Skip to main content

Lysine (K)-specific Demethylase 3A/KDM3A/JMJD1A Antibody (1E12) - BSA Free

Novus Biologicals, part of Bio-Techne | Catalog # NBP1-51678

Novus Biologicals, part of Bio-Techne
Catalog #
Availability
Size / Price
Qty
Loading...
NBP1-51678
NBP1-51678SS

Key Product Details

Species Reactivity

Human

Applications

Immunohistochemistry, Immunohistochemistry-Paraffin, Western Blot, ELISA, Immunocytochemistry/ Immunofluorescence, Simple Western

Label

Unconjugated

Antibody Source

Monoclonal Mouse IgG1 Clone # 1E12

Format

BSA Free

Concentration

1.0 mg/ml

Product Specifications

Immunogen

Purified recombinant fragment of human JMJD1A expressed in E. coli. [UniProt# Q9Y4C1]

Clonality

Monoclonal

Host

Mouse

Isotype

IgG1

Theoretical MW

147 kDa.
Disclaimer note: The observed molecular weight of the protein may vary from the listed predicted molecular weight due to post translational modifications, post translation cleavages, relative charges, and other experimental factors.

Description

Novus Biologicals Mouse Lysine (K)-specific Demethylase 3A/KDM3A/JMJD1A Antibody (1E12) - BSA Free (NBP1-51678) is a monoclonal antibody validated for use in IHC, WB, ELISA, ICC/IF and Simple Western. Anti-Lysine (K)-specific Demethylase 3A/KDM3A/JMJD1A Antibody: Cited in 1 publication. All Novus Biologicals antibodies are covered by our 100% guarantee.

Scientific Data Images

Western Blot: Lysine (K)-specific Demethylase 3A/KDM3A/JMJD1A Antibody (1E12)BSA Free [NBP1-51678]

Western Blot: Lysine (K)-specific Demethylase 3A/KDM3A/JMJD1A Antibody (1E12)BSA Free [NBP1-51678]

Western Blot: Lysine (K)-specific Demethylase 3A/KDM3A/JMJD1A Antibody (1E12) [NBP1-51678] - Western blot analysis using JMJD1A mouse mAb against Hela (1) and HepG2 (2) cell lysates.
Immunocytochemistry/ Immunofluorescence: Lysine (K)-specific Demethylase 3A/KDM3A/JMJD1A Antibody (1E12) - BSA Free [NBP1-51678]

Immunocytochemistry/ Immunofluorescence: Lysine (K)-specific Demethylase 3A/KDM3A/JMJD1A Antibody (1E12) - BSA Free [NBP1-51678]

Immunocytochemistry/Immunofluorescence: Lysine (K)-specific Demethylase 3A/KDM3A/JMJD1A Antibody (1E12) [NBP1-51678] - JMJD1A antibody was tested at 1:10 in Ntera2 cells with Dylight 488 (green). Nuclei and alpha-tubulin were counterstained with DAPI (blue) and Dylight 550 (red). Image objective 40x.
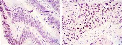
Immunohistochemistry-Paraffin: Lysine (K)-specific Demethylase 3A/KDM3A/JMJD1A Antibody (1E12) - BSA Free [NBP1-51678]

Immunohistochemistry-Paraffin: Lysine (K)-specific Demethylase 3A/KDM3A/JMJD1A Antibody (1E12) - BSA Free [NBP1-51678]

Immunohistochemistry-Paraffin: Lysine (K)-specific Demethylase 3A/KDM3A/JMJD1A Antibody (1E12) [NBP1-51678] - Immunohistochemical analysis of paraffin-embedded colonic cancer tissues (left) and lung cancer tissues (right) using JMJD1A mouse mAb with DAB staining.

Applications

Application
Recommended Usage

ELISA

1:10000

Immunocytochemistry/ Immunofluorescence

1:10-1:500

Immunohistochemistry

1:200-1:1000

Immunohistochemistry-Paraffin

1:200-1:1000

Simple Western

1:500

Western Blot

1:500-1:2000
Application Notes
This JMJD1A (1E12) antibody is useful in Western Blot, ELISA and Immunohistochemistry on paraffin-embedded sections.

In Simple Western only 10 - 15 uL of the recommended dilution is used per data point.
See Simple Western Antibody Database for Simple Western validation: Tested in HepG2 lysate 0.5 mg/mL, separated by Size, antibody dilution of 1:500, apparent MW was 151 kDa. Separated by Size-Wes, Sally Sue/Peggy Sue.
The observed molecular weight of the protein may vary from the listed predicted molecular weight due to post translational modifications, post translation cleavages, relative charges, and other experimental factors.

Formulation, Preparation, and Storage

Purification

Ammonium sulfate precipitation

Formulation

PBS

Format

BSA Free

Preservative

0.03% Sodium Azide

Concentration

1.0 mg/ml

Shipping

The product is shipped with polar packs. Upon receipt, store it immediately at the temperature recommended below.

Stability & Storage

Store at 4C short term. Aliquot and store at -20C long term. Avoid freeze-thaw cycles.

Background: Lysine (K)-specific Demethylase 3A/KDM3A

JMJD1A is a histone demethylase that specifically demethylates 'Lys-9' of histone H3, thereby playing a central role in histone code. It preferentially demethylates mono- and dimethylated H3 'Lys-9' residue, with a preference for dimethylated residue, while it has weak or no activity on trimethylated H3 'Lys-9'. Demethylation of Lys residue generates formaldehyde and succinate. JMJD1A is involved in hormone-dependent transcriptional activation, by participating in recruitment to androgen-receptor target genes, resulting in H3 'Lys-9' demethylation and transcriptional activation. It's also Involved in spermatogenesis by regulating expression of target genes such as PRM1 and TMP1 which are required for packaging and condensation of sperm chromatin. Involved in obesity resistance through regulation of metabolic genes such as PPARA and UCP1.

Alternate Names

JHDM2A, JMJD1A, KDM3A, KIAA0742, Lysine (K)specific Demethylase 3A, TSGA

Entrez Gene IDs

55818 (Human)

Gene Symbol

KDM3A

UniProt

Additional Lysine (K)-specific Demethylase 3A/KDM3A Products

Product Documents

Certificate of Analysis

To download a Certificate of Analysis, please enter a lot number in the search box below.

Product Specific Notices

This product is for research use only and is not approved for use in humans or in clinical diagnosis. Primary Antibodies are guaranteed for 1 year from date of receipt.

Loading...
Loading...
Loading...
Loading...