Skip to main content

Kindlin Antibody - BSA Free

Novus Biologicals, part of Bio-Techne | Catalog # NBP1-89883

Novus Biologicals, part of Bio-Techne
Catalog #
Availability
Size / Price
Qty
Loading...
NBP1-89883
NBP1-89883-25ul

Key Product Details

Validated by

Orthogonal Validation

Species Reactivity

Human

Applications

Immunohistochemistry, Immunohistochemistry-Paraffin, Western Blot

Label

Unconjugated

Antibody Source

Polyclonal Rabbit IgG

Format

BSA Free

Concentration

Concentrations vary lot to lot. See vial label for concentration. If unlisted please contact technical services.

Product Specifications

Immunogen

This antibody was developed against Recombinant Protein corresponding to amino acids: ADSLLEDITDIPKLADNLKLFRPKKLLPKAFKQYWFIFKDTSIAYFKNKELEQGEPL

Reactivity Notes

Immunogen displays the following percentage of sequence identity for non-tested species: Mouse (86%), Rat (84%)

Clonality

Polyclonal

Host

Rabbit

Isotype

IgG

Description

Novus Biologicals Rabbit Kindlin Antibody - BSA Free (NBP1-89883) is a polyclonal antibody validated for use in IHC and WB. All Novus Biologicals antibodies are covered by our 100% guarantee.

Scientific Data Images for Kindlin Antibody - BSA Free

Kindlin Antibody - BSA Free Immunohistochemistry-Paraffin: Kindlin Antibody - BSA Free [NBP1-89883]

Immunohistochemistry-Paraffin: Kindlin Antibody - BSA Free [NBP1-89883]

Staining of human small intestine shows strong cytoplasmic positivity in glandular cells.
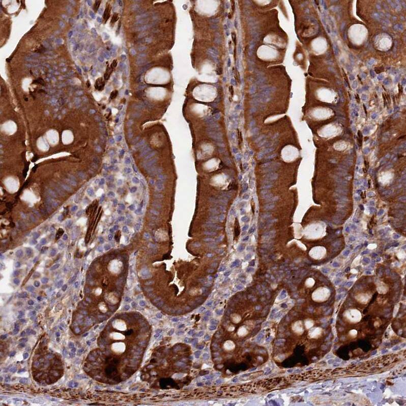
Kindlin Antibody - BSA Free Immunohistochemistry-Paraffin: Kindlin Antibody - BSA Free [NBP1-89883]

Immunohistochemistry-Paraffin: Kindlin Antibody - BSA Free [NBP1-89883]

Staining of human small intestine shows strong cytoplasmic positivity in glandular cells.
Kindlin Antibody - BSA Free Immunohistochemistry-Paraffin: Kindlin Antibody - BSA Free [NBP1-89883]

Immunohistochemistry-Paraffin: Kindlin Antibody - BSA Free [NBP1-89883]

Staining of human small intestine shows strong cytoplasmic positivity in glandular cells.

Applications for Kindlin Antibody - BSA Free

Application
Recommended Usage

Immunohistochemistry

1:50 - 1:200

Immunohistochemistry-Paraffin

1:50 - 1:200

Western Blot

0.04-0.4 ug/ml
Application Notes
For IHC-Paraffin, HIER pH 6 retrieval is recommended.

Formulation, Preparation, and Storage

Purification

Affinity purified

Formulation

PBS (pH 7.2) and 40% Glycerol

Format

BSA Free

Preservative

0.02% Sodium Azide

Concentration

Concentrations vary lot to lot. See vial label for concentration. If unlisted please contact technical services.

Shipping

The product is shipped with polar packs. Upon receipt, store it immediately at the temperature recommended below.

Stability & Storage

Store at 4C short term. Aliquot and store at -20C long term. Avoid freeze-thaw cycles.

Background: Kindlin

Due to a concerted effort to identify biomarkers for lung and colon carcinomas by genome-wide transcriptional profiling, the identification and cloning of one such gene as well as two additional closely related genes was achieved. Due to the strong sequence homology to the C. elegans UNC-112 a novel gene gene was named URP1, for UNC-112 related protein. Another novel related gene, URP2 and the previously discovered MIG-2 gene was also identified. Transcriptional analysis shows that only URP1 is significantly differentially regulated, being over-expressed in 70% of the colon carcinomas and 60% of the lung carcinomas tested. Quantification of URP1 expression by qRT-PCR showed up-regulation of the gene by 60-fold in lung tumors and up to nearly 6-fold in colon tumors. Northern blot analysis of URP1 indicates that normal expression is restricted to neuromuscular tissues. In contrast, the expression of URP2 appears to be confined primarily to tissues of the immune system. URP1 has the potential to be one of the most important prognostic and diagnostic markers of colon or lung cancer.

Alternate Names

C20orf42fermitin family homolog 1, chromosome 20 open reading frame 42, fermitin family homolog 1 (Drosophila), fermitin family member 1, FLJ20116, KIND1DTGCU2, Kindlerin, kindlin 1, Kindlin syndrome protein, Kindlin-1, UNC112 related protein 1, UNC112A, Unc-112-related protein 1, URP1FLJ23423

Gene Symbol

FERMT1

Additional Kindlin Products

Product Documents for Kindlin Antibody - BSA Free

Certificate of Analysis

To download a Certificate of Analysis, please enter a lot number in the search box below.

Product Specific Notices for Kindlin Antibody - BSA Free

This product is for research use only and is not approved for use in humans or in clinical diagnosis. Primary Antibodies are guaranteed for 1 year from date of receipt.

Loading...
Loading...
Loading...
Loading...