Skip to main content

MBD3L1 Antibody - BSA Free

Novus Biologicals, part of Bio-Techne | Catalog # NBP2-30753

Novus Biologicals, part of Bio-Techne
Catalog #
Availability
Size / Price
Qty
Loading...
NBP2-30753
NBP2-30753-25ul

Key Product Details

Species Reactivity

Human

Applications

Immunohistochemistry, Immunohistochemistry-Paraffin, Western Blot

Label

Unconjugated

Antibody Source

Polyclonal Rabbit IgG

Format

BSA Free

Concentration

Concentrations vary lot to lot. See vial label for concentration. If unlisted please contact technical services.

Product Specifications

Immunogen

This antibody was developed against a recombinant protein corresponding to amino acids: ELSSTLDLANTLQKLVPSYTGGSLLEDLASGLEHSCPMPHLACSSDAVEIIPAEGVGISQLLCKQFLVTEE

Clonality

Polyclonal

Host

Rabbit

Isotype

IgG

Description

Novus Biologicals Rabbit MBD3L1 Antibody - BSA Free (NBP2-30753) is a polyclonal antibody validated for use in IHC and WB. All Novus Biologicals antibodies are covered by our 100% guarantee.

Scientific Data Images for MBD3L1 Antibody - BSA Free

Western Blot: MBD3L1 Antibody [NBP2-30753]

Western Blot: MBD3L1 Antibody [NBP2-30753]

Western Blot: MBD3L1 Antibody [NBP2-30753] - Analysis in control (vector only transfected HEK293T lysate) and MBD3L1 over-expression lysate (Co-expressed with a C-terminal myc-DDK tag (3.1 kDa) in mammalian HEK293T cells).
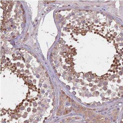
Immunohistochemistry: MBD3L1 Antibody [NBP2-30753]

Immunohistochemistry: MBD3L1 Antibody [NBP2-30753]

Immunohistochemistry: MBD3L1 Antibody [NBP2-30753] - Staining of human testis shows strong nuclear and cytoplasmic staining in seminiferous duct cells.

Applications for MBD3L1 Antibody - BSA Free

Application
Recommended Usage

Immunohistochemistry

1:200 - 1:500

Immunohistochemistry-Paraffin

1:200 - 1:500

Western Blot

0.04-0.4 ug/ml
Application Notes
For IHC-Paraffin, HIER pH 6 retrieval is recommended.

Formulation, Preparation, and Storage

Purification

Affinity purified

Formulation

PBS (pH 7.2) and 40% Glycerol

Format

BSA Free

Preservative

0.02% Sodium Azide

Concentration

Concentrations vary lot to lot. See vial label for concentration. If unlisted please contact technical services.

Shipping

The product is shipped with polar packs. Upon receipt, store it immediately at the temperature recommended below.

Stability & Storage

Store at 4C short term. Aliquot and store at -20C long term. Avoid freeze-thaw cycles.

Background: MBD3L1

MBD3L1 encodes a protein that is related to methyl-CpG-binding proteins but lacks the methyl-CpG binding domain. The protein is localized to discrete areas in the nucleus, and expression appears to be restricted to round spermatids, suggesting that the protein plays a role in the postmeiotic stages of male germ cell development. [provided by RefSeq]

Alternate Names

MBD3L, MBD3-like protein 1, methyl-CpG binding domain protein 3-like, methyl-CpG binding domain protein 3-like 1, methyl-CpG-binding domain protein 3-like 1, MGC138263, MGC138269

Gene Symbol

MBD3L1

UniProt

Additional MBD3L1 Products

Product Documents for MBD3L1 Antibody - BSA Free

Certificate of Analysis

To download a Certificate of Analysis, please enter a lot number in the search box below.

Product Specific Notices for MBD3L1 Antibody - BSA Free

This product is for research use only and is not approved for use in humans or in clinical diagnosis. Primary Antibodies are guaranteed for 1 year from date of receipt.

Loading...
Loading...
Loading...
Loading...