Skip to main content

Lipolysis Stimulated Lipoprotein Receptor Antibody (C10) - BSA Free

Novus Biologicals, part of Bio-Techne | Catalog # NBP3-41977

Novus Biologicals, part of Bio-Techne
Catalog #
Availability
Size / Price
Qty
Loading...
NBP3-41977

Key Product Details

Species Reactivity

Human, Porcine

Applications

ELISA

Label

Unconjugated

Antibody Source

Monoclonal Mouse IgG1 kappa Clone # C10

Format

BSA Free

Concentration

1 mg/ml

Product Specifications

Immunogen

Immunized with recombinant Human Lipolysis Stimulated Lipoprotein Receptor (Uniprot#: Q86X29; Lys335-Arg589 (Uniprot#: Q86X29)

Clonality

Monoclonal

Host

Mouse

Isotype

IgG1 kappa

Description

Novus Biologicals Mouse Lipolysis Stimulated Lipoprotein Receptor Antibody (C10) - BSA Free (NBP3-41977) is a monoclonal antibody validated for use in ELISA. All Novus Biologicals antibodies are covered by our 100% guarantee.

Scientific Data Images for Lipolysis Stimulated Lipoprotein Receptor Antibody (C10) - BSA Free

Lipolysis Stimulated Lipoprotein Receptor Antibody (C10)

Immunohistochemistry-Paraffin: Lipolysis Stimulated Lipoprotein Receptor Antibody (C10) [NBP3-41977] -

Immunohistochemistry-Paraffin: Lipolysis Stimulated Lipoprotein Receptor Antibody (C10) [NBP3-41977] - DAB staining on IHC-P; Sample: Human Liver Tissue; Primary Ab: 10ug/ml NBP3-41977; Second Ab: 2ug/mL HRP-Linked Caprine Anti-Mouse IgG Polyclonal Antibody
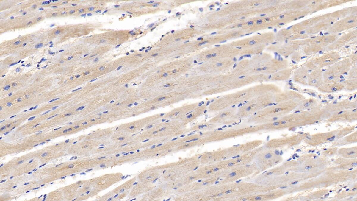
Lipolysis Stimulated Lipoprotein Receptor Antibody (C10)

Immunohistochemistry-Paraffin: Lipolysis Stimulated Lipoprotein Receptor Antibody (C10) [NBP3-41977] -

Immunohistochemistry-Paraffin: Lipolysis Stimulated Lipoprotein Receptor Antibody (C10) [NBP3-41977] - DAB staining on IHC-P; Sample: Human Cardiac Muscle Tissue; Primary Ab: 10ug/ml NBP3-41977; Second Ab: 2ug/mL HRP-Linked Caprine Anti-Mouse IgG Polyclonal Antibody

Applications for Lipolysis Stimulated Lipoprotein Receptor Antibody (C10) - BSA Free

Application
Recommended Usage

ELISA

Optimal dilutions of this antibody should be experimentally determined.

Formulation, Preparation, and Storage

Purification

Protein A or G purified

Formulation

0.01M PBS, pH7.4, 50% glycerol

Format

BSA Free

Preservative

0.05% Proclin 300

Concentration

1 mg/ml

Shipping

The product is shipped with polar packs. Upon receipt, store it immediately at the temperature recommended below.

Stability & Storage

Store at 4C short term. Aliquot and store at -20C long term. Avoid freeze-thaw cycles.

Background: LSR

Probable role in the clearance of triglyceride-rich lipoprotein from blood. Binds chylomicrons, LDL and VLDL in presence of free fatty acids and allows their subsequent uptake in the cells

Long Name

Lipolysis Stimulated Lipoprotein Receptor

Alternate Names

ILDR3, LISCH, LISCH7

Gene Symbol

LSR

Additional LSR Products

Product Documents for Lipolysis Stimulated Lipoprotein Receptor Antibody (C10) - BSA Free

Certificate of Analysis

To download a Certificate of Analysis, please enter a lot number in the search box below.

Product Specific Notices for Lipolysis Stimulated Lipoprotein Receptor Antibody (C10) - BSA Free

This product is for research use only and is not approved for use in humans or in clinical diagnosis. Primary Antibodies are guaranteed for 1 year from date of receipt.

Loading...
Loading...
Loading...
Loading...