Skip to main content

Lactate Dehydrogenase Antibody [Biotin]

Novus Biologicals, part of Bio-Techne | Catalog # NB600-862

Novus Biologicals, part of Bio-Techne
Catalog #
Availability
Size / Price
Qty
Loading...
NB600-862-0.1mg

Key Product Details

Species Reactivity

Human, Rabbit

Applications

Immunohistochemistry, Immunohistochemistry-Paraffin, Western Blot, ELISA, Immunocytochemistry/ Immunofluorescence, Immunoprecipitation, Dot Blot

Label

Biotin

Antibody Source

Polyclonal Goat IgG

Concentration

LYOPH mg/ml

Product Specifications

Immunogen

This Lactate Dehydrogenase Antibody was prepared from whole goat serum produced by repeated immunizations with a full length Lactate Dehydrogenase protein isolated from rabbit muscle. (Uniprot: P13491)

Reactivity Notes

BLAST analysis was used to determine that cross reactivity is suggested for both muscle and heart isoforms (LDH-A and LDH-B) from most mammalian species

Localization

Cytoplasmic

Specificity

BLAST analysis was used to determine that cross reactivity is suggested for both muscle and heart isoforms (LDH-A and LDH-B) from most mammalian species.

Clonality

Polyclonal

Host

Goat

Isotype

IgG

Description

Store vial at 4C prior to restoration. For extended storage aliquot contents and freeze at -20C or below. Avoid cycles of freezing and thawing. Centrifuge product if not completely clear after standing at room temperature. This product is stable for several weeks at 4C as an undiluted liquid. Dilute only prior to immediate use.

This antibody is an IgG fraction antibody purified from monospecific antiserum by a multi-step process which includes delipidation, salt fractionation and ion exchange chromatography followed by extensive dialysis against the buffer stated above. Assay by immunoelectrophoresis resulted in a single precipitin arc against anti-Biotin, anti-Goat Serum as well as purified and partially purified Lactate Dehydrogenase [Rabbit Muscle]

Scientific Data Images for Lactate Dehydrogenase Antibody [Biotin]

Western Blot: Lactate Dehydrogenase Antibody [Biotin] [NB600-862] - Lane 1-4: HeLa cell extracts cytoplasmic fraction (CF). Lane 5-8: HeLa cell extracts nuclear fraction (NF). Load: 30 ug per lane. Primary antibody: LDH antibody at 1:400 for overnight at 4C. Secondary antibody: IRDye800 secondary antibody at 1:10,000 for 45 min at RT. Block: 5% BLOTTO/TBST overnight at 4C. Predicted/Observed size: 36.6 kDa, 36 kDa for LDH. Other band(s): None.
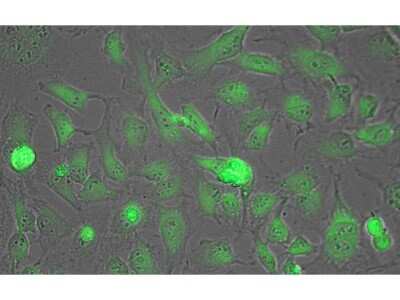
Immunocytochemistry/Immunofluorescence: Lactate Dehydrogenase Antibody [Biotin] [NB600-862] - Tissue: HeLa cells. Fixation: fixed for 5 min in 1:1 MeTOH:Acetone, blocked with incubated with blocking buffer for 15 min. Antigen retrieval: not required. Primary antibody: Lactate Dehydrogenase antibody at 1:200 for 1 h at RT. Secondary antibody: DyLight 488 conjugated Streptavidin antibody at 1:10,000 for 30 min at RT. Staining: Lactate Dehydrogenase as green fluorescent signal.
Western Blot: Lactate Dehydrogenase Antibody [Biotin] [NB600-862] - Lane 1: Lactate Dehydrogenase (Rabbit Muscle). Load: 50 ng per lane. Primary antibody: Goat anti-Lactate Dehydrogenase Antibody Biotin Conjugated at 1:1,000 overnight at 4C. Secondary antibody: HRP streptavidin secondary antibody at 1:40,000 for 30 min at RT. Block: incubated with blocking buffer for 30 min at RT. Predicted/Observed size: 36.5 kDa, 36.5 kDa for Lactate Dehydrogenase.

Applications for Lactate Dehydrogenase Antibody [Biotin]

Application
Recommended Usage

ELISA

1:5000-1:20000

Immunocytochemistry/ Immunofluorescence

1:10-1:2000

Immunohistochemistry

1:10-1:500

Immunohistochemistry-Paraffin

1:2500-1:5000

Immunoprecipitation

1:100

Western Blot

1:500-1:5000
Application Notes
This product has been tested by ELISA, Western blot, and immunofluorescence. This antibody is assayed against 1.0 ug of Lactate Dehydrogenase in a standard capture ELISA using Peroxidase Conjugated Streptavidin and ABTS (2,2'-azino-bis-[3-ethylbenthiazoline-6-sulfonic acid]) as a substrate for 30 minutes at room temperature. A working dilution of 1:4,000 to 1:20,000 of the reconstitution concentration is suggested for this product.

Formulation, Preparation, and Storage

Purification

Multi-step

Reconstitution

Reconstitute with 100 ul deionized water (or equivalent)

Formulation

Lyophilized from 0.02 M Potassium Phosphate, 0.15 M Sodium Chloride, pH 7.2, 10 mg/mL Bovine Serum Albumin (BSA) - Immunoglobulin and Protease free

Preservative

0.01% Sodium Azide

Concentration

LYOPH mg/ml

Shipping

The product is shipped with polar packs. Upon receipt, store it immediately at the temperature recommended below.

Stability & Storage

Store lyophilized antibody at 4C in the dark. Aliquot reconstituted liquid and store at -20C. Avoid freeze-thaw cycles.

Background: Lactate Dehydrogenase

Lactate dehydrogenase (LDH) is present in a wide variety of organisms, including plants and animals. It is an oxidoreductase which catalyses the interconversion of pyruvate and lactate with concomitant interconversion of NADH and NAD+. As it can also catalyze the oxidation of hydroxybutyrate, it is occasionally called Hydroxybutyrate Dehydrogenase (HBD). There are 5 different isoenzymes of LDH, LDH1 to LDH5, each composed of 4 subunits which may be of 2 different types - M and H subunits. These subunits are encoded by two different genes: The M subunit is encoded by gene LDHA whilst the H subunit is encoded by LDHB. Usually LDH2 is the predominant form in the serum. An LDH1 level higher than the LDH2 level suggests myocardial infarction (damage to heart tissues releases heart LDH, which is rich in LDH1, into the bloodstream). Suitable for immunoblotting (western or dot blot), ELISA, conjugation and most immunological methods requiring high titer and specificity.

Alternate Names

EC 1.1.1, EC 1.1.1.27, lactate dehydrogenase B, LDH heart subunit, LDH-B, LDH-H, L-lactate dehydrogenase B chain, Renal carcinoma antigen NY-REN-46, TRG-5

Gene Symbol

LDHB

UniProt

Additional Lactate Dehydrogenase Products

Product Documents for Lactate Dehydrogenase Antibody [Biotin]

Certificate of Analysis

To download a Certificate of Analysis, please enter a lot number in the search box below.

Product Specific Notices for Lactate Dehydrogenase Antibody [Biotin]

This product is for research use only and is not approved for use in humans or in clinical diagnosis. Primary Antibodies are guaranteed for 1 year from date of receipt.

Loading...
Loading...
Loading...
Loading...
Loading...