Skip to main content

ISOC2 Antibody - BSA Free

Novus Biologicals, part of Bio-Techne | Catalog # NBP1-82074

Novus Biologicals, part of Bio-Techne
Catalog #
Availability
Size / Price
Qty
Loading...
NBP1-82074
NBP1-82074-25ul

Key Product Details

Validated by

Orthogonal Validation

Species Reactivity

Validated:

Human

Predicted:

Rat (90%). Backed by our 100% Guarantee.

Applications

Immunohistochemistry, Immunohistochemistry-Paraffin, Western Blot, Immunocytochemistry/ Immunofluorescence

Label

Unconjugated

Antibody Source

Polyclonal Rabbit IgG

Format

BSA Free

Concentration

Concentrations vary lot to lot. See vial label for concentration. If unlisted please contact technical services.

Product Specifications

Immunogen

This antibody was developed against Recombinant Protein corresponding to amino acids: GLQVHVVVDACSSRSQVDRLVALARMRQSGAFLSTSEGLILQLVGDAVHPQFKEIQKLIKEPAPDSGLLGLFQGQNSLLH

Reactivity Notes

Immunogen displays the following percentage of sequence identity for non-tested species: Mouse (86%)

Clonality

Polyclonal

Host

Rabbit

Isotype

IgG

Scientific Data Images for ISOC2 Antibody - BSA Free

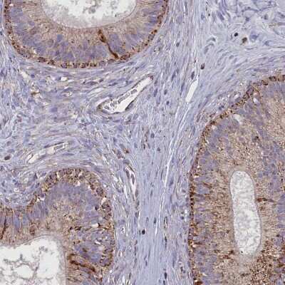
Immunohistochemistry-Paraffin: ISOC2 Antibody [NBP1-82074]

Immunohistochemistry-Paraffin: ISOC2 Antibody [NBP1-82074]

Immunohistochemistry-Paraffin: ISOC2 Antibody [NBP1-82074] - Staining in human kidney and epididymis tissues using anti-ISOC2 antibody. Corresponding ISOC2 RNA-seq data are presented for the same tissues.
Western Blot: ISOC2 Antibody [NBP1-82074]

Western Blot: ISOC2 Antibody [NBP1-82074]

Western Blot: ISOC2 Antibody [NBP1-82074] - Lane 1: Marker [kDa] 250, 130, 95, 72, 55, 36, 28, 17, 10. Lane 2: Human cell line RT-4. Lane 3: Human cell line U-251MG sp. Lane 4: Human plasma (IgG/HSA depleted). Lane 5: Human liver tissue
Immunocytochemistry/ Immunofluorescence: ISOC2 Antibody [NBP1-82074]

Immunocytochemistry/ Immunofluorescence: ISOC2 Antibody [NBP1-82074]

Immunocytochemistry/Immunofluorescence: ISOC2 Antibody [NBP1-82074] - Staining of human cell line HEK 293 shows localization to mitochondria. Antibody staining is shown in green.

Applications for ISOC2 Antibody - BSA Free

Application
Recommended Usage

Immunocytochemistry/ Immunofluorescence

0.25-2 ug/ml

Immunohistochemistry

1:200 - 1:500

Immunohistochemistry-Paraffin

1:200 - 1:500

Western Blot

0.04-0.4 ug/ml
Application Notes
For IHC-Paraffin, HIER pH 6 retrieval is recommended. ICC/IF, Fixation Permeabilization: Use PFA/Triton X-100.

Formulation, Preparation, and Storage

Purification

Affinity purified

Formulation

PBS (pH 7.2) and 40% Glycerol

Format

BSA Free

Preservative

0.02% Sodium Azide

Concentration

Concentrations vary lot to lot. See vial label for concentration. If unlisted please contact technical services.

Shipping

The product is shipped with polar packs. Upon receipt, store it immediately at the temperature recommended below.

Stability & Storage

Store at 4C short term. Aliquot and store at -20C long term. Avoid freeze-thaw cycles.

Background: ISOC2

Alternate Names

FLJ18582, FLJ23469, isochorismatase domain containing 2, isochorismatase domain-containing protein 2, mitochondrial

Gene Symbol

ISOC2

Additional ISOC2 Products

Product Documents for ISOC2 Antibody - BSA Free

Certificate of Analysis

To download a Certificate of Analysis, please enter a lot number in the search box below.

Product Specific Notices for ISOC2 Antibody - BSA Free

This product is for research use only and is not approved for use in humans or in clinical diagnosis. Primary Antibodies are guaranteed for 1 year from date of receipt.

Loading...
Loading...
Loading...
Loading...