Skip to main content

ITM2B Antibody (OTI1C11) - Azide and BSA Free

Novus Biologicals, part of Bio-Techne | Catalog # NBP2-71460

Novus Biologicals, part of Bio-Techne

Key Product Details

Species Reactivity

Human, Mouse, Rat

Applications

Immunohistochemistry, Immunohistochemistry-Paraffin, Western Blot, Flow Cytometry, CyTOF-ready

Label

Unconjugated

Antibody Source

Monoclonal Mouse IgG2A Clone # OTI1C11

Format

Azide and BSA Free

Concentration

LYOPH mg/ml

Product Specifications

Immunogen

Full length human recombinant protein of human ITM2B (NP_068839) produced in HEK293T cell.

Reactivity Notes

Please note that this antibody is reactive to Mouse and derived from the same host, Mouse. Mouse-On-Mouse blocking reagent may be needed for IHC and ICC experiments to reduce high background signal. You can find these reagents under catalog numbers PK-2200-NB and MP-2400-NB. Please contact Technical Support if you have any questions.

Clonality

Monoclonal

Host

Mouse

Isotype

IgG2A

Theoretical MW

30.2 kDa.
Disclaimer note: The observed molecular weight of the protein may vary from the listed predicted molecular weight due to post translational modifications, post translation cleavages, relative charges, and other experimental factors.

Description

Novus Biologicals Mouse ITM2B Antibody (OTI1C11) - Azide and BSA Free (NBP2-00620) is a monoclonal antibody validated for use in IHC, WB and Flow. All Novus Biologicals antibodies are covered by our 100% guarantee.

Scientific Data Images for ITM2B Antibody (OTI1C11) - Azide and BSA Free

Western Blot: ITM2B Antibody (OTI1C11)Azide and BSA Free [NBP2-71460]

Western Blot: ITM2B Antibody (OTI1C11)Azide and BSA Free [NBP2-71460]

Western Blot: ITM2B Antibody (OTI1C11) - Azide and BSA Free [NBP2-71460] - HEK293T cells were transfected with the pCMV6-ENTRY control (Left lane) or pCMV6-ENTRY ITM2B (Right lane) cDNA for 48 hrs and lysed. Equivalent amounts of cell lysates (5 ug per lane) were separated by SDS-PAGE and immunoblotted with anti-ITM2B.
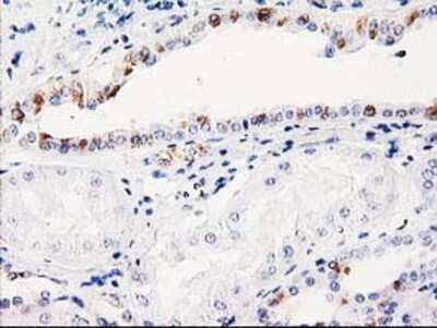
Immunohistochemistry: ITM2B Antibody (OTI1C11) - Azide and BSA Free [NBP2-71460]

Immunohistochemistry: ITM2B Antibody (OTI1C11) - Azide and BSA Free [NBP2-71460]

Immunohistochemistry: ITM2B Antibody (OTI1C11) - Azide and BSA Free [NBP2-71460] - Staining of paraffin-embedded Human Kidney tissue using anti-ITM2B mouse monoclonal antibody.
Flow Cytometry: ITM2B Antibody (OTI1C11) - Azide and BSA Free [NBP2-71460]

Flow Cytometry: ITM2B Antibody (OTI1C11) - Azide and BSA Free [NBP2-71460]

Flow Cytometry: ITM2B Antibody (OTI1C11) - Azide and BSA Free [NBP2-71460] - Analysis of Jurkat cells, using anti-ITM2B antibody, (Red), compared to a nonspecific negative control antibody (Blue).

Applications for ITM2B Antibody (OTI1C11) - Azide and BSA Free

Application
Recommended Usage

Flow Cytometry

1:100

Immunohistochemistry

1:150

Immunohistochemistry-Paraffin

1:150

Western Blot

1:2000

Formulation, Preparation, and Storage

Purification

Immunogen affinity purified

Reconstitution

we recommend adding 100uL distilled water to a final antibody concentration of about 1 mg/mL. To use this carrier-free antibody for conjugation experiment, we strongly recommend performing another round of desalting process.

Formulation

Lyophilized from PBS (pH 7.3) with 8% Trehalose

Format

Azide and BSA Free

Preservative

No Preservative

Concentration

LYOPH mg/ml

Shipping

The product is shipped with polar packs. Upon receipt, store it immediately at the temperature recommended below.

Stability & Storage

Store at -20C. Avoid freeze-thaw cycles.

Background: ITM2B

ITM2B is a type II membrane protein. It is expressed in brain and in other tissues. Defects in ITM2B seem to be associated with familial British dementia (FBD) and familial Danish dementia (FDD).

Long Name

Integral Membrane Protein 2B

Alternate Names

ABRI, BRI, BRI2, BRICD2B, E25B, E3-16, FBD

Gene Symbol

ITM2B

Additional ITM2B Products

Product Documents for ITM2B Antibody (OTI1C11) - Azide and BSA Free

Certificate of Analysis

To download a Certificate of Analysis, please enter a lot number in the search box below.

Product Specific Notices for ITM2B Antibody (OTI1C11) - Azide and BSA Free

This product is for research use only and is not approved for use in humans or in clinical diagnosis. Primary Antibodies are guaranteed for 1 year from date of receipt.

Loading...
Loading...
Loading...
Loading...
Loading...
Loading...