Skip to main content

Isocitrate Dehydrogenase 1/IDH1 Antibody (IDH1.R132H/7277R)

Novus Biologicals, part of Bio-Techne | Catalog # NBP3-20626

Recombinant Monoclonal Antibody
Novus Biologicals, part of Bio-Techne
Catalog #
Availability
Size / Price
Qty
Loading...
NBP3-20626-20ug
NBP3-20626-100ug

Key Product Details

Species Reactivity

Human

Applications

Immunohistochemistry-Paraffin

Label

Unconjugated

Antibody Source

Recombinant Monoclonal Rabbit IgG Kappa Clone # IDH1.R132H/7277R

Concentration

0.2 mg/ml

Product Specifications

Immunogen

Recombinant fragment of human Isocitrate Dehydrogenase 1/IDH1 (exact sequence is proprietary)

Localization

Cytoplasm. Nucleus.

Specificity

Isocitrate Dehydrogenase 1/IDH1 R132H antibody binds to Isocitrate Dehydrogenase 1/IDH1-mutated protein, but does not bind the wild-type Isocitrate Dehydrogenase 1/IDH1 protein Isocitrate Dehydrogenase 1/IDH1 R132H antibody shows strong cytoplasmic staining and weaker nuclear staining in tumor cells with the R132H-mutated peptide Diffuse staining of the fibrillary tumor matrix is also seen

Clonality

Monoclonal

Host

Rabbit

Isotype

IgG Kappa

Description

Positive Controls: HepG2, HeLa, HT29 or MCF7 cells. Human breast, colon or prostate carcinoma.

Antibody with azide - store at 2 to 8C. Antibody without azide - store at -20 to -80C. Non-hazardous. No MSDS required.

Scientific Data Images for Isocitrate Dehydrogenase 1/IDH1 Antibody (IDH1.R132H/7277R)

Isocitrate Dehydrogenase 1/IDH1 Antibody (IDH1.R132H/7277R)

Isocitrate Dehydrogenase 1/IDH1 Antibody (IDH1.R132H/7277R)

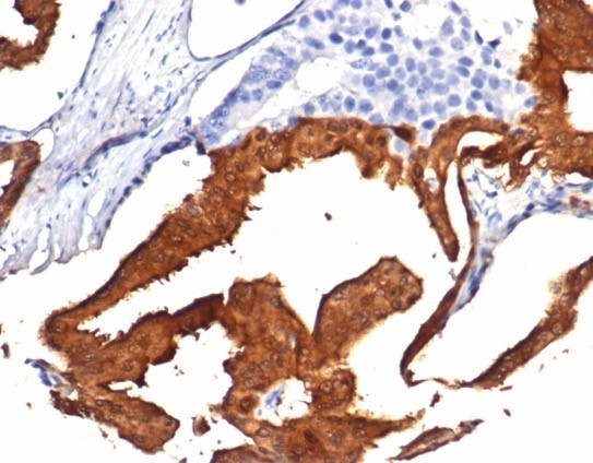
FFPE human prostate with IDH1-R132H mutation stained with Isocitrate Dehydrogenase 1/IDH1 antibody (IDH1.R132H/7277R).R132H/7277R). HIER: Tris/EDTA, pH9.0, 45min. Secondary: HRP-polymer, 30min. DAB, 5min.
Isocitrate Dehydrogenase 1/IDH1 Antibody (IDH1.R132H/7277R)

Isocitrate Dehydrogenase 1/IDH1 Antibody (IDH1.R132H/7277R)

FFPE human prostate with IDH1-R132H mutation stained with Isocitrate Dehydrogenase 1/IDH1 antibody (IDH1.R132H/7277R).R132H/7277R). HIER: Tris/EDTA, pH9.0, 45min. Secondary: HRP-polymer, 30min. DAB, 5min.
Isocitrate Dehydrogenase 1/IDH1 Antibody (IDH1.R132H/7277R)

Isocitrate Dehydrogenase 1/IDH1 Antibody (IDH1.R132H/7277R)

FFPE human brain with IDH1-R132H mutation stained with Isocitrate Dehydrogenase 1/IDH1 antibody (IDH1.R132H/7277R).R132H/7277R). Inset: PBS instead of primary antibody; secondary only negative control.

Applications for Isocitrate Dehydrogenase 1/IDH1 Antibody (IDH1.R132H/7277R)

Application
Recommended Usage

Immunohistochemistry-Paraffin

1-2 ug/ml
Application Notes
Immunohistochemistry (Formalin-fixed): 1-2ug/ml for 30 minutes. at RT. Staining of formalin-fixed tissues requires heating tissue sections in 10mM Tris with 1mM EDTA, pH 9.0, for 45 min at 95C followed by cooling at RT for 20 minutes.

Optimal dilution for a specific application should be determined.

Formulation, Preparation, and Storage

Purification

Protein A or G purified

Formulation

1mM PBS with 0.05% BSA

Preservative

0.05% Sodium Azide

Concentration

0.2 mg/ml

Shipping

The product is shipped with polar packs. Upon receipt, store it immediately at the temperature recommended below.

Stability & Storage

Store at 4C. Do not freeze.

Background: Isocitrate Dehydrogenase 1/IDH1

Isocitrate dehydrogenases catalyze the oxidative decarboxylation of isocitrate to 2-oxoglutarate. These enzymes belong to two distinct subclasses, one of which utilizes NAD(+) as the electron acceptor and the other NADP(+). Five isocitrate dehydrogenases have been reported: three NAD(+)-dependent isocitrate dehydrogenases, which localize to the mitochondrial matrix, and two NADP(+)-dependent isocitrate dehydrogenases, one of which is mitochondrial and the other predominantly cytosolic. Each NADP(+)-dependent isozyme is a homodimer. The protein encoded by this gene is the NADP(+)-dependent isocitrate dehydrogenase found in the cytoplasm and peroxisomes. It contains the PTS-1 peroxisomal targeting signal sequence. The presence of this enzyme in peroxisomes suggests roles in the regeneration of NADPH for intraperoxisomal reductions, such as the conversion of 2, 4-dienoyl-CoAs to 3-enoyl-CoAs, as well as in peroxisomal reactions that consume 2-oxoglutarate, namely the alpha-hydroxylation of phytanic acid. The cytoplasmic enzyme serves a significant role in cytoplasmic NADPH production. [provided by RefSeq]

Alternate Names

IDCD, IDH1, IDP, IDPC, PICD

Gene Symbol

IDH1

Additional Isocitrate Dehydrogenase 1/IDH1 Products

Product Documents for Isocitrate Dehydrogenase 1/IDH1 Antibody (IDH1.R132H/7277R)

Certificate of Analysis

To download a Certificate of Analysis, please enter a lot number in the search box below.

Product Specific Notices for Isocitrate Dehydrogenase 1/IDH1 Antibody (IDH1.R132H/7277R)

This product is for research use only and is not approved for use in humans or in clinical diagnosis. Primary Antibodies are guaranteed for 1 year from date of receipt.

Loading...
Loading...
Loading...
Loading...