Skip to main content

Lysine (K)-specific Demethylase 3A/KDM3A/JMJD1A Antibody (PSH01-77)

Novus Biologicals, part of Bio-Techne | Catalog # NBP3-32490

Recombinant Monoclonal Antibody
Novus Biologicals, part of Bio-Techne
Catalog #
Availability
Size / Price
Qty
Loading...
NBP3-32490

Key Product Details

Species Reactivity

Human, Mouse

Applications

Immunohistochemistry, Western Blot

Label

Unconjugated

Antibody Source

Recombinant Monoclonal Rabbit IgG Clone # PSH01-77 expressed in HEK293

Concentration

1 mg/ml

Product Specifications

Immunogen

Recombinant protein within human KDM3A aa 1-400 / 1,321. (Uniprot: Q9Y4C1)

Localization

Cytoplasm, Nucleus

Clonality

Monoclonal

Host

Rabbit

Isotype

IgG

Theoretical MW

147 kDa.
Disclaimer note: The observed molecular weight of the protein may vary from the listed predicted molecular weight due to post translational modifications, post translation cleavages, relative charges, and other experimental factors.

Description

Novus Biologicals Rabbit Lysine (K)-specific Demethylase 3A/KDM3A/JMJD1A Antibody (PSH01-77) (NBP3-32490) is a recombinant monoclonal antibody validated for use in IHC and WB. All Novus Biologicals antibodies are covered by our 100% guarantee.

Scientific Data Images for Lysine (K)-specific Demethylase 3A/KDM3A/JMJD1A Antibody (PSH01-77)

Lysine (K)-specific Demethylase 3A/KDM3A/JMJD1A Antibody (PSH01-77)

Western Blot: Lysine (K)-specific Demethylase 3A/KDM3A/JMJD1A Antibody (PSH01-77) [NBP3-32490]

Western Blot: Lysine (K)-specific Demethylase 3A/KDM3A/JMJD1A Antibody (PSH01-77) [NBP3-32490] - Western blot analysis of Lysine (K)-specific Demethylase 3A/KDM3A/JMJD1A on different lysates with Rabbit anti-Lysine (K)-specific Demethylase 3A/KDM3A/JMJD1A antibody (NBP3-32490) at 1/1,000 dilution.

Lane 1: HCT116 cell lysate
Lane 2: Hela cell lysate
Lane 3: MCF7 cell lysate
Lane 4: Ramos cell lysate
Lane 5: Jurkat cell lysate
Lane 6: NIH/3T3 cell lysate

Lysates/proteins at 30 ug/Lane.

Predicted band size: 147 kDa
Observed band size: 150 kDa

Exposure time: 2 minutes 50 seconds;

4-20% SDS-PAGE gel.

Proteins were transferred to a PVDF membrane and blocked with 5% NFDM/TBST for 1 hour at room temperature. The primary antibody (NBP3-32490) at 1/1,000 dilution was used in 5% NFDM/TBST at 4 overnight. Goat Anti-Rabbit IgG - HRP Secondary Antibody at 1/50,000 dilution was used for 1 hour at room temperature.
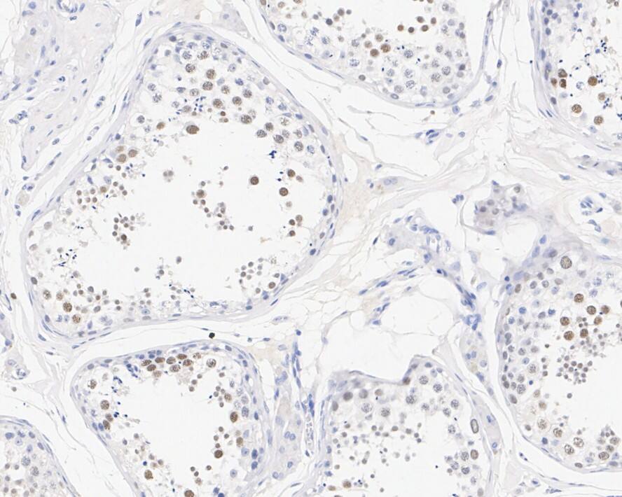
Lysine (K)-specific Demethylase 3A/KDM3A/JMJD1A Antibody (PSH01-77)

Immunohistochemistry: Lysine (K)-specific Demethylase 3A/KDM3A/JMJD1A Antibody (PSH01-77) [NBP3-32490]

Immunohistochemistry: Lysine (K)-specific Demethylase 3A/KDM3A/JMJD1A Antibody (PSH01-77) [NBP3-32490] - Immunohistochemical analysis of paraffin-embedded human testis tissue with Rabbit anti-Lysine (K)-specific Demethylase 3A/KDM3A/JMJD1A antibody (NBP3-32490) at 1/200 dilution.

The section was pre-treated using heat mediated antigen retrieval with sodium citrate buffer (pH 6.0) for 2 minutes. The tissues were blocked in 1% BSA for 20 minutes at room temperature, washed with ddH2O and PBS, and then probed with the primary antibody (NBP3-32490) at 1/200 dilution for 1 hour at room temperature. The detection was performed using an HRP conjugated compact polymer system. DAB was used as the chromogen. Tissues were counterstained with hematoxylin and mounted with DPX.

Applications for Lysine (K)-specific Demethylase 3A/KDM3A/JMJD1A Antibody (PSH01-77)

Application
Recommended Usage

Immunohistochemistry

1:200-1:1000

Western Blot

1:1000

Formulation, Preparation, and Storage

Purification

Protein A purified

Formulation

PBS (pH7.4), 0.1% BSA and 40% Glycerol

Preservative

0.05% Sodium Azide

Concentration

1 mg/ml

Shipping

The product is shipped with polar packs. Upon receipt, store it immediately at the temperature recommended below.

Stability & Storage

Store at 4C short term. Aliquot and store at -20C long term. Avoid freeze-thaw cycles.

Background: Lysine (K)-specific Demethylase 3A/KDM3A

JMJD1A encodes a zinc finger protein that contains a jumonji domain.

Alternate Names

JHDM2A, JMJD1A, KDM3A, KIAA0742, Lysine (K)specific Demethylase 3A, TSGA

Gene Symbol

KDM3A

Additional Lysine (K)-specific Demethylase 3A/KDM3A Products

Product Documents for Lysine (K)-specific Demethylase 3A/KDM3A/JMJD1A Antibody (PSH01-77)

Certificate of Analysis

To download a Certificate of Analysis, please enter a lot number in the search box below.

Product Specific Notices for Lysine (K)-specific Demethylase 3A/KDM3A/JMJD1A Antibody (PSH01-77)

This product is for research use only and is not approved for use in humans or in clinical diagnosis. Primary Antibodies are guaranteed for 1 year from date of receipt.

Loading...
Loading...
Loading...
Loading...