Skip to main content

MAMLD1 Antibody - BSA Free

Novus Biologicals, part of Bio-Techne | Catalog # NBP3-12581

Novus Biologicals, part of Bio-Techne
Catalog #
Availability
Size / Price
Qty
Loading...
NBP3-12581-50ul
NBP3-12581-100ul

Key Product Details

Species Reactivity

Human

Applications

Immunohistochemistry-Paraffin, Western Blot

Label

Unconjugated

Antibody Source

Polyclonal Rabbit IgG

Format

BSA Free

Concentration

Please see the vial label for concentration. If unlisted please contact technical services.

Product Specifications

Immunogen

Produced in rabbits immunized with E. coli-derived Human MAMLD1 fragment

Clonality

Polyclonal

Host

Rabbit

Isotype

IgG

Description

This antibody can be stored at 2-8C for one month without detectable loss of activity. Antibody products are stable for twelve months from date of receipt when stored at -20C to -80C. Avoid repeated freeze-thaw cycles.

Protein A & Antigen Affinity purified

Scientific Data Images for MAMLD1 Antibody - BSA Free

Western Blot: MAMLD1 Antibody [NBP3-12581]

Western Blot: MAMLD1 Antibody [NBP3-12581]

Western Blot: MAMLD1 Antibody [NBP3-12581] - Lane A: Jurkat Whole Cell LysateLysates/proteins at 30 ug per lane.SecondaryGoat Anti-Rabbit IgG (H+L)/HRP at 1/10000 dilution.Developed using the ECL technique.Performed under reducing conditions.Predicted band size:86 kDaObserved band size:95 kDa
Immunohistochemistry-Paraffin: MAMLD1 Antibody [NBP3-12581]

Immunohistochemistry-Paraffin: MAMLD1 Antibody [NBP3-12581]

Immunohistochemistry-Paraffin: MAMLD1 Antibody [NBP3-12581] - Staining of human MAMLD1 in human skeletal muscle with rabbit polyclonal antibody at 1:300 dilution.
Immunohistochemistry-Paraffin: MAMLD1 Antibody [NBP3-12581]

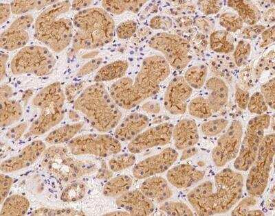
Immunohistochemistry-Paraffin: MAMLD1 Antibody [NBP3-12581]

Immunohistochemistry-Paraffin: MAMLD1 Antibody [NBP3-12581] - Staining of human MAMLD1 in human kidney with rabbit polyclonal antibody at 1:300 dilution.

Applications for MAMLD1 Antibody - BSA Free

Application
Recommended Usage

Immunohistochemistry-Paraffin

1:200-1:1000

Western Blot

1:500-1:2000

Formulation, Preparation, and Storage

Purification

Antigen and protein A Affinity-purified

Formulation

PBS

Format

BSA Free

Preservative

0.03% Proclin 300

Concentration

Please see the vial label for concentration. If unlisted please contact technical services.

Shipping

The product is shipped with polar packs. Upon receipt, store it immediately at the temperature recommended below.

Stability & Storage

Store at 4C short term. Aliquot and store at -20C long term. Avoid freeze-thaw cycles.

Background: MAMLD1

MAMLD1, or Mastermind-like domain-containing protein 1, contains a 83 kDa, 106 kDa, and 80 kDa isoform, and is involved in transcription and acts as a co-activator for the HES3 promoter. Current research is being conducted on MAMLD1 and its relation to x-linked hypospadias type 2, myopathy, and spermatic cord torsion. The protein has no known interactions with any other proteins, but it is linked to the Notch-HLH transcription pathway, regulation of DNA-dependent transcription, and male gonad development.

Alternate Names

chromosome X open reading frame 6, CXorf6Protein CG1, F18CG1mastermind-like domain-containing protein 1, HYSP2, mastermind-like domain containing 1

Gene Symbol

MAMLD1

Additional MAMLD1 Products

Product Documents for MAMLD1 Antibody - BSA Free

Certificate of Analysis

To download a Certificate of Analysis, please enter a lot number in the search box below.

Product Specific Notices for MAMLD1 Antibody - BSA Free

This product is for research use only and is not approved for use in humans or in clinical diagnosis. Primary Antibodies are guaranteed for 1 year from date of receipt.

Loading...
Loading...
Loading...
Loading...