Skip to main content

MDH2 Antibody

Novus Biologicals, part of Bio-Techne | Catalog # NBP1-32259

Novus Biologicals, part of Bio-Techne
Catalog #
Availability
Size / Price
Qty
Loading...
NBP1-32259

Key Product Details

Validated by

Knockout/Knockdown

Species Reactivity

Validated:

Human, Mouse, Rat

Cited:

Mouse

Predicted:

Feline (95%), Porcine (95%), Xenopus (91%), Zebrafish (90%). Backed by our 100% Guarantee.

Applications

Validated:

Knockout Validated, Immunohistochemistry, Immunohistochemistry-Paraffin, Western Blot, Immunocytochemistry/ Immunofluorescence

Cited:

Immunohistochemistry, In vivo assay

Label

Unconjugated

Antibody Source

Polyclonal Rabbit IgG

Concentration

Concentrations vary lot to lot. See vial label for concentration. If unlisted please contact technical services.

Product Specifications

Immunogen

Recombinant protein encompassing a sequence within the center region of human MDH2. The exact sequence is proprietary.

Reactivity Notes

Xenopus laevis (91%), Cat (95%).

Localization

Mitochondrion matrix

Clonality

Polyclonal

Host

Rabbit

Isotype

IgG

Theoretical MW

36 kDa.
Disclaimer note: The observed molecular weight of the protein may vary from the listed predicted molecular weight due to post translational modifications, post translation cleavages, relative charges, and other experimental factors.

Description

Novus Biologicals Knockout (KO) Validated Rabbit MDH2 Antibody (NBP1-32259) is a polyclonal antibody validated for use in IHC, WB and ICC/IF. Anti-MDH2 Antibody: Cited in 1 publication. All Novus Biologicals antibodies are covered by our 100% guarantee.

Scientific Data Images for MDH2 Antibody

Western Blot: MDH2 Antibody [NBP1-32259]

Western Blot: MDH2 Antibody [NBP1-32259]

Western Blot: MDH2 Antibody [NBP1-32259] - Various whole cell extracts (30 ug) were separated by 10% SDS-PAGE, and the membrane was blotted with MDH2 antibody diluted at 1:1000. The HRP-conjugated anti-rabbit IgG antibody (NBP2-19301) was used to detect the primary antibody.
Immunocytochemistry/ Immunofluorescence: MDH2 Antibody [NBP1-32259]

Immunocytochemistry/ Immunofluorescence: MDH2 Antibody [NBP1-32259]

Immunocytochemistry/Immunofluorescence: MDH2 Antibody [NBP1-32259] - HeLa cells were fixed in ice-cold MeOH for 5 min. Green: MDH2 stained by MDH2 antibody diluted at 1:500. Blue: Hoechst 33342 staining. Scale bar= 10um.
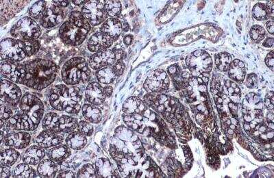
Immunohistochemistry-Paraffin: MDH2 Antibody [NBP1-32259]

Immunohistochemistry-Paraffin: MDH2 Antibody [NBP1-32259]

Immunohistochemistry-Paraffin: MDH2 Antibody [NBP1-32259] - Rat colon. MDH2 stained by MDH2 antibody diluted at 1:500. Antigen Retrieval: Citrate buffer, pH 6.0, 15 min.

Applications for MDH2 Antibody

Application
Recommended Usage

Immunocytochemistry/ Immunofluorescence

1:100-1:1000

Immunohistochemistry

1:100-1:1000

Immunohistochemistry-Paraffin

1:100-1:1000

Western Blot

1:500-1:20000

Reviewed Applications

Read 1 review rated 4 using NBP1-32259 in the following applications:

Formulation, Preparation, and Storage

Purification

Antigen Affinity-purified

Formulation

PBS, 1% BSA, 20% Glycerol

Preservative

0.025% Proclin 300

Concentration

Concentrations vary lot to lot. See vial label for concentration. If unlisted please contact technical services.

Shipping

The product is shipped with polar packs. Upon receipt, store it immediately at the temperature recommended below.

Stability & Storage

Aliquot and store at -20C or -80C. Avoid freeze-thaw cycles.

Background: MDH2

Malate dehydrogenase catalyzes the reversible oxidation of malate to oxaloacetate, utilizing the NAD/NADH cofactor system in the citric acid cycle. The protein encoded by this gene is localized to the mitochondria and may play pivotal roles in the malate-aspartate shuttle that operates in the metabolic coordination between cytosol and mitochondria. [provided by RefSeq]

Long Name

Malate dehydrogenase, mitochondrial

Alternate Names

EC 1.1.1.37

Gene Symbol

MDH2

Additional MDH2 Products

Product Documents for MDH2 Antibody

Certificate of Analysis

To download a Certificate of Analysis, please enter a lot number in the search box below.

Product Specific Notices for MDH2 Antibody

This product is for research use only and is not approved for use in humans or in clinical diagnosis. Primary Antibodies are guaranteed for 1 year from date of receipt.

Loading...
Loading...
Loading...
Loading...