Skip to main content

Lactate Dehydrogenase Antibody - BSA Free

Novus Biologicals, part of Bio-Techne | Catalog # NB600-861

Novus Biologicals, part of Bio-Techne
Catalog #
Availability
Size / Price
Qty
Loading...
NB600-861-100ug

Key Product Details

Species Reactivity

Human, Rabbit

Applications

Western Blot, ELISA, Immunocytochemistry/ Immunofluorescence, Immunoprecipitation

Label

Unconjugated

Antibody Source

Polyclonal Goat IgG

Format

BSA Free

Concentration

LYOPH mg/ml

Product Specifications

Immunogen

This Lactate Dehydrogenase Antibody was prepared from whole goat serum produced by repeated immunizations with a full length Lactate Dehydrogenase protein isolated from rabbit muscle. (Uniprot: P13491)

Reactivity Notes

BLAST analysis was used to determine that cross reactivity is suggested for both muscle and heart isoforms (LDH-A and LDH-B) from most mammalian species

Localization

Cytoplasmic

Specificity

BLAST analysis was used to determine that cross reactivity is suggested for both muscle and heart isoforms (LDH-A and LDH-B) from most mammalian species.

Clonality

Polyclonal

Host

Goat

Isotype

IgG

Description

This antibody is an IgG fraction antibody purified from monospecific antiserum by a multi-step process which includes delipidation, salt fractionation and ion exchange chromatography followed by extensive dialysis against the buffer stated above. Assay by immunoelectrophoresis resulted in a single precipitin arc against anti-Goat Serum as well as purified and partially purified Lactate Dehydrogenase [Rabbit Muscle]

Store vial at 4C prior to restoration. For extended storage aliquot contents and freeze at -20C or below. Avoid cycles of freezing and thawing. Centrifuge product if not completely clear after standing at room temperature. This product is stable for several weeks at 4C as an undiluted liquid. Dilute only prior to immediate use.

Scientific Data Images for Lactate Dehydrogenase Antibody - BSA Free

Western Blot: Lactate Dehydrogenase Antibody [NB600-861]

Western Blot: Lactate Dehydrogenase Antibody [NB600-861]

Western Blot: Lactate Dehydrogenase Antibody [NB600-861] - Analysis using HRP conjugate of NB600-861. Lane 1-4: HeLa cell extracts cytoplasmic fraction (CF). Lane 5-8: HeLa cell extracts nuclear fraction (NF). Load: 30 ug per lane. Primary antibody: LDH antibody at 1:400 for overnight at 4C. Secondary antibody: IRDye800 secondary antibody at 1:10,000 for 45 min at RT. Block: 5% BLOTTO/TBST overnight at 4C. Predicted/Observed size: 36.6 kDa, 36 kDa for LDH. Other band(s): None.
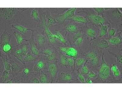
Immunocytochemistry/ Immunofluorescence: Lactate Dehydrogenase Antibody [NB600-861]

Immunocytochemistry/ Immunofluorescence: Lactate Dehydrogenase Antibody [NB600-861]

Immunocytochemistry/Immunofluorescence: Lactate Dehydrogenase Antibody [NB600-861] - Analysis of HRP conjugate of NB600-861. Tissue: HeLa cells. Fixation: fixed for 5 min in 1:1 MeTOH:Acetone, blocked (preservative free) for 15 min. Antigen retrieval: not required. Primary antibody: Lactate Dehydrogenase antibody at 1:200 for
Western Blot: Lactate Dehydrogenase Antibody [NB600-861]

Western Blot: Lactate Dehydrogenase Antibody [NB600-861]

Western Blot: Lactate Dehydrogenase Antibody [NB600-861] - Analysis using Biotin conjugate of NB600-861. Lane 1: Lactate Dehydrogenase (Rabbit Muscle). Load: 50 ng per lane. Primary antibody: Goat anti-Lactate Dehydrogenase Antibody Biotin Conjugated at 1:1,000 overnight at 4C. Secondary antibody: HRP streptavidin secondary antibody at 1:40,000 for 30 min at RT. Block: incubated with blocking buffer for 30 min at RT. Predicted/Observed size: 36.5 kDa, 36.5 kDa for Lactate Dehydrogenase.

Applications for Lactate Dehydrogenase Antibody - BSA Free

Application
Recommended Usage

ELISA

1:2000-1:10000

Immunocytochemistry/ Immunofluorescence

1:200

Immunoprecipitation

1:100

Western Blot

1:1000-1:5000
Application Notes
This product is suitable for use in ELISA, western blot, and immunofluorescence. Specific conditions for reactivity should be optimized by the end user. Expect a band approximately 36 kDa in size corresponding to LDH western blotting in the appropriate cell lysate or extract.

Formulation, Preparation, and Storage

Purification

Multi-step

Reconstitution

Reconstitute with 100 ul deionized water (or equivalent)

Formulation

Lyophilized from 0.02 M Potassium Phosphate, 0.15 M Sodium Chloride, pH 7.2

Format

BSA Free

Preservative

0.01% Sodium Azide

Concentration

LYOPH mg/ml

Shipping

The product is shipped with polar packs. Upon receipt, store it immediately at the temperature recommended below.

Stability & Storage

Store lyophilized antibody at 4C. Aliquot reconstituted liquid and store at -20C. Avoid freeze-thaw cycles.

Background: Lactate Dehydrogenase

Lactate dehydrogenase is also known as L-lactate dehydrogenase A chain, LDHA, LDH muscle subunit and LDH-M. Two isozymes of LDH occur in mammals, LDH-M and LDH-H which come together to form a homotetramer of 36 kDa subunits. Every LDH molecule consists of four subunits, where each subunit is either H or M (based on their electrophoretic properties.) There are, therefore, five LDH isotypes: LDH-1 (4H) -in the heart, LDH-2 (3H1M) -in the reticuloendothelial system, LDH-3 (2H2M) -in the lungs, LDH-4 (1H3M) -in the kidneys and LDH-5 (4M) -in the liver and striated muscle. Usually LDH-2 is the predominant form in the serum. An LDH-1 level higher than the LDH-2 level (a "flipped pattern") suggests myocardial infarction (damage to heart tissues releases heart LDH, which is rich in LDH-1, into the bloodstream). In general, LDH is often used as a marker of tissue breakdown. LDH shows a cytoplasmic localization.

Alternate Names

EC 1.1.1, EC 1.1.1.27, lactate dehydrogenase B, LDH heart subunit, LDH-B, LDH-H, L-lactate dehydrogenase B chain, Renal carcinoma antigen NY-REN-46, TRG-5

Entrez Gene IDs

3945 (Human)

Gene Symbol

LDHB

Additional Lactate Dehydrogenase Products

Product Documents for Lactate Dehydrogenase Antibody - BSA Free

Certificate of Analysis

To download a Certificate of Analysis, please enter a lot number in the search box below.

Product Specific Notices for Lactate Dehydrogenase Antibody - BSA Free

This product is for research use only and is not approved for use in humans or in clinical diagnosis. Primary Antibodies are guaranteed for 1 year from date of receipt.

Loading...
Loading...
Loading...
Loading...
Loading...