Skip to main content

LPCAT1 Antibody - BSA Free

Novus Biologicals, part of Bio-Techne | Catalog # NBP1-88923

Novus Biologicals, part of Bio-Techne
Catalog #
Availability
Size / Price
Qty
Loading...
NBP1-88923-25ul
NBP1-88923

Key Product Details

Validated by

Orthogonal Validation, Independent Antibodies

Species Reactivity

Validated:

Human, Mouse

Cited:

Mouse

Applications

Validated:

Immunohistochemistry, Immunohistochemistry-Paraffin, Western Blot, Immunocytochemistry/ Immunofluorescence

Cited:

Immunocytochemistry/ Immunofluorescence

Label

Unconjugated

Antibody Source

Polyclonal Rabbit IgG

Format

BSA Free

Concentration

Concentrations vary lot to lot. See vial label for concentration. If unlisted please contact technical services.

Product Specifications

Immunogen

This antibody was developed against Recombinant Protein corresponding to amino acids: GVSVTDYTFEDCQLALAEGQLRLPADTCLLEFARLVRGLGLKPEKLEKDLDRYSERARMKGGEKIGIAEFAASLEVPVSDLLEDMFSLFDESGSGEVDLRECVVALSV

Reactivity Notes

Mouse reactivity reported in scientific literature (PMID: 24557352). Rat (89%).

Clonality

Polyclonal

Host

Rabbit

Isotype

IgG

Description

Novus Biologicals Rabbit LPCAT1 Antibody - BSA Free (NBP1-88923) is a polyclonal antibody validated for use in IHC, WB and ICC/IF. Anti-LPCAT1 Antibody: Cited in 2 publications. All Novus Biologicals antibodies are covered by our 100% guarantee.

Scientific Data Images for LPCAT1 Antibody - BSA Free

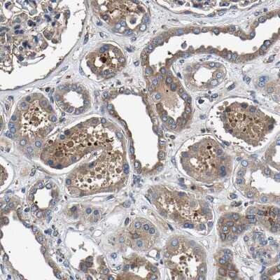
Immunohistochemistry-Paraffin: LPCAT1 Antibody [NBP1-88923]

Immunohistochemistry-Paraffin: LPCAT1 Antibody [NBP1-88923]

Immunohistochemistry-Paraffin: LPCAT1 Antibody [NBP1-88923] - Analysis in human lung and liver tissues. Corresponding LPCAT1 RNA-seq data are presented for the same tissues.
Immunohistochemistry-Paraffin: LPCAT1 Antibody [NBP1-88923]

Immunohistochemistry-Paraffin: LPCAT1 Antibody [NBP1-88923]

Immunohistochemistry-Paraffin: LPCAT1 Antibody [NBP1-88923] - Staining of human cerebral cortex, kidney, liver and lung using Anti-LPCAT1 antibody NBP1-88923 (A) shows similar protein distribution across tissues to independent antibody NBP1-88922 (B).
Western Blot: LPCAT1 Antibody [NBP1-88923]

Western Blot: LPCAT1 Antibody [NBP1-88923]

Western Blot: LPCAT1 Antibody [NBP1-88923] - Analysis in human cell lines PC-3 and Caco-2 using anti-LPCAT1 antibody. Corresponding LPCAT1 RNA-seq data are presented for the same cell lines. Loading control: anti-HSP90B1.

Applications for LPCAT1 Antibody - BSA Free

Application
Recommended Usage

Immunocytochemistry/ Immunofluorescence

0.25-2 ug/ml

Immunohistochemistry

1:500 - 1:1000

Immunohistochemistry-Paraffin

1:500 - 1:1000

Western Blot

0.04-0.4 ug/ml
Application Notes
ICC/IF reported in scientific literature (PMID: 24557352). For IHC-Paraffin, HIER pH 6 retrieval is recommended. LPCAT1 antibody validated for IHC from a verified customer review.

Reviewed Applications

Read 1 review rated 3 using NBP1-88923 in the following applications:

Formulation, Preparation, and Storage

Purification

Affinity purified

Formulation

PBS (pH 7.2) and 40% Glycerol

Format

BSA Free

Preservative

0.02% Sodium Azide

Concentration

Concentrations vary lot to lot. See vial label for concentration. If unlisted please contact technical services.

Shipping

The product is shipped with polar packs. Upon receipt, store it immediately at the temperature recommended below.

Stability & Storage

Store at 4C short term. Aliquot and store at -20C long term. Avoid freeze-thaw cycles.

Background: LPCAT1

Lysophosphatidylcholine (LPC) acyltransferase (LPCAT; EC 2.3.1.23) catalyzes the conversion of LPC tophosphatidylcholine (PC) in the remodeling pathway of PC biosynthesis (Nakanishi et al., 2006 (PubMed16704971)).(supplied by OMIM)

Alternate Names

1-acylglycerophosphocholine O-acyltransferase, Acetyl-CoA:lyso-PAF acetyltransferase, Acetyl-CoA:lyso-platelet-activating factor acetyltransferase, acyl-CoA:lysophosphatidylcholine acyltransferase 1, acyltransferase like 2, Acyltransferase-like 2, AYTL2, EC 2.3.1.-, EC 2.3.1.23,1-alkylglycerophosphocholine O-acetyltransferase, EC 2.3.1.67, FLJ12443, FLJ41609, LPC acyltransferase 1, lpcat, LPCAT-1, Lyso-PAF acetyltransferase, LysoPAFAT, LysoPC acyltransferase 1, lysophosphatidylcholine acyltransferase 1, PFAAP3, Phosphonoformate immuno-associated protein 3, regulated by phosphonoformate

Gene Symbol

LPCAT1

Additional LPCAT1 Products

Product Documents for LPCAT1 Antibody - BSA Free

Certificate of Analysis

To download a Certificate of Analysis, please enter a lot number in the search box below.

Product Specific Notices for LPCAT1 Antibody - BSA Free

This product is for research use only and is not approved for use in humans or in clinical diagnosis. Primary Antibodies are guaranteed for 1 year from date of receipt.

Loading...
Loading...
Loading...
Loading...