Skip to main content

MED4 Antibody - BSA Free

Novus Biologicals, part of Bio-Techne | Catalog # NBP1-76930

Novus Biologicals, part of Bio-Techne

Key Product Details

Species Reactivity

Human, Mouse, Rat

Applications

Immunohistochemistry, Immunohistochemistry-Paraffin, Western Blot, ELISA

Label

Unconjugated

Antibody Source

Polyclonal Rabbit IgG

Format

BSA Free

Concentration

1 mg/ml

Product Specifications

Immunogen

Antibody was raised against a 17 amino acid synthetic peptide from near the carboxy terminus of human MED4. The immunogen is located within the last 50 amino acids of MED4. Amino Acid Squence: PGHNKEDEDDVEIMSTD

Reactivity Notes

Immunogen displays the following percentage of sequence identity for non-tested species: Bovine (86%)

Specificity

At least three isoforms of MED4 are known to exist; this antibody only recognizes the largest isoform.

Clonality

Polyclonal

Host

Rabbit

Isotype

IgG

Description

Novus Biologicals Rabbit MED4 Antibody - BSA Free (NBP1-76930) is a polyclonal antibody validated for use in IHC, WB and ELISA. All Novus Biologicals antibodies are covered by our 100% guarantee.

Scientific Data Images for MED4 Antibody - BSA Free

Western Blot: MED4 AntibodyBSA Free [NBP1-76930]

Western Blot: MED4 AntibodyBSA Free [NBP1-76930]

Western Blot: MED4 Antibody [NBP1-76930] - Human testis tissue lysate with MED4 antibody at 0.5 ug/mL.
MED4 Antibody - BSA Free

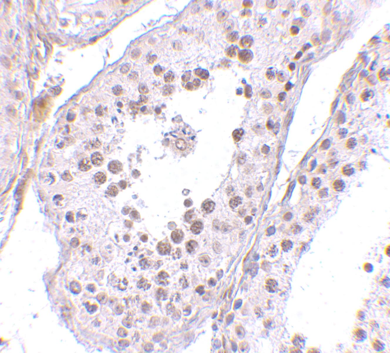
Immunohistochemistry: MED4 Antibody - BSA Free [NBP1-76930] -

Immunohistochemistry: MED4 Antibody - BSA Free [NBP1-76930] - Immunohistochemistry of MED4 in human testis tissue with MED4 antibody at 10 ug/mL.

Applications for MED4 Antibody - BSA Free

Application
Recommended Usage

ELISA

1:100-1:2000

Immunohistochemistry

10 ug/ml

Immunohistochemistry-Paraffin

10 ug/ml

Western Blot

0.5 ug/ml

Formulation, Preparation, and Storage

Purification

Peptide affinity purified

Formulation

PBS

Format

BSA Free

Preservative

0.02% Sodium Azide

Concentration

1 mg/ml

Shipping

The product is shipped with polar packs. Upon receipt, store it immediately at the temperature recommended below.

Stability & Storage

Store at 4C short term. Aliquot and store at -20C long term. Avoid freeze-thaw cycles.

Background: MED4

The mediator complex is a multi-protein transcriptional co-activator that is expressed ubiquitously in eukaryotes from yeast to mammals and is required for induction of RNA polymerase II (pol II) transcription by DNA binding transcription factor. One of the proteins in this complex is MED4. This protein has also been shown to be part of the vitamin D receptor interacting complex. MED4 was recently identified as an HIV dependency factor (HDF), suggesting that MED4 may be an important drug target in HIV treatment. At least three isoforms of MED4 are known to exist; this antibody only recognizes the largest isoform.

Long Name

Mediator Complex Subunit 4

Alternate Names

ARC36, DRIP36, HSPC126, TRAP36, VDRIP

Gene Symbol

MED4

Additional MED4 Products

Product Documents for MED4 Antibody - BSA Free

Certificate of Analysis

To download a Certificate of Analysis, please enter a lot number in the search box below.

Product Specific Notices for MED4 Antibody - BSA Free

This product is for research use only and is not approved for use in humans or in clinical diagnosis. Primary Antibodies are guaranteed for 1 year from date of receipt.

Loading...
Loading...
Loading...
Loading...