Skip to main content

LETM1 Antibody - BSA Free

Novus Biologicals, part of Bio-Techne | Catalog # NBP1-33433

Novus Biologicals, part of Bio-Techne
Catalog #
Availability
Size / Price
Qty
Loading...
NBP1-33433

Key Product Details

Species Reactivity

Validated:

Human, Mouse

Cited:

Mouse

Applications

Validated:

Immunohistochemistry, Immunohistochemistry-Paraffin, Western Blot, Immunocytochemistry/ Immunofluorescence

Cited:

Western Blot

Label

Unconjugated

Antibody Source

Polyclonal Rabbit IgG

Format

BSA Free

Concentration

Concentrations vary lot to lot. See vial label for concentration. If unlisted please contact technical services.

Product Specifications

Immunogen

Recombinant protein encompassing a sequence within the C-terminus region of human LETM1. The exact sequence is proprietary.

Reactivity Notes

Immunogen displays the following percentage of sequence identity for non-tested species: Rat (83%), Bovine (84%).

Localization

Mitochondrion inner membrane, Single-pass membrane protein

Clonality

Polyclonal

Host

Rabbit

Isotype

IgG

Theoretical MW

83 kDa.
Disclaimer note: The observed molecular weight of the protein may vary from the listed predicted molecular weight due to post translational modifications, post translation cleavages, relative charges, and other experimental factors.

Scientific Data Images for LETM1 Antibody - BSA Free

Western Blot: LETM1 Antibody [NBP1-33433]

Western Blot: LETM1 Antibody [NBP1-33433]

Western Blot: LETM1 Antibody [NBP1-33433] - Sample (50 ug of whole cell lysate) A: Mouse brain 7. 5% SDS PAGE; antibody diluted at 1:1000.
Immunocytochemistry/ Immunofluorescence: LETM1 Antibody [NBP1-33433]

Immunocytochemistry/ Immunofluorescence: LETM1 Antibody [NBP1-33433]

Immunocytochemistry/Immunofluorescence: LETM1 Antibody [NBP1-33433] - Analysis of methanol-fixed A431, using antibody at 1:200 dilution.
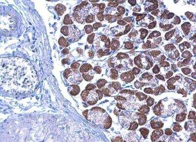
Immunohistochemistry-Paraffin: LETM1 Antibody [NBP1-33433]

Immunohistochemistry-Paraffin: LETM1 Antibody [NBP1-33433]

Immunohistochemistry-Paraffin: LETM1 Antibody [NBP1-33433] - Mouse stomach. LETM1 antibody diluted at 1:500. Antigen Retrieval: Trilogy™ (EDTA based, pH 8.0) buffer, 15min.

Applications for LETM1 Antibody - BSA Free

Application
Recommended Usage

Immunocytochemistry/ Immunofluorescence

1:100-1:1000

Immunohistochemistry

1:100-1:1000

Immunohistochemistry-Paraffin

1:100-1:1000

Western Blot

1:500-1:3000

Formulation, Preparation, and Storage

Purification

Antigen Affinity-purified

Formulation

0.1M Tris, 0.1M Glycine, 10% Glycerol

Format

BSA Free

Preservative

0.01% Thimerosal

Concentration

Concentrations vary lot to lot. See vial label for concentration. If unlisted please contact technical services.

Shipping

The product is shipped with polar packs. Upon receipt, store it immediately at the temperature recommended below.

Stability & Storage

Aliquot and store at -20C or -80C. Avoid freeze-thaw cycles.

Background: LETM1

The LETM1 gene encodes a protein that is localized to the inner mitochondrial membrane. The protein functions to maintain the mitochondrial tubular shapes and is required for normal mitochondrial morphology and cellular viability. Mutations in this gene cause

Alternate Names

LETM1 and EF-hand domain-containing protein 1, mitochondrial, leucine zipper-EF-hand containing transmembrane protein 1, Leucine zipper-EF-hand-containing transmembrane protein 1, Mdm38 homolog

Gene Symbol

LETM1

Additional LETM1 Products

Product Documents for LETM1 Antibody - BSA Free

Certificate of Analysis

To download a Certificate of Analysis, please enter a lot number in the search box below.

Product Specific Notices for LETM1 Antibody - BSA Free

This product is for research use only and is not approved for use in humans or in clinical diagnosis. Primary Antibodies are guaranteed for 1 year from date of receipt.

Loading...
Loading...
Loading...
Loading...

⚠ WARNING: This product can expose you to chemicals including mercury, which is known to the State of California to cause reproductive toxicity with developmental effects.  For more information go to www.P65Warnings.ca.gov.