTI1A2) - Azide and BSA Free

Application
Recommended Usage

Immunocytochemistry/ Immunofluorescence

1:100

Immunohistochemistry

1:150

Western Blot

1:200-4000

Formulation, Preparation, and Storage

Purification

Immunogen affinity purified

Reconstitution

we recommend adding 100uL distilled water to a final antibody concentration of about 1 mg/mL. To use this carrier-free antibody for conjugation experiment, we strongly recommend performing another round of desalting process.

Formulation

Lyophilized from PBS (pH 7.3) with 8% Trehalose

Format

Azide and BSA Free

Preservative

No Preservative

Concentration

LYOPH mg/ml

Shipping

The product is shipped with polar packs. Upon receipt, store it immediately at the temperature recommended below.

Stability & Storage

Store at -20C. Avoid freeze-thaw cycles.

Background: MEK2

MEK1 and MEK2 (MAPK kinase 1/2, or ERK kinase 1/2) are mitogen-activated protein kinases that stimulate MAP kinase activity, playing a role in both cell growth and differentiation (1,2). MEK itself is activated via phosphorylation at serines 217/218 and 221/222 by upstream activator kinases, including c-raf, mos and MEK kinase (3,4). MEK1 and MEK2 are activated by a wide variety of growth factors and cytokines, and also by membrane depolarization and calcium influx (5).

Long Name

Mitogen-activated Protein Kinase Kinase 2

Alternate Names

MAP2K2, MKK2

Gene Symbol

MAP2K2

Additional MEK2 Products

Product Documents for MEK2 Antibody (OTI1A2) - Azide and BSA Free

Certificate of Analysis

To download a Certificate of Analysis, please enter a lot number in the search box below.

Product Specific Notices for MEK2 Antibody (OTI1A2) - Azide and BSA Free

This product is for research use only and is not approved for use in humans or in clinical diagnosis. Primary Antibodies are guaranteed for 1 year from date of receipt.

Loading...
Loading...
Loading...
Loading...
Loading...