Skip to main content

Kallikrein 4/Prostase/EMSP1 Antibody (KLK4/8943)

Novus Biologicals, part of Bio-Techne | Catalog # NBP3-44627

Novus Biologicals, part of Bio-Techne
Catalog #
Availability
Size / Price
Qty
Loading...
NBP3-44627-100ug
NBP3-44627-20ug

Key Product Details

Species Reactivity

Human

Applications

Immunohistochemistry

Label

Unconjugated

Antibody Source

Monoclonal Mouse IgG1 kappa Clone # KLK4/8943

Concentration

0.2 mg/ml

Product Specifications

Immunogen

Recombinant fragment of human Kallikrein 4/Prostase/EMSP1 protein (around aa 1-200) (Uniprot: Q9Y5K2). Exact sequence is proprietary.

Localization

Secreted

Clonality

Monoclonal

Host

Mouse

Isotype

IgG1 kappa

Description

200ug/ml of antibody purified from Bioreactor Concentrate by Protein A/G. Prepared in 10 mM PBS with 0.05% BSA & 0.05% azide. Also available WITHOUT BSA & azide at 1.0 mg/ml.

Antibody with azide - store at 2 to 8C. Antibody without azide - store at -20 to -80C. Non-hazardous. No MSDS required.

Scientific Data Images for Kallikrein 4/Prostase/EMSP1 Antibody (KLK4/8943)

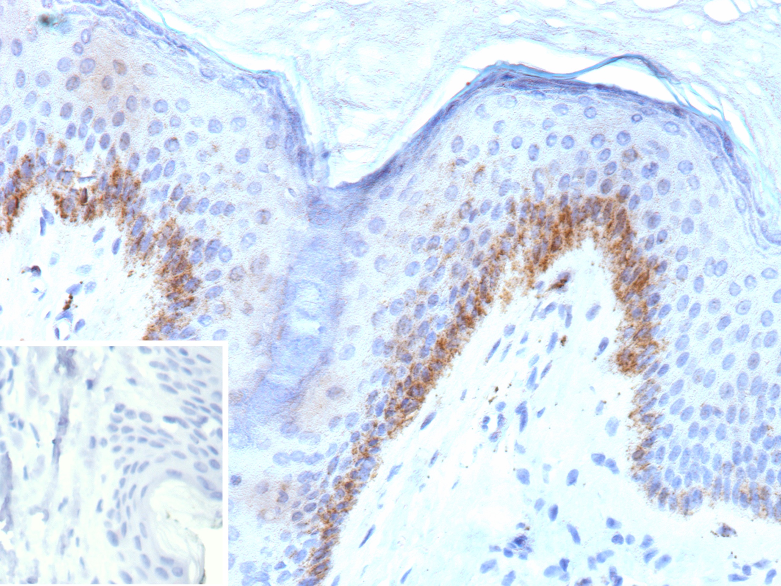
Kallikrein 4/Prostase/EMSP1 Antibody (KLK4/8943)

Immunohistochemistry-Paraffin: Kallikrein 4/Prostase/EMSP1 Antibody (KLK4/8943) [NBP3-44627] -

Formalin-fixed, paraffin-embedded human skin stained with Kallikrein 4/Prostase/EMSP1 Antibody (KLK4/8943). Inset: PBS instead of primary antibody; secondary only negative control.

Applications for Kallikrein 4/Prostase/EMSP1 Antibody (KLK4/8943)

Application
Recommended Usage

Immunohistochemistry

1-2ug/ml
Application Notes
Immunohistochemistry: 30 min at RT. Staining of formalin-fixed tissues requires heating tissue sections in 10mM Tris with 1mM EDTA, pH 9.0, for 45 min at 95C followed by cooling at RT for 20 minutes.

Formulation, Preparation, and Storage

Purification

Protein G purified

Formulation

10 mM PBS with 0.05% BSA

Preservative

0.05% Sodium Azide

Concentration

0.2 mg/ml

Shipping

The product is shipped with polar packs. Upon receipt, store it immediately at the temperature recommended below.

Stability & Storage

Store at 4C.

Background: Kallikrein 4/Prostase/EMSP1

Kallikreins are a subgroup of serine proteases and are implicated in carcinogenesis. The novel KLK gene, KLK-L4, is expressed in a variety of tissues including prostate, salivary gland, breast, and testis. Its expression is regulated by steroid hormones in breast cancer cell lines may be involved in the pathogenesis and/or progression of breast cancer.

Alternate Names

ARM1, EMSP1, KLK4, Prostase

Gene Symbol

KLK4

Additional Kallikrein 4/Prostase/EMSP1 Products

Product Documents for Kallikrein 4/Prostase/EMSP1 Antibody (KLK4/8943)

Certificate of Analysis

To download a Certificate of Analysis, please enter a lot number in the search box below.

Product Specific Notices for Kallikrein 4/Prostase/EMSP1 Antibody (KLK4/8943)

This product is for research use only and is not approved for use in humans or in clinical diagnosis. Primary Antibodies are guaranteed for 1 year from date of receipt.

Loading...
Loading...
Loading...
Loading...