Skip to main content

Latrophilin 2/LPHN2 Antibody - BSA Free

Novus Biologicals, part of Bio-Techne | Catalog # NLS1136

Novus Biologicals, part of Bio-Techne
Catalog #
Availability
Size / Price
Qty
Loading...
NLS1136

Key Product Details

Species Reactivity

Validated:

Human

Predicted:

Avian (94%), Equine (94%), Mouse (94%), Opossum (94%), Primate (100%), Rabbit (94%), Rat (94%). Backed by our 100% Guarantee.

Applications

Immunohistochemistry, Immunohistochemistry-Paraffin

Label

Unconjugated

Antibody Source

Polyclonal Rabbit IgG

Format

BSA Free

Concentration

1.0 mg/ml

Product Specifications

Immunogen

Synthetic 16 amino acid peptide from C-terminus of human Latrophilin 2/LPHN2.

Epitope

C-Terminus

Reactivity Notes

Predicted cross-reactivity based on sequence identity: Gorilla (100%), Gibbon (100%), Marmoset (94%), Bat (88%), Bovine (88%), Hamster (88%), Porcine (88%), Xenopus (88%), Canine (81%).

Localization

Integral membrane protein.

Specificity

Human LPHN2. BLAST analysis of the peptide immunogen showed no homology with other human proteins.

Clonality

Polyclonal

Host

Rabbit

Isotype

IgG

Description

Product can be stored undiluted at 4C for up to 1 month.

Scientific Data Images for Latrophilin 2/LPHN2 Antibody - BSA Free

Immunohistochemistry-Paraffin: Latrophilin 2/LPHN2 Antibody - BSA Free [NLS1136]

Immunohistochemistry-Paraffin: Latrophilin 2/LPHN2 Antibody - BSA Free [NLS1136]

Immunohistochemistry-Paraffin: Latrophilin 2/LPHN2 Antibody [NLS1136] - Anti-LPHN2 / Latrophilin-2 antibody IHC of human prostate, smooth muscle, benign prostatic hyperplasia. Immunohistochemistry of formalin-fixed, paraffin-embedded tissue after heat-induced antigen retrieval.
Immunohistochemistry-Paraffin: Latrophilin 2/LPHN2 Antibody - BSA Free [NLS1136]

Immunohistochemistry-Paraffin: Latrophilin 2/LPHN2 Antibody - BSA Free [NLS1136]

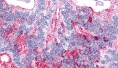
Immunohistochemistry-Paraffin: Latrophilin 2/LPHN2 Antibody [NLS1136] - Brain, Neurons and Glia
Immunohistochemistry-Paraffin: Latrophilin 2/LPHN2 Antibody - BSA Free [NLS1136]

Immunohistochemistry-Paraffin: Latrophilin 2/LPHN2 Antibody - BSA Free [NLS1136]

Immunohistochemistry-Paraffin: Latrophilin 2/LPHN2 Antibody [NLS1136] - Anti-LPHN2 / Latrophilin-2 antibody IHC of human Prostate, Carcinoma. Immunohistochemistry of formalin-fixed, paraffin-embedded tissue after heat-induced antigen retrieval.

Applications for Latrophilin 2/LPHN2 Antibody - BSA Free

Application
Recommended Usage

Immunohistochemistry-Paraffin

14 ug/ml
Application Notes
.

Formulation, Preparation, and Storage

Purification

Immunogen affinity purified

Formulation

PBS

Format

BSA Free

Preservative

0.1% Sodium Azide

Concentration

1.0 mg/ml

Shipping

The product is shipped with polar packs. Upon receipt, store it immediately at the temperature recommended below.

Stability & Storage

Keep as concentrated solution. Aliquot and store at -20C or below. Avoid multiple freeze-thaw cycles.

Background: Latrophilin 2/LPHN2

Latrophilin-2 is an Orphan-B Receptor that binds alpha-latrotoxin, a potent presynaptic neurotoxin present in the venom of the black widow spider, in a Ca2+-independent manner. As with the other two latrophilins, it shares homology with lectin, olfactomedin, and transmembrane domains, and possesses variable C-termini and various alternative-splice sites. Latrophilin-2 is endoproteolytically cleaved at the end of the GPS domain, and the two subunits remain non-covantely linked as a heterodimer. Latrophilin-2 has been reported to be expressed in brain, breast, placenta, kidney, spleen, ovary, heart, and lung. ESTs have been isolated from a wide variety of tissue libraries.

Long Name

Latrophilin 2

Alternate Names

ADGRL2, CIRL2, LEC1, LPHH1, LPHN2

Entrez Gene IDs

23266 (Human)

Gene Symbol

ADGRL2

Additional Latrophilin 2/LPHN2 Products

Product Documents for Latrophilin 2/LPHN2 Antibody - BSA Free

Certificate of Analysis

To download a Certificate of Analysis, please enter a lot number in the search box below.

Product Specific Notices for Latrophilin 2/LPHN2 Antibody - BSA Free

This product is for research use only and is not approved for use in humans or in clinical diagnosis. Primary Antibodies are guaranteed for 1 year from date of receipt.

Loading...
Loading...
Loading...
Loading...