Skip to main content

JMJD7 Antibody - BSA Free

Novus Biologicals, part of Bio-Techne | Catalog # NBP2-81724

Novus Biologicals, part of Bio-Techne

Key Product Details

Species Reactivity

Human, Mouse, Rat

Applications

Immunohistochemistry, Immunohistochemistry-Paraffin, Western Blot, ELISA, Immunocytochemistry/ Immunofluorescence

Label

Unconjugated

Antibody Source

Polyclonal Rabbit IgG

Format

BSA Free

Concentration

1 mg/ml

Product Specifications

Immunogen

JMJD7 antibody was raised against an 18 amino acid synthetic peptide from near the carboxy terminus of human JMJD7. The immunogen is located within amino acids 230 - 280 of JMJD7. Amino Acid Squence: PLDPLAPDLARYPSYSQA

Clonality

Polyclonal

Host

Rabbit

Isotype

IgG

Description

Novus Biologicals Rabbit JMJD7 Antibody - BSA Free (NBP2-81724) is a polyclonal antibody validated for use in IHC, WB, ELISA and ICC/IF. All Novus Biologicals antibodies are covered by our 100% guarantee.

Scientific Data Images for JMJD7 Antibody - BSA Free

Western Blot: JMJD7 AntibodyBSA Free [NBP2-81724]

Western Blot: JMJD7 AntibodyBSA Free [NBP2-81724]

Western Blot: JMJD7 Antibody [NBP2-81724] - Analysis of JMJD7 in 3T3 cell lysate with JMJD7 antibody at 1 ug/ml.
JMJD7 Antibody - BSA Free

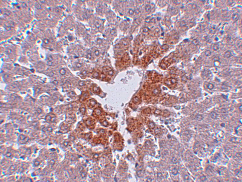
Immunohistochemistry: JMJD7 Antibody - BSA Free [NBP2-81724] -

Immunohistochemistry: JMJD7 Antibody - BSA Free [NBP2-81724] - Immunohistochemistry of JMJD7 in rat liver tissue with JMJD7 antibody at 2.5 u/mL.
JMJD7 Antibody - BSA Free

Immunocytochemistry/ Immunofluorescence: JMJD7 Antibody - BSA Free [NBP2-81724] -

Immunocytochemistry/ Immunofluorescence: JMJD7 Antibody - BSA Free [NBP2-81724] - Immunofluorescence of JMJD7 in rat liver tissue with JMJD7 antibody at 20 ug/mL.

Applications for JMJD7 Antibody - BSA Free

Application
Recommended Usage

Immunocytochemistry/ Immunofluorescence

20 ug/ml

Immunohistochemistry

2.5 ug/ml

Western Blot

1 ug/ml

Formulation, Preparation, and Storage

Purification

Peptide affinity purified

Formulation

PBS

Format

BSA Free

Preservative

0.02% Sodium Azide

Concentration

1 mg/ml

Shipping

The product is shipped with polar packs. Upon receipt, store it immediately at the temperature recommended below.

Stability & Storage

Store at 4C short term. Aliquot and store at -20C long term. Avoid freeze-thaw cycles.

Background: JMJD7

Alternate Names

FLJ20543, FLJ20656, FLJ20807, FLJ77014, FLJ78330, jmjC domain-containing protein 7, jumonji domain containing 7, Jumonji domain-containing protein 7

Gene Symbol

JMJD7

Additional JMJD7 Products

Product Documents for JMJD7 Antibody - BSA Free

Certificate of Analysis

To download a Certificate of Analysis, please enter a lot number in the search box below.

Product Specific Notices for JMJD7 Antibody - BSA Free

This product is for research use only and is not approved for use in humans or in clinical diagnosis. Primary Antibodies are guaranteed for 1 year from date of receipt.

Loading...
Loading...
Loading...
Loading...